Q&A: Is space travel bad for the brain?

Radiologist Donna Roberts discusses her latest NASA-funded paper that unveils the effects of long-term spaceflight on astronauts’ brain structure using Magnetic Resonance Imaging

Published in Physics

Q&A: Is space travel bad for the brain?
Like

Share this post

Choose a social network to share with, or copy the URL to share elsewhere

This is a representation of how your post may appear on social media. The actual post will vary between social networks

Hi Donna. Could you give me a bit of background about you and your study?

I worked for NASA in the 1990s. At that time, much of the research focused on what space does to bones, the heart, the muscles, the immune system—all parts of the body, except for the brain. And I’ve always been very fascinated with the brain, and proposed to NASA back then that it was important to look at what’s happening.

And so, I decided to go to medical school. I became a doctor, and then a radiologist, and then a brain radiologist. I started writing proposals back to NASA as soon as I got my degree. I conducted a bedrest study (NASA uses bedrest as an analog for microgravity) and saw that there were changes in the subjects’ brain structure. I hypothesized that the same thing was happening in astronauts.


What did you find?

Astronauts who spent a long period in microgravity demonstrated three major changes. The brain would shift upwards inside of the skull and, as the brain shifted upwards, the space for cerebrospinal fluid got narrowed. As did the central sulcus, a very important part of the brain that’s responsible for motor control.

Interestingly, other people have looked at this data before, but I think the brain-shift was missed as the first step in processing brain MRI scans, typically, is to strip the skull and just look at the brain. Any movement of the brain relative to the skull gets lost. And I think that’s unique about our study—we didn’t do that.


What might these changes mean for astronauts?

That’s what we’re working on right now. Three astronauts in our group had serious visual changes involving swelling of the optic nerve, and those astronauts all had the brain changes we found. We suspect that the other astronauts with brain changes might also have a milder form of what NASA calls VIIP—Vision Impairment and Intracranial Pressure Syndrome. 

If we send astronauts on even longer missions, such as a mission to Mars, the astronauts will undergo three to six months traveling there, three to six months back, plus approximately two years on the surface, where you’re only exposed to a third of Earth gravity. Nobody has any information about what partial gravity does to the human body. Could spending time on the Martian surface reverse these changes? We don’t know.

We’re also going to look at functional tests of the astronauts to see whether there’s any change in motor function that’s associated with the crowding of brain tissue around the central sulcus.


Do you have any thoughts on how the brain changes might relate to VIIP?

There’s a structure that lines the inside of the top of the skull called the superior sagittal sinus, and it’s where the venous blood and cerebrospinal fluid leaves the head. As the brain shifts up and crowds that vein, we hypothesize that congestion and blockage of cerebrospinal fluid results in the increased intracranial pressure and optic nerve problems that astronauts are experiencing as part of VIIP. 

There are patients on earth who have a blockage of this vein and develop the same symptoms. It causes cerebrospinal fluid to accumulate and move to the optic nerve, causing edema.


What other investigations in this area should we be considering?

It’s important to find out if these brain changes are reversible back here on Earth, and that we continue to look at astronauts who’ve spent long periods of time in space. And, if we are considering a mission to Mars, we need to determine whether or not we need to create some type of artificial gravity to ensure brain health.

* * *

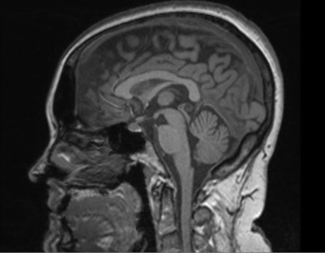
Poster image: A brain scan of a participant in one of Roberts' previous studies. Image courtesy of Donna Roberts.

Please sign in or register for FREE

If you are a registered user on Research Communities by Springer Nature, please sign in