After the paper | Third generation effects of chemotherapy drug treatment?
Published in Cancer
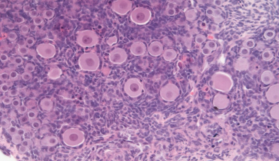
In 2016, our paper on ‘Etoposide damages female germ cells in the developing ovary’ was published in BMC Cancer. The paper explored the effects of the topoisomerase II inhibitor etoposide, a chemotherapeutic which can be given to pregnant cancer patients, on the germ cells which would be developing within any female fetus during the pregnancy. Using a mouse model, we found that etoposide damaged ovarian germ cells at very early stages, prior to formation of the ovarian follicles in which the germ cells grow and mature, but that exposure to the same, or even higher concentration of etoposide had no effect on these germ cells after the follicles had formed. This suggests that the precise timing of treating any pregnant woman with etoposide may be a crucial factor in determining the extent to which the future fertility of an exposed fetus may be affected.
So what happened after our paper was published?
AGNES
The paper received considerable attention in various news outlets (Altmetric – Etoposide damages female germ cells in the developing ovary) which I had not really expected. The reason I had initially stumbled into this area of research was something of a chance effect, as a consequence of the focus of my PhD, in which I was examining other types of topoisomerase II inhibitors, and their effect on female fertility. When I then started exploring the literature I was astonished to find that next-to-no research had been carried out to determine whether chemotherapy drugs, such as etoposide, could affect the future fertility of the exposed fetus. I was even more surprised to find out that chemotherapy treatment is considered safe to administer to pregnant women after the 1st trimester, despite the understanding that many chemotherapy agents can have damaging effects on fertility of children and young people with cancer. That discovery then lead me down this research path, since it seemed to me to be an important gap in this field. Therefore, I was delighted that the paper received so much interest in the media, since that interest would further help to highlight the gap, and explain to people why it is important for scientists and clinicians to explore this area further.
This was my first publication on which I was the first author, and I went on to present the findings from the paper at the annual Society of Reproduction and Fertility conference in 2016, winning their postdoctoral prize for that talk. This prize included a round trip to Australia to present my findings at the annual conference of the Society for the Study of Reproduction in Perth the following year, a fantastic experience, and also my first time visiting Australia.

I now have a lectureship, as part of which I am continuing to work on this topic: indeed, this has become the focus of my current research.
NORAH
I think that there are two consequences of the research project published in this BMC Cancer paper that stand out to me.
Firstly, for me this work began as part of the PhD project of my then graduate student, Agnes Stefansdottir. Agnes is the first of my PhD students with whom I have then gone on to collaborate as they have gained research independence, in this case with Agnes starting a Lectureship at the University of Edinburgh. Watching the careers of previous PhD students develop in the years after graduation is always very fulfilling, one of the highlights being a supervisor. Continuing to work with that person as has happened here, and doing so on a topic that has stemmed from that PhD project has been particularly rewarding.

Secondly, despite the fact that the need to administer chemotherapy treatment to pregnant women is, luckily, uncommon – estimates are that this will only happen in around one in a thousand pregnancies – I have been surprised to find that there have been a couple of occasions where I have met people with a personal link to this situation. Probably because the topic has not gained much general attention until recently, people caught up in this situation are particularly keen to discuss what the ramifications might be, and what it might be helpful to do. This very much brings the research topic to life, powerfully highlighting the need for the work to continue.
AGNES AND NORAH
Since the publication of our BMC Cancer paper, we have both been very pleased to see that the importance of this topic is gaining increasing recognition. One result of this is that we now have links with other scientists and with clinicians who work with pregnant cancer patients, leading to us becoming part of a collaboration of research groups across Europe.
Follow the Topic
-
BMC Cancer
This is an open access, peer-reviewed journal that considers articles on all aspects of cancer research, including the pathophysiology, prevention, diagnosis and treatment of cancers.
Related Collections
With Collections, you can get published faster and increase your visibility.
Genitourinary cancers: advances in research, diagnosis, and treatment
Genitourinary cancers, spanning a wide range of malignancies affecting both the urinary and reproductive systems, represent a significant global health challenge. These malignancies affect millions of individuals worldwide and are associated with substantial morbidity and mortality. Recent advancements in understanding the molecular and genetic underpinnings of these cancers have paved the way for innovative diagnostic and therapeutic approaches. As researchers continue to explore the complexities of genitourinary tumors, a clearer picture of their pathophysiology is emerging, which is crucial for developing targeted treatment strategies.
The ongoing research in genitourinary cancers is pivotal for improving patient outcomes. With the advent of precision medicine, immunotherapy, and novel biomarker identification, there have been significant strides in tailoring treatments to individual patients. For instance, the incorporation of genomic profiling in clinical practice has revolutionized our approach to managing prostate cancer, enabling more effective and personalized therapies. Furthermore, ongoing clinical trials are continually expanding our knowledge base, ultimately aiming to enhance survival rates and quality of life for patients diagnosed with these cancers.
Continued research in this field holds the promise of further breakthroughs in diagnostics and treatment modalities. As our understanding of the molecular drivers of genitourinary cancers deepens, we may witness the development of innovative therapeutic agents, enhanced screening methods, and more effective strategies for early detection. Future research could also lead to better integration of multidisciplinary approaches, offering hope for improved management and outcomes for patients facing these challenging diseases.
This Collection welcomes research articles on topics including, but not limited to:
- Genetic mutations and molecular pathways in genitourinary cancers
- Advances in biomarker discovery for early detection
- Imaging technology for early detection
- Liquid biopsy
-Genomic testing for personalized treatment plans
- Immuno-oncology combinations and novel drug classes
- Role of surgery and minimally invasive procedures
- Targeted therapies for specific genitourinary malignancies
- Overcoming resistance to chemotherapy and targeted therapies
- New clinical trials and cutting-edge research
- Translational research bridging laboratory findings to clinical applications
All manuscripts submitted to this journal, including those submitted to collections and special issues, are assessed in line with our editorial policies and the journal’s peer-review process. Reviewers and editors are required to declare competing interests and can be excluded from the peer review process if a competing interest exists.
Publishing Model: Open Access
Deadline: May 15, 2026
Cancer control in low- and middle-income countries – Part II
In 2015, the United National General Assembly adopted the 2030 Agenda for Sustainable Development Goals (SDGs), built on the principle of “leaving no one behind.” The goals highlighted the importance of fighting inequalities across the world, and specifically, two goals, SDG 3: Good Health and Well-Being and SDG 10: Reduced Inequalities, have the ambitious aim of reducing disparities within and among countries and ensuring healthy lives for all at all ages. In addition, the 2020 WHO report on cancer clearly states that cancer control is an integral component of the path toward universal health coverage and achieving SDGs. By investing wisely and equitably, cancer cases and deaths can be avoided, and premature mortality can be reduced by 2030.
Hence, to combat the high mortality of preventable and treatable cancer in LMICs, urgent efforts are needed to improve cancer control programs and educate the public to bridge knowledge gaps, address misconceptions, and debunk myths. In addition, several gaps in the research enterprise of LMICs, such as the scarcity of reliable data, a lack of clinical trials, as well as the lack of infrastructure and trained human resources, must be addressed to solve local and regional problems with acceptable, feasible, effective, and implementable solutions.
In recognition of this relevant field, we encourage submissions including but not limited to those addressing:
• Patient navigation in cancer care and its role in cancer control in LMICs
• Training of the workforce caring for patients with cancer in LMICs
• Decentralization of cancer care in LMICs
• Technology, infrastructures, and the need for implementation in cancer care in LMICs
• The role of AI and digital health in cancer care in LMICs
• Financial burden of cancer care on patients and their families
• The role of cancer registries in strengthening cancer control in LMICs
• Defining optimal cancer treatment approaches in LMICs using local evidence
• Clinical trials and cancer in LMICs
• Anticipation medicine and cancer in LMICs
• Trends in cancer research in LMICs
• National cancer control plans and their utility in LMICs and barriers to implementation
• Twinning and partnership in cancer care in LMICs
All manuscripts submitted to this journal, including those submitted to collections and special issues, are assessed in line with our editorial policies and the journal’s peer-review process. Reviewers and editors are required to declare competing interests and can be excluded from the peer review process if a competing interest exists.
This Collection supports and amplifies research related to SDG 3: Good Health and Well-Being and SDG 10: Reduced Inequalities.
Publishing Model: Open Access
Deadline: Aug 14, 2026
Please sign in or register for FREE
If you are a registered user on Research Communities by Springer Nature, please sign in