The presentation, management and outcome of patients with ductal carcinoma in situ (DCIS) with microinvasion (invasion ≤1 mm in size)—results from the UK Sloane Project

There has been a lot of uncertainty about the entity of microinvasion in the breast regarding its definition, incidence, natural history and management.

Published in Cancer

The presentation, management and outcome of patients with ductal carcinoma in situ (DCIS) with microinvasion (invasion ≤1 mm in size)—results from the UK Sloane Project
Like

Share this post

Choose a social network to share with, or copy the URL to share elsewhere

This is a representation of how your post may appear on social media. The actual post will vary between social networks

Why study Microinvasive carcinoma?

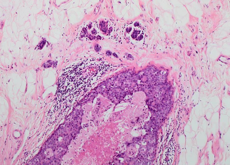
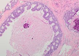
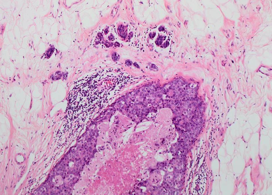
Microinvasive carcinoma is a small (< or = to 1 mm) focus of invasion usually occurring in the setting of high-grade DCIS. It is not clear, however, whether it behaves clinically as in situ or invasive disease. Due to its rarity, it has been challenging to assemble a well-characterised cohort of the lesion with long follow up.

What did we do?

We analysed the data on cases submitted as microinvasive carcinoma to the UK Sloane Project governed by NHS England and NHS Improvement (previously Public Health England, PHE). This study includes input from patient representatives throughout the project. The Project was named after their late Professor John Sloane; one of the pioneers of breast pathology and screening in the United Kingdom. This is the largest prospective cohort of screen-detected DCIS. Comprehensive imaging, pathology, surgical, radiotherapy and outcome data have been submitted from breast screening units throughout the UK collected from patients treated between 2003 and 2012.

What did we find?

Microinvasive carcinoma was identified in 512 of a total of 11285 patients (4.6%). The incidence, however, varied considerably among units suggesting variation in diagnosis histopathologically. It was associated with high grade DCIS, solid and cribriform patterns and comedo-type necrosis. Patients were more likely to undergo mastectomy, have axillary surgery and also to receive radiotherapy after breast conservation compared with pure DCIS. The nodal metastasis rate was not statistically different between those with pure DCIS and those women with microinvasion. Subsequent events were few, with only 4.2% of patients developing ‘true’ invasive carcinoma (i.e. >1mm in size). Breast cancer specific mortality was, however, significantly higher in women with microinvasion at diagnosis.

Take Home message

Microinvasive carcinoma appears more clinically aggressive than pure DCIS. Accurate diagnosis by pathologists is therefore essential. A practical tip is to examine H&E levels to assess more accurately the size of the invasive focus, since true invasion may be identified on deeper levels.  A multidisciplinary, patient-centred, management approach will help tailor treatment for individual patients.

What is next?

Further work into identifying high-risk DCIS and those with microinvasion that are prone to progress and metastasize will help refine patient management. Factors that have been associated with aggressive behaviour in other studies include large size DCIS, multiplicity of microinvasive foci and HER2 positive DCIS. Molecular and genomic profiling may also provide valuable data in identifying high risk DCIS lesions.

Please sign in or register for FREE

If you are a registered user on Research Communities by Springer Nature, please sign in

Follow the Topic

Cancer Biology
Life Sciences > Biological Sciences > Cancer Biology