Announcing the Winners of the Best Student Paper Prize in the Journal of Mammary Gland Biology and Neoplasia

We are thrilled to announce the winners of the years’ 2022-2023 Best Student Paper prize, recognizing outstanding contributions to the Journal of Mammary Gland Biology and Neoplasia.

Published in Cancer

Announcing the Winners of the Best Student Paper Prize in the Journal of Mammary Gland Biology and Neoplasia
Like

Share this post

Choose a social network to share with, or copy the URL to share elsewhere

This is a representation of how your post may appear on social media. The actual post will vary between social networks

After a thorough review process, the selection panel has chosen two exceptional papers published in the Journal of Mammary Gland Biology and Neoplasia during 2022-2023 for the Best Student Paper Award.

Best Review Article: Petra Dahms

Petra Dahms has been awarded the Best Review Article prize for her insightful paper titled Toward Characterizing Lymphatic Vasculature in the Mammary Gland During Normal Development and Tumor-Associated Remodeling.” This review sheds light on the critical role of lymphatic vasculature in both normal mammary gland development and its remodeling during tumorigenesis. Petra's work, conducted under the guidance of her mentor of Dr. Traci Lyons, has provided a comprehensive overview of the current state of knowledge, highlighting areas ripe for future research. Her meticulous analysis and synthesis of existing studies have set a new standard for review articles in our journal.

Best Original Article: Juan Carlos Juárez-Cruz

Juan Carlos Juárez-Cruz has been recognized for the Best Original Article with his research, Chronic Leptin Treatment Induces Epithelial‑Mesenchymal Transition in MCF10A Mammary Epithelial Cells.” Juan Carlos's study offers novel insights into the molecular mechanisms by which chronic leptin exposure may drive epithelial-mesenchymal transition, a key process in cancer metastasis. This research, part of his work as a trainee, represents a significant advance in our understanding of how metabolic factors influence mammary epithelial cell behavior, potentially opening new avenues for therapeutic intervention.

Both Petra and Juan Carlos have not only demonstrated exceptional scientific rigor but also a passion for advancing the field of mammary gland biology. Their achievements are a testament to the innovative research being conducted in their respective laboratories, and we are excited to see how their work will continue to shape our understanding of mammary gland development and disease.

We are pleased to present a brief overview of these emerging researchers and their groundbreaking work in their own words.

Petra Dahms

Petra Dahms

Department of Medical Oncology, University of Colorado Anschutz Medical Campus, Aurora, Colorado

 Our research group, under the guidance of Dr. Traci Lyons, studies breast cancer progression in the context of normal mammary gland development. We have established that the tissue microenvironment in the mammary gland after pregnancy/lactation when the gland returns back to a pre-pregnant like state, known as involution, promotes progression of breast cancer. Specifically, in a model of ductal carcinoma in situ (DCIS), involution is sufficient to accelerate progression to invasive ductal carcinoma (IDC) and metastasis. IDC results from increased invasion of cancerous cells into the surrounding mammary stroma in a requisite step for metastatic spread. DCIS, or Stage 0, tumors account for ~25% of breast cancer diagnoses in the US. Although most DCIS patients will not progress to IDC, there is no definitive way to distinguish these patients, resulting in treatment with standards of care, such as surgery, radiation, and toxic chemotherapies. Our group aims to identify biomarkers that can discern DCIS patients at risk for progression to prevent overtreatment.

The Lyons lab identified a signaling molecule known as semaphorin 7a (SEMA7A) that is increased during postpartum mammary involution and is sufficient to promote DCIS invasion, in part, through increased collagen deposition. To further characterize how SEMA7A alters the mammary stroma and contributes to epithelial cell invasion, we seek to understand normal development of the mammary architecture, such as is observed during puberty, via our knockout mouse model of Sema7a compared to wild-type. We also study the effect of SEMA7A on matrix remodeling stromal cells, such as macrophages, which are known contributors to cell invasion in the mammary gland. Tumor studies allow us to block SEMA7A signaling and thus DCIS invasion. Overall, we have identified SEMA7A expression as a potential biomarker of DCIS progression and are continuing to study the impact of SEMA7A signaling throughout all stages of mammary morphogenesis.

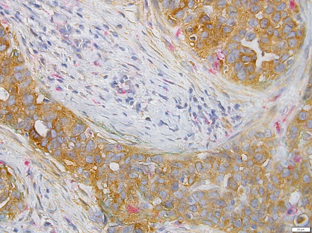
Representative image showing a DCIS tumor from a human patient expressing SEMA7A (brown) and being infiltrated by macrophages (CD68+, pink) where there is no myoepithelium (podoplanin+, green) around the tumor, suggesting areas of potential DCIS cell invasion.

Juan Carlos Juárez-Cruz

Juan Carlos Juárez-Cruz

Postdoctoral researcher, Universidad Autónoma de Guerrero, Laboratorio de Biología Celular del Cáncer - Facultad de Ciencias Químico-Biológicas, Guerrero, México.

In the laboratory led by Prof. Eduardo Castañeda-Saucedo and Prof. Napoleón Navarro-Tito, our research is focused on understanding the effect of various adipokines on the induction of tumor characteristics using in vitro breast cancer models to understand at the cellular and molecular level the impact of adipose tissue and obesity on the onset and progression of breast cancer. Our research focuses on the epithelial-mesenchymal transition (EMT) and cellular processes such as cell migration, invasion, angiogenesis, anoikis resistance, and stemness.

Specifically, leptin is a hormone secreted by adipose tissue and has been linked to various cellular processes related to the malignancy of breast tumors. EMT is associated with the metastasis of breast tumors and has been experimentally observed to be induced by leptin, mainly in breast tumor models. However, little has been explored in non-tumor models. Since obesity is a chronic pathophysiological condition, we recently evaluated the effect of leptin on mesenchymal characteristics in a chronic stimulation scheme in MCF10A non-tumorigenic mammary epithelial cells. We found that chronic leptin stimulation induces a change from an epithelial to a mesenchymal morphology and, at the molecular level, a decrease in epithelial markers and a gain in mesenchymal markers. In addition, we observed an increase in the activation of FAK and AKT kinases. These molecular changes were correlated with the loss of cell aggregation and the increase in cell migration, invasion, and resistance to anoikis. Interestingly, bioinformatics analysis showed a positive correlation between leptin expression and mesenchymal markers in normal mammary tissue. Therefore, our findings suggest that chronic exposure to leptin in mammary epithelial cells may favor cell dissemination processes such as EMT and contribute to the metastasis of mammary tumors.

Please join us in congratulating Petra Dahms and Juan Carlos Juárez-Cruz on their well-deserved awards. Their contributions exemplify the high standards of scholarship and scientific excellence that the Journal of Mammary Gland Biology and Neoplasia aims to promote.

Stay tuned for more groundbreaking research and announcements in our upcoming issues! 

Please sign in or register for FREE

If you are a registered user on Research Communities by Springer Nature, please sign in