Advancing Parkinson's Treatment through MRgFUS Subthalamotomy
Published in General & Internal Medicine and Surgery
Parkinson's disease (PD) remains a significant challenge in neurology, with its complex motor symptoms profoundly affecting patients' lives. Our recent study explores an innovative approach: subthalamotomy using Magnetic Resonance-guided Focused Ultrasound (MRgFUS). This technique offers a minimally invasive alternative to traditional surgical methods, aiming to alleviate motor symptoms by precisely targeting the subthalamic nucleus (STN) while achieving an optimal balance between benefits and side effects1,2.
Small Lesion, Big Challenge: Maximizing Benefits and Minimizing Side Effects
The primary goal of this approach is optimizing surgical outcomes by precisely targeting the sensorimotor region of the STN, a critical area in PD pathophysiology3. Patient selection and accurate targeting are fundamental to the success of MRgFUS subthalamotomy. Our selection criteria focused on patients with: asymmetric motor symptoms, no residual axial symptoms in the on-medication condition, preserved cognitive function, and no significant psychiatric concerns. Advances in understanding the functional organization of the STN, supported by studies in DBS and focused ultrasound procedures, have allowed us to refine lesion strategies to address each patient's specific symptoms4,5. This methodology reduces the number of sonications required, creating an effective lesion while maintaining safety.
Encouraging Results
Between 2021 and 2023, twelve patients underwent unilateral MRgFUS subthalamotomy and completed six months of follow-up. The intervention resulted in significant clinical improvements, including a greater than 50% reduction in motor symptoms on the treated side as measured by MDS-UPDRS III. Patients also reported significant enhancements in their ability to perform daily activities. The procedure exhibited a favorable safety profile. Mild and often transient side effects included de novo on-medication dyskinesia in 25% of patients, subjective instability in 25%, and mild dysarthria in 20%.
Implications for Future Research: Refining Surgical Techniques
Our findings highlight the potential of MRgFUS subthalamotomy as a viable treatment for PD. However, further research is needed to evaluate the long-term durability of motor improvements and explore the feasibility of bilateral interventions. To date, more than 30 patients have been treated at our center using this technique, with lesioning strategies tailored to each patient's symptoms. A continued focus on minimizing complications such as dyskinesia and weakness will be critical to refining these procedures.

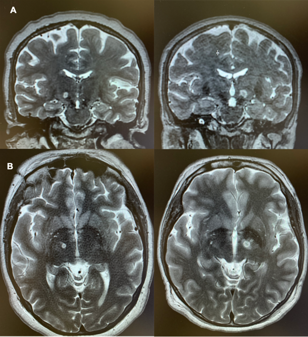
Figure 1. Magnetic Resonance Images in Two Patients Immediately After MRgFUS Subthalamotomy. Coronal (A) and axial (B) T2-weighted views obtained immediately after the procedure. The site of the lesion is recognizable by a heterogeneous central area corresponding to tissue necrosis, which is typically hypointense (black) on T2-weighted images. This zone is delimited by a rim of perilesional cytotoxic edema, hyperintense (white) on T2-weighted images. An additional hyperintense area on T2-weighted imaging corresponds to edema spreading within the white matter surrounding the subthalamic nucleus.
The Road Ahead
While MRgFUS subthalamotomy offers a promising minimally invasive alternative to DBS, key questions remain regarding the longevity of its benefits6 and its application in more advanced cases7. Innovations in neuroimaging for preoperative planning and intraoperative adjustments are expected to enhance outcomes further.
As our understanding of the STN’s functional anatomy deepens, MRgFUS subthalamotomy represents a significant step forward. It provides new hope for patients seeking less invasive surgical options while embracing the implications of an ablative, unilateral procedure.
Conclusion
MRgFUS subthalamotomy represents a promising advancement in the treatment of PD, expanding the spectrum of neurosurgical options for this condition. By tailoring interventions to individual patient profiles, this technique offers renewed hope to those living with Parkinson's disease.
References
- Martínez-Fernández R, Rodríguez-Rojas R, del Álamo M, Hernández-Fernández F, Pineda-Pardo JA, Dileone M, et al. Focused ultrasound subthalamotomy in patients with asymmetric Parkinson’s disease: a pilot study. Lancet Neurol. 2018;17(1):54–63.
- Martínez-Fernández R, Máñez-Miró JU, Rodríguez-Rojas R, del Álamo M, Shah BB, Hernández-Fernández F, et al. Randomized Trial of Focused Ultrasound Subthalamotomy for Parkinson’s Disease. N Engl J Med. 2020;383(26):2501–13.
- Hamani C, Saint-Cyr JA, Fraser J, Kaplitt M, Lozano AM. The subthalamic nucleus in the context of movement disorders. Brain. 2004;127(1):4–20.
- Rodriguez-Rojas R, Máñez-Miró JU, Pineda-Pardo JA, del Álamo M, Martínez-Fernández R, Obeso JA. Functional anatomy of the subthalamic nucleus and the pathophysiology of cardinal features of Parkinson’s disease unraveled by focused ultrasound ablation. Sci Adv . 2024;10(47):1–15.
- Akram H, Surg FN, Sotiropoulos SN, Jbabdi S. Europe PMC Funders Group Subthalamic deep brain stimulation sweet spots and hyperdirect cortical connectivity in Parkinson ’ s disease. 2019;44(0):332–45.
- Martínez-Fernández R, Natera-Villalba E, Máñez Miró JU, Rodriguez-Rojas R, Marta Del Álamo M, Pineda-Pardo JÁ, et al. Prospective Long-term Follow-up of Focused Ultrasound Unilateral Subthalamotomy for Parkinson Disease. Neurology. 2023;100(13):E1395–405.
- Martínez-Fernández R, Natera-Villalba E, Rodríguez-Rojas R, Del Álamo M, Pineda-Pardo JA, Obeso I, et al. Staged Bilateral MRI-Guided Focused Ultrasound Subthalamotomy for Parkinson Disease. JAMA Neurol. 2024;81(6):638–44.
Follow the Topic
-
npj Parkinson's Disease
This journal publishes original basic science, translational and clinical research related to Parkinson's disease, including anatomy, etiology, genetics, cellular and molecular physiology, neurophysiology, epidemiology and therapeutic development and treatments.
Related Collections
With Collections, you can get published faster and increase your visibility.
Cognition - preclinical models, and preclinical unmet need
Publishing Model: Open Access
Deadline: Jul 27, 2026
Environmental risk factors for Parkinson’s disease
Publishing Model: Open Access
Deadline: Feb 13, 2026
Please sign in or register for FREE
If you are a registered user on Research Communities by Springer Nature, please sign in
Dear Irene Martinez-Torres,
I'm very interested in the data from this study.
Would the dataset be available for sharing, or could you point me to where it might be accessed?
Thank you