Call for papers: Fibrosis: Tissue Repair and Remodelling

This Collection invites original research exploring mechanisms of tissue repair and remodelling, factors leading to fibrosis, and therapies to slow or reverse disease progression.
Call for papers: Fibrosis: Tissue Repair and Remodelling
Like

Share this post

Choose a social network to share with, or copy the URL to share elsewhere

This is a representation of how your post may appear on social media. The actual post will vary between social networks

Collection Overview

Scientific Reports has launched a Guest-Edited Collection on Fibrosis: Tissue Repair and Remodelling.

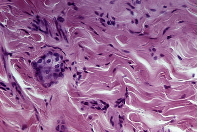
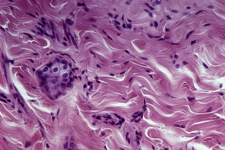
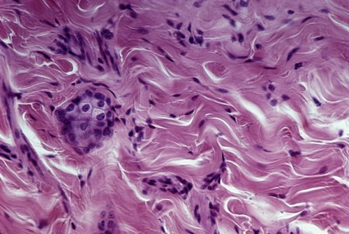
Fibrosis occurs when repetitive tissue injury leads to dysregulated wound healing, causing extracellular matrix buildup and structural changes in tissue. This pathological remodelling can impair organ function, contributing to chronic disease across different organ systems. Early detection and effective treatment of fibrosis remain challenging, highlighting the need for continued research.

This will be a Collection of original research papers and will be open for submissions from all authors – on the condition that the manuscripts fall within the scope of the Collection and of Scientific Reports more generally. We are welcoming submissions until 16th June 2026.

Why is this Collection important? 

Aging-associated changes in immune system composition, or inflammaging, promotes the development of fibrosis in multiple organ systems in the body. Fibrosis alters organ tissue composition so that normal tissues are replaced with stiff, contracted fibrotic tissues, causing organ dysfunction and insufficiencies. Very few clinically tested anti-fibrotic therapeutics are available, but none of these 'cure' fibrosis and often cause serious, sometimes intolerable, side effects. This leaves a critical gap in the clinical arsenal for effectively preventing or remediating aging-associated fibrosis. Clearly, there is an urgent clinical need to develop and test new, improved anti-fibrotic therapeutics to address the current and predicted growing number of patients afflicted by organ fibrosis among the aging US population.  The Fibrosis: Tissue Repair and Remodeling Collection provides a wonderful opportunity to expand the organ fibrosis pathobiology knowledge base and offer new insights into potential therapeutic targets to prevent, regress, or cure aging-associated organ fibrosis. This Collection could well become a reference point and resource for current and future fibrosis researchers around the globe.” - Dr. Jill A. Macoska

Why submit to a Collection? 

Collections like this one help promote high-quality science. They are led by Guest Editors, who are experts in their fields, and In-House Editors and are supported by a dedicated team of Commissioning Editors and Managing Editors at Springer Nature. Collection manuscripts typically see higher citations, downloads, and Altmetric scores, and provide a one-stop-shop on a cutting-edge topic of interest.

Who is involved? 

Guest Editors:

  • Mh Busra Fauzi, Universiti Kebangsaan Malaysia, Malaysia
  • Marc Jeschke, Hamilton Health Sciences, Canada
  • Jill Macoska, The University of Massachusetts Boston, United States

Internal Team:

  • In-House Editor: Snigdha Tiwari, Scientific Reports, India
  • Commissioning Editor: Jenny Knowles, Fully OA Brands, Springer Nature, UK
  • Managing Editor: Ioanna Pitsidianaki, Fully OA Brands, Springer Nature, UK

How can I submit my paper? 

Visit the Collection Page to find out more about this Collection and how to submit your article.

Please sign in or register for FREE

If you are a registered user on Research Communities by Springer Nature, please sign in

Follow the Topic

Biomedical Research
Life Sciences > Health Sciences > Biomedical Research
Biomedical Engineering and Bioengineering
Technology and Engineering > Biological and Physical Engineering > Biomedical Engineering and Bioengineering
SDG 3: Good Health & Wellbeing
Research Communities > Community > Sustainability > UN Sustainable Development Goals (SDG) > SDG 3: Good Health & Wellbeing

Related Collections

With Collections, you can get published faster and increase your visibility.

Dementia

This cross-journal Collection welcomes submissions that explore all aspects of dementia, including incidence, prevention, diagnosis and treatment of dementia and the impact on carers and society.

Publishing Model: Hybrid

Deadline: Apr 30, 2026

Advances in neurodegenerative diseases

This Collection aims to bring together research from various domains related to neurodegenerative conditions, encompassing novel insights into disease pathophysiology, diagnostics, therapeutic developments, and care strategies. We welcome the submission of all papers relevant to advances in neurodegenerative disease.

Publishing Model: Hybrid

Deadline: Jun 30, 2026