A fully automated artificial intelligence method for non-invasive, imaging-based identification of genetic alterations in glioblastomas

This study describes a fully automated artificial intelligence method for predicting the presence of clinically relevant genetic alterations in glioblastoma using only non-invasive brain MRI.

Published in Cancer

A fully automated artificial intelligence method for non-invasive, imaging-based identification of genetic alterations in glioblastomas
Like

Share this post

Choose a social network to share with, or copy the URL to share elsewhere

This is a representation of how your post may appear on social media. The actual post will vary between social networks

Anyone who has ever worked in clinical neuraradiology at a brain tumor center knows that glioblastoma is a bad actor. Not only is it the most common form of brain malignancy, but it is also among the most deadly. Recurrence is virtually guaranteed even with aggressive treatment, which can leave doctors, and more importantly patients, without hope.

Fortunately, over the past several years, improved understanding of glioblastoma genetics has opened the door for a variety of investigational targeted therapies that provide new hope for patients with glioblastoma and their doctors. Currently there are over 100 ongoing clinical trials for glioblastoma targeted therapies listed on clinicaltrials.gov including 12 at our institution, the University of California San Francisco (UCSF). While promising, the targeted therapy approach is limited by the need for tumor sampling (i.e. biopsy) and genetic sequencing, which is costly and sometimes limited in availability or feasibility.

At UCSF, we have been performing genetic sequencing on essentially all glioblastomas treated at our brain tumor center including a panel of 500 pathologic or likely pathologic somatic alterations. In clinical practice, it is often striking how certain genetic alterations in glioblastoma have particular imaging features on preoperative MRI. For example, we have previously reported that glioblastomas with mutations in isocitrate dehydrogenase (IDH) have smaller enhancing components and larger infiltrative non-enhancing components. These observations raise the possibility that glioblastoma genetics could be predicted based on non-invasive imaging, and were ultimately what led us to conceive of this study.

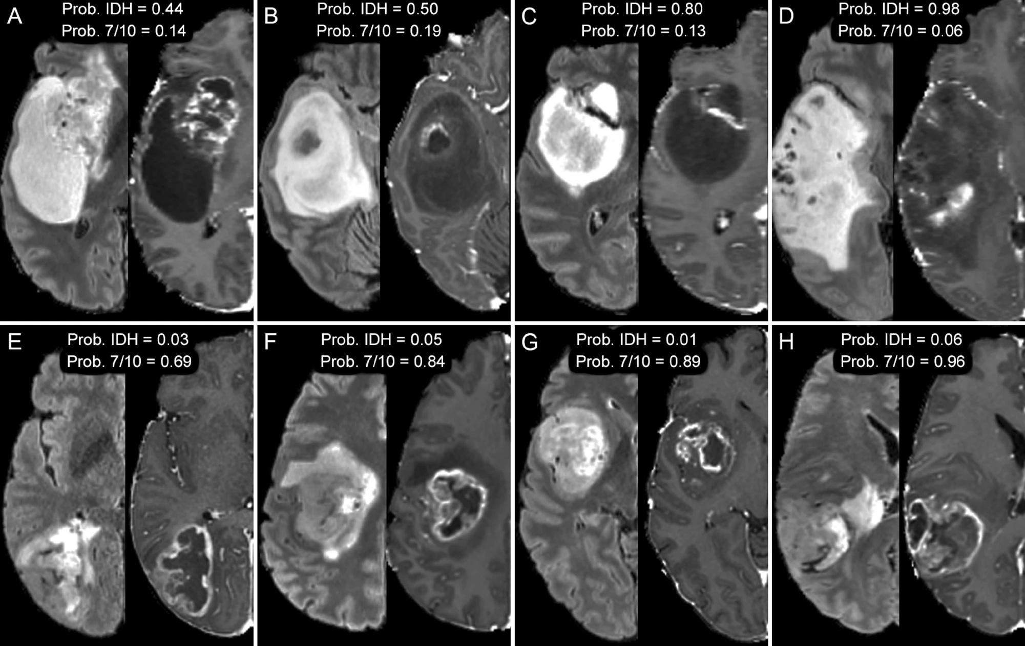
Axial MR images of glioblastomas from 8 different patients with IDH mutant (AD) and chromosome 7/10 aneuploid tumors (EH). T2-weighted FLAIR images (left) are shown beside corresponding T1-weighted postcontrast images (right). Relative probabilities of IDH mutation (Prob. IDH) and chromosome 7/10 aneuploidy (Prob. 7/10) generated from artificial intelligence models are shown for image set of images.

This study describes a fully automated artificial intelligence (AI) based method for predicting the presence of specific clinically relevant genetic alterations in glioblastoma using only non-invasive brain MRI. Using this AI-driven "virtual biopsy" approach, we were able to accurately identify several clinically relevant genetic alterations including some that are under investigation as potential treatment targets. This study, along with other similar studies, adds to mounting evidence that MRI features can be used to accurately predict tumor genetics and may ultimately be useful for helping to guide genetically targeted therapies. With further work, our overarching goal is to obviate the need for brain tumor biopsy using non-invasive MRI-based methods and to help guide the use of targeted therapies that have been shown to improve survival in patients with glioblastoma.

Receiver operating characteristic (ROC) curves for the 4 best predicted glioblastoma genetic biomarkers: isocitrate dehydrogenase mutations (IDH), ATRX mutations (ATRX), chromosome 7 & 10 aneuploidy (Chromosome 7/10), and CDKN2 family gene loss (CDKN2). Blue lines represent the average ROC and shaded gray areas represent the ± 1 standard deviation interval. Red dotted lines indicate random chance (true positive rate = false positive rate). The average ROC area under the curve (AUC) ± 1 standard deviation is displayed on each plot.

Please sign in or register for FREE

If you are a registered user on Research Communities by Springer Nature, please sign in

Follow the Topic

Cancer Biology
Life Sciences > Biological Sciences > Cancer Biology

Related Collections

With Collections, you can get published faster and increase your visibility.

Phytochemicals and health

This Collection welcomes original research investigating the mechanisms underlying phytochemical health effects, therapeutic potential, and challenges related to bioavailability and clinical application.

Publishing Model: Open Access

Deadline: Jul 28, 2026

Advances in neurodegenerative diseases

This Collection aims to bring together research from various domains related to neurodegenerative conditions, encompassing novel insights into disease pathophysiology, diagnostics, therapeutic developments, and care strategies. We welcome the submission of all papers relevant to advances in neurodegenerative disease.

Publishing Model: Hybrid

Deadline: Jun 30, 2026