A longevity-associated variant of the human BPIFB4 gene prevents diastolic dysfunction in progeria mice

This study explores a supercentenarian gene variant protecting the progeria heart, highlighting that mining the genetics of supercentenarians will reveal novel global treatments for premature or accelerated ageing.
A longevity-associated variant of the human BPIFB4 gene prevents diastolic dysfunction in progeria mice
Like

Share this post

Choose a social network to share with, or copy the URL to share elsewhere

This is a representation of how your post may appear on social media. The actual post will vary between social networks

In the last few decades, life expectancy has significantly risen in industrialized countries thanks to improved living conditions, successful public health measures, and treatments targeting modifiable risk factors and pathogenic mechanisms. Unmodifiable genetic factors interact with the environment to influence the risk of disease and biological ageing processes. Gene polymorphisms arising from genetic variations, including single-base alterations or insertions/deletions generate novel variants in a DNA sequence. These changes can then disseminate throughout a population as a result of evolutionary mechanisms such as natural selection and genetic drift. Polymorphisms are inheritable and prevalent throughout populations, differentiating people in their genetic composition and potentially affecting phenotypic characteristics. Certain gene mutations and polymorphisms are linked to either premature ageing and early death, as seen in progeroid disorders, or, conversely, to extraordinary longevity, as evidenced in supercentenarians. One of the most notable instances is progeria, a severe and exceedingly rare genetic illness resulting from a mutation in the Lamin A gene, which causes the synthesis of progerin, a harmful protein that hastens the ageing process.

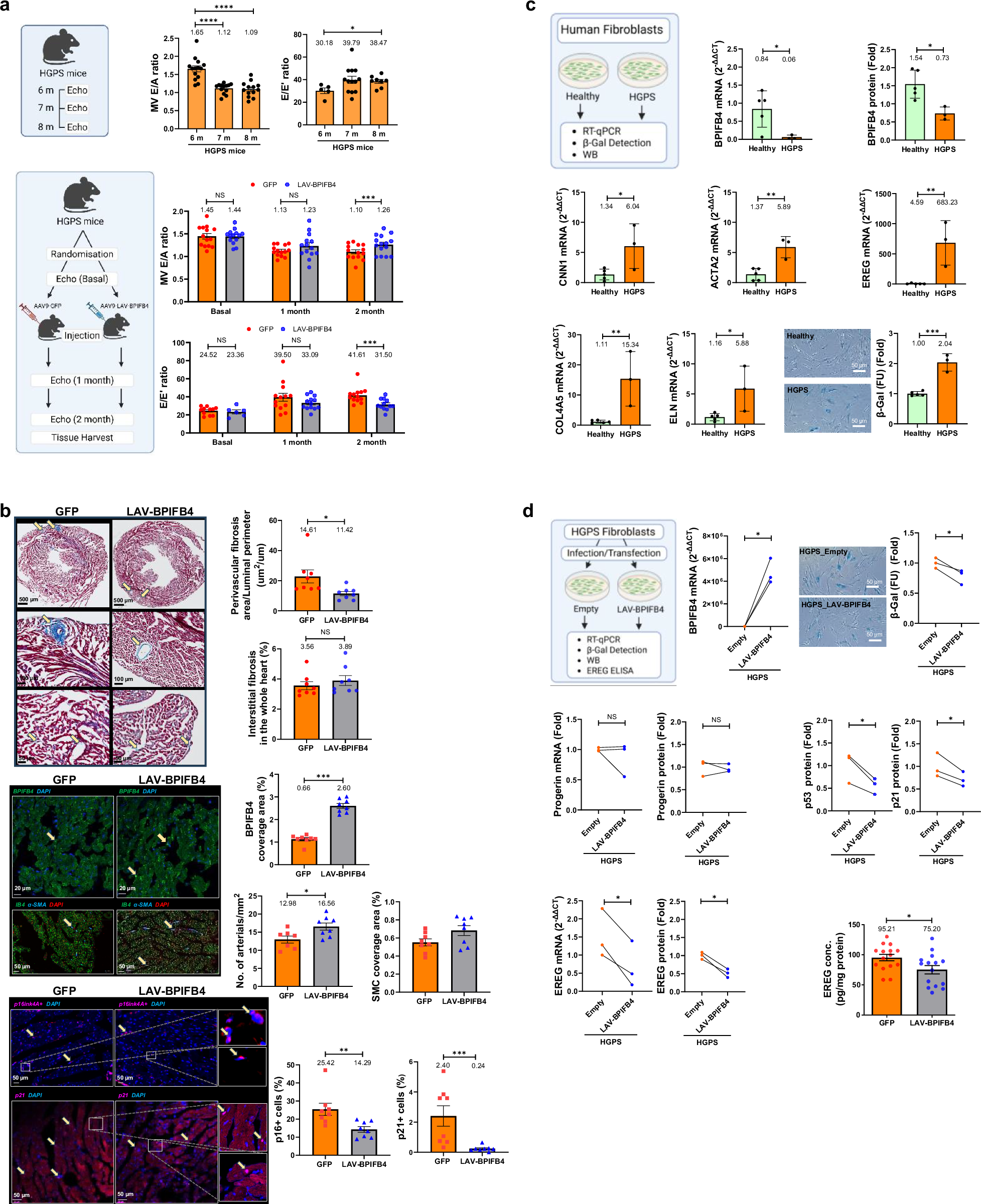
Our research examined the impact of incorporating a longevity-associated gene into human progeria cells and progeroid animal models. Notably, we noted enhanced functionality in both human cells and the mouse heart. This discovery is especially significant, as adolescents with progeria succumb to cardiovascular problems before reaching puberty. One remarkable case is Sammy Basso, who lived until the age of 28, garnering fresh public and scientific interest in this rare condition. In perspective, delivering the protein encoded by the longevity gene may be a strategy to extend lifespan and overall health in these children, providing a therapeutic bridge while awaiting definitive solutions through gene editing. This technique is designed to directly correct the Lamin A mutation and block the production of progerin, with the potential to halt, or even reverse, the progression of the disease.

The sole licensed medication at present is lonafarnib, a farnesyltransferase inhibitor that diminishes the synthesis and accumulation of progerin, enhancing certain cardiovascular symptoms and modestly prolonging lifetime, however, without curing the condition. A recent clinical trial has begun to evaluate the efficacy of a combination of lonafarnib and progerinin, an advanced progerin–Lamin A binding inhibitor aimed at more effectively mitigating the detrimental effects of progerin. Although these strategies are encouraging, they are merely provisional solutions, underscoring the pressing necessity for innovative cardiovascular medicines that could enhance both long-term survival and quality of life.

The Longevity-Associated Variant (LAV) in BPIFB4 may be a viable option. We identified LAV-BPIFB4 by a genome-wide investigation of polymorphisms in cohorts of centenarians from Italy, the United States, and Germany, in comparison to younger control populations. The investigation indicated that this variant is especially prevalent among centenarians, with genotype frequencies markedly above the roughly 10% prevalence found in younger populations. Individuals carrying two copies of the LAV-BPIFB4 allele experience less frailty and exhibit enhanced cardiovascular and immunological function compared to non-carriers. Subsequent studies revealed the distinctive capacity of LAV-BPIFB4, in contrast to the wild-type allele, to reestablish cellular homeostasis and avert cardiovascular and neurodegenerative diseases, alongside essential ageing mechanisms, by revitalizing critical organs including the heart, vasculature, and immune system.

This research resulted in the protection of intellectual property for the therapeutic application of LAV-BPIFB4, a complex, expensive, and time-intensive endeavour successfully achieved despite constrained financial resources. With funding from the Medical Research Council (MRC), assistance from the Progeria Research Foundation for access to patient-derived cells, and the utilization of disease models, we have contributed a novel element to this research endeavour.

We demonstrate that LAV-BPIFB4 enhances cardiac outcomes in a genetically defined Progeria model by maintaining diastolic function, promoting vascularization, and diminishing cardiac fibrosis and cellular senescence. Moreover, in patient-derived fibroblasts exhibiting diminished BPIFB4 protein levels and pronounced senescence indicators, the introduction of LAV-BPIFB4 alleviates these pathological characteristics.

LAV-BPIFB4 illustrates the influence of human exceptional longevity genetics on three levels: 1) altering the physiological ageing trajectory to prolong health-span; 2) mitigating various age-related diseases, including cardiovascular and neurodegenerative disorders, through a unified therapeutic strategy; and 3) improving outcomes in genetically determined models of accelerated ageing.

We are currently investigating the therapeutic potential of LAV-BPIFB4, a challenging and resource-demanding endeavour focused on converting our experimental results into a novel biological medicine. The findings collected thus far suggest that this strategy will mitigate the deterioration of cardiovascular and immunological systems, contributing to health improvement.

Please sign in or register for FREE

If you are a registered user on Research Communities by Springer Nature, please sign in

Follow the Topic

Ageing
Life Sciences > Biological Sciences > Physiology > Ageing
Cardiovascular Diseases
Life Sciences > Health Sciences > Clinical Medicine > Diseases > Cardiovascular Diseases
Cellular Senescence
Life Sciences > Biological Sciences > Cell Biology > Cellular Senescence
Cardiovascular Models
Life Sciences > Biological Sciences > Biological Techniques > Biological Models > Cardiovascular Models