Electronic data capture and structured reporting as a link between clinical routine and clinical trials - An international feasibility study to create real-world evidence on COVID-19
Published in Healthcare & Nursing
Key takeaways
- This study presents a computer-assisted, context-guided reporting approach for COVID-19 based on FDA- and CE-approved medical software
- eReal-World evaluation was performed with 283 patients acquired from 8 institutions
- Data quality, traceability, and integrity along with human and machine-readable data export for clinical trials is guaranteed by our proposed solution
- Aggregated data is available in an open-access web platform with customizable analytics dashboard for exploratory real-time data analysis of imaging features and clinical information
Background
More than one year after the WHO declared COVID-19 to be a Public Health Emergency of International Concern and later a pandemic, life around the globe is still shaped by the disease. The impact on the individual level and for whole socioeconomic systems has been alarming. Even now, with vaccinations either already approved or in late trial stages, health care systems are facing exceptional challenges. COVID-19 caused an unprecedented, rapid scientific response. New technologies in molecular biology and biotechnology and the power of data science and artificial intelligence have been key drivers towards understanding and management of the disease. Meanwhile, it seems impossible to stay ahead of what is already called an ‘infodemic’ [1, 2].
The need for structured data
This highlights the importance of high-quality data and objective judgements about the quality of evidence. Healthcare, at its core, is driven by data. Depending on quality and integrity, health data from multiple sources will push innovation and clinical decision-making. With the value of high-quality data in mind and the tools for joint, structured data acquisition on hand, we developed an electronic data capture framework for COVID-19 in our recent study. Although clinical research and clinical routine might seem separate or sometimes even contradictory processes, we intended to integrate both processes to create real-world evidence.

Our approach
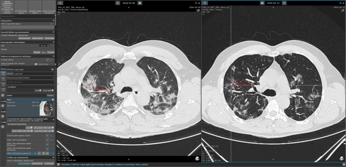
Based on the evidence available back in April 2020, the first version of a COVID-19 Mint EDC was drafted. It is based on the mint LesionTM medical software platform (Mint Medical GmbH, Heidelberg, Germany). Thereby, we enabled structured data annotation directly on primary imaging data from chest computed tomography. In addition, patient history and clinical data are reported in a standardized way in the evidence-based, context-assisted template. As an established software in radiological reporting, mint LesionTM and thus the developed COVID-19 EDC are able to depict disease courses and assess the progression of disease. In order to facilitate rapid, joint data acquisition early in the pandemic, we launched a cloud-based web platform for data to be uploaded, assessed, aggregated and analyzed.
A feasibility study with 8 European clinics and more than 280 patients
Eight European medical centers including ExploreCOVID centers (BMBF 01KI2054) were willing to prove the feasibility of this concept. They uploaded data from 283 patients, who either had laboratory confirmed Sars-CoV-2 infection or suspected infection based on clinical presentation. Clinicians and radiologists were guided through the whole data annotation process by the tool. Automatic conformity checks of the annotated data and rule-based evaluation were used to improve reporting. A particular strength lies in the permanent linkage of structured imaging-based values including automatic radiomics features with clinical data. The automatic generation of reports for single time points or disease courses of individual patients provided standardized disease assessment according to best scientific knowledge at the time. The developed COVID-19 EDC can be dynamically adapted to new scientific developments without losing any previously collected data. It has continuously been updated and is currently in its third version. In Germany, this reporting concept was adapted and subjected to further development by the nation-wide research initiative RACOON (Radiological Cooperative Network) [https://www.netzwerk-universitaetsmedizin.de/projekte/racoon], in which all university hospitals are participating.

Data Analytics Dashboard
In addition to reporting in clinical routine for individual patients, all data in this study were anonymized, aggregated and visualized in an open-access data analysis dashboard. This real-time data visualization can be accessed by every reader. All data generated in this study can be exported in human- and machine-readable formats and will be applicable for future research using machine learning and artificial intelligence methods.
Impact for future studies
Although COVID-19 is a major medical challenge, in which such reporting and trial frameworks can contribute to rapid and standardized data acquisition, it is this concept for future clinical trials that drives our curiosity. We wish to strongly stress the applicability of such a joint data acquisition for various future research approaches. Such forms of multi-centric clinical trials will not only allow to generate superior evidence levels but, by reaching adequate case numbers, e.g., in case of rare diseases, allowing to generate evidence at all. Imagining the usage of electronic data capture frameworks in clinical routine for state-of-the-art assessment of specific disease courses, while at the same time making these data usable for multi-centric, multi-national clinical trials with real-time trial monitoring and analysis - this might be the next level of evidence-based medicine worth to be strived for. Read our paper here: https://www.nature.com/articles/s41746-021-00439-y
The data analysis dashboard and its framework can be accessed through https://covid19.mint-imaging.com (User-ID: mint, password: FightCovid!).
A commented video of reporting using the COVID-19 Mint EDC can be accessed via: http://cloud1.mint-medical.de/downloads/player/index.html?v=Covid19StandardizedAssessmentWeb
References
[1] Zarocostas, J. How to fight an infodemic. Lancet 395, 676. doi:10.1016/S0140-6736(20)30461-X (2020).
[2] Gallotti, R., Valle, F., Castaldo, N., Sacco, P. & De Domenico, M. Assessing the risks of 'infodemics' in response to COVID-19 epidemics. Nat Hum Behav. 4, 1285-93. doi:10.1038/s41562-020-00994-6 (2020).
Follow the Topic
-
npj Digital Medicine
An online open-access journal dedicated to publishing research in all aspects of digital medicine, including the clinical application and implementation of digital and mobile technologies, virtual healthcare, and novel applications of artificial intelligence and informatics.
Related Collections
With Collections, you can get published faster and increase your visibility.
Artificial Intelligence in Emergency and Critical Care Medicine
Publishing Model: Open Access
Deadline: Jan 10, 2026
Digital Health Equity and Access
Publishing Model: Open Access
Deadline: Mar 03, 2026
Please sign in or register for FREE
If you are a registered user on Research Communities by Springer Nature, please sign in