Transcriptomics-driven metabolic pathway analysis reveals similar alterations in lipid metabolism in mouse MASH model and human
Published in General & Internal Medicine, Anatomy & Physiology, and Mathematics
Our approach
Over the past decades, computational models of metabolism such as genome-scale metabolic models (GEMs) have been used together with experiments to provide an additional level of granularity and insight. We developed transcriptomics-driven metabolic pathway analysis (TDMPA), a method that uses gene expression data and GEMs to systematically evaluate metabolic pathway alterations that characterize the disease. By comparing these findings with the corresponding ones in human, TDMPA assesses the suitability of animal models, and provides a comprehensive understanding of the metabolic changes associated with MASLD and MASH. Additionally, TDMPA helps to define the metabolic space for further investigation through functional assays and metabolomics experiments. Our study’s complete workflow is presented in Figure 1.
Our results
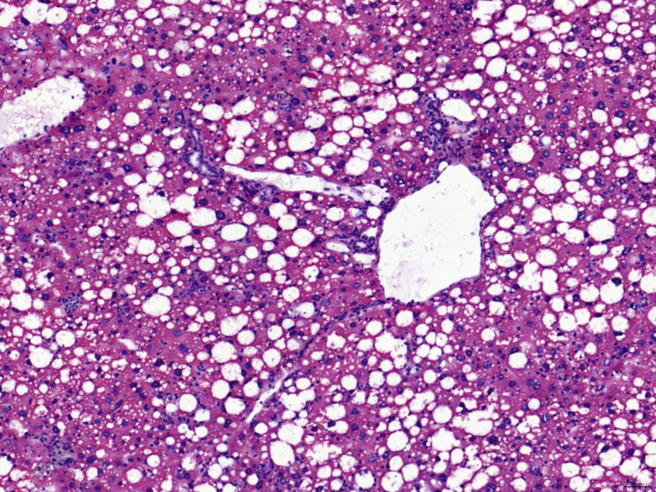
One of the primary aspects of the study is the evaluation of the selected MASH mouse model induced by a combination of a high-fat diet (western diet) and carbon tetrachloride (CCl4). This model closely resembles human MASH pathology and metabolic alterations, particularly in lipid metabolism and energy production pathways. Through TDMPA, we demonstrated the model's resemblance to human MASH, thus validating its suitability for studying the disease's pathophysiology and developing treatment strategies. We observed that the most affected parts of the liver metabolism were bile acid biosynthesis and recycling, fatty acid beta oxidation, biosynthesis, and metabolism, cholesterol biosynthesis, metabolism, and esterification, leukotriene and arachidonic acid metabolism, carnitine shuttle, oxidative phosphorylation, phospholipid biosynthesis, sphingolipid biosynthesis, and the metabolism of multiple amino acids.
Furthermore, we performed functional assays and lipidomics analyses to validate the TDMPA predictions of the metabolic alterations observed in the mouse model. These experimental validations provide critical support for the reliability and accuracy of the TDMPA methodology, reinforcing its utility in uncovering metabolic perturbations associated with MASLD and MASH.
Our conclusions
By identifying key metabolic pathways altered in both human MASH and the mouse model, our study offers valuable insights for future research and treatment development. These findings lay the groundwork for targeted therapeutic interventions aimed at patient outcomes in MASLD and MASH. TDMPA’s limitations lie primarily in the annotation of GEMs and the exclusion of several metabolic processes such as signaling. However, it demonstratively offers an important level of granularity for the study of metabolic pathways in metabolic disorders and it enables the direct mapping of changes on the gene expression level to metabolic reactions. Additionally, TDMPA can be used for the consistent comparison and evaluation of preclinical models, which facilitate drug discovery and testing, identification of risk factors, and development of better treatment strategies.
Overall, our study's contributions advance our understanding of metabolic liver disorders and underscore the importance of accurate preclinical model development and systematic evaluation in driving progress towards ultimately reducing the global burden of liver disease.
Follow the Topic
-
Communications Medicine
A selective open access journal from Nature Portfolio publishing high-quality research, reviews and commentary across all clinical, translational, and public health research fields.
Related Collections
With Collections, you can get published faster and increase your visibility.
Healthy Aging
Publishing Model: Open Access
Deadline: Jun 01, 2026
Public health and health governance in China
Publishing Model: Open Access
Deadline: Jul 31, 2026

Please sign in or register for FREE
If you are a registered user on Research Communities by Springer Nature, please sign in