A VEGF receptor vaccine demonstrates preliminary efficacy in Neurofibromatosis type 2.

An interim-analysis demonstrated the preliminary efficacy in NF2.

Published in Cancer

A VEGF receptor vaccine demonstrates preliminary efficacy in Neurofibromatosis type 2.
Like

Share this post

Choose a social network to share with, or copy the URL to share elsewhere

This is a representation of how your post may appear on social media. The actual post will vary between social networks

Neurofibromatosis type 2 (NF2) is associated with the development of schwannomas at multiple sites including the bilateral vestibular portion. After surgical resection, tumors are highly likely to regrow. The use of stereotactic radiosurgery has recently become an effective management modality for NF2 schwannomas. However, radiosurgery is not advocated for multiple or large tumors. Treatment with the anti-vascular endothelial growth factor (VEGF) antibody bevacizumab (Bev) has reportedly resulted in tumor control and hearing improvement in NF2 patients [Plotkin SR. N Engl J Med. 2009; Plotkin SR. J Clin Oncol. 2019]. This treatment strategy was highly impressive for clinicians in the world. Bev made the great contribution to improving the quality of life for NF2 patients. Further development of the treatment using Bev is expected.

On the other hands, Bev has some problems to solve, such as the need for frequent administration, side effects, drug resistance, and rebound tumor progression after cessation. Therefore, we tried to develop new treatment strategy considering pathological condition of NF2. 

We previously conducted exploratory clinical studies investigating VEGF receptors (VEGFRs) peptide vaccination with and without multiple glioma oncoantigens in patients with primary and recurrent high-grade gliomas, wherein treatment exhibited safety and yielded therapeutic effects in some patients.

Our study demonstrated VEGFRs expression in endothelial cells and tumor cells in NF2 schwannomas, and conduct an exploratory clinical investigation of VEGFRs peptide vaccination in patients with progressive NF2. 

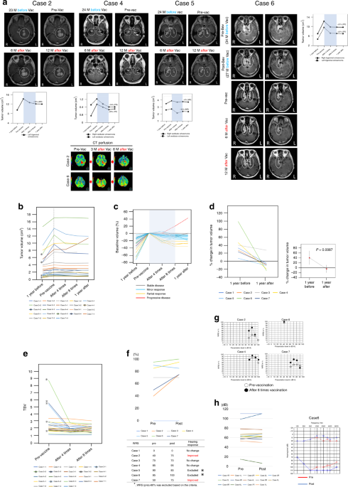
In the study, hearing improved in 2/5 assessable patients (40%) as determined via international guidelines, with increased in word recognition scores. Tumor volume reductions of ≥ 20% were observed in 2/7 patients, including one in which Bev had not been effective. It could be attributed to the difference in the target of inhibition, VEGFR compared with VEGF. There were no severe adverse events related to the vaccine. Both VEGFR1-specific and VEGFR2-specific cytotoxic T cells (CTLs) were induced in 6 patients. Surgery was performed after vaccination in two patients, and significant reductions in VEGFRs expression in schwannomas were observed. In schwannomas of NF2 patients, Foxp3-positive cells were associated with the progressive course. The number of Foxp3-positive cells decreased after vaccination, suggesting that the induced CTLs might target VEGFR2-expressing Tregs. With regard to potential advantages of VEGFRs peptide vaccination, continuous administration may not be necessary because memory CTLs persist in the long term.

An interim-analysis demonstrated the preliminary efficacy in NF2. Although studies with a larger number of NF2 patients are warranted to confirm the findings of the present study, the results suggest that this immunotherapeutic strategy may be favorable in patients with benign refractory tumors such as NF2.



Tamura R, Fujioka M, Morimoto Y, Ohara K, Kosugi K, Oishi Y, Sato M, Ueda R, Fujiwara H, Hikichi T, Noji S, Oishi N, Ogawa K, Kawakami Y, Ohira T, Yoshida K, Toda M. 

A VEGF receptor vaccine demonstrates preliminary efficacy in neurofibromatosis type 2. Nat Communications

 

Please sign in or register for FREE

If you are a registered user on Research Communities by Springer Nature, please sign in

Follow the Topic

Cancer Biology
Life Sciences > Biological Sciences > Cancer Biology

Related Collections

With Collections, you can get published faster and increase your visibility.

Women's Health

A selection of recent articles that highlight issues relevant to the treatment of neurological and psychiatric disorders in women.

Publishing Model: Hybrid

Deadline: Ongoing

Biosensing

With this cross-journal Collection, the editors of Communications Biology, Nature Biomedical Engineering, Nature Sensors, Nature Communications, and Scientific Reports welcome the submission of primary research Articles focusing on the development of engineered biosensing devices with the potential to be applied in biomedical research and in the management of disease conditions.

Publishing Model: Hybrid

Deadline: Jun 30, 2026