An update on the architecture of the human deep brain
Published in Bioengineering & Biotechnology, Neuroscience, and Biomedical Research
The deep brain (DB) is a complex region responsible for critical functions like movement, sensation, and behavior. However, its intricate numerous structures and the difficulty in visualizing it with traditional imaging techniques have hindered research and clinical progress. To address this challenge, a new open-access, high-resolution, 3D MRI multimodal template of the DB called the Deep Brain – MRI Architecture (DB-MA) atlas was developed. It provides detailed information on the DB's structural architecture, including both the nuclei and the fiber pathways that connect them. It was created using advanced, semi-clinical based, MRI sequences, including diffusion tensor imaging (DTI) enabling fiber (bundles, fascicles) tracking-tracing (FT). By combining these data with detailed anatomical labeling, the DB-MA atlas provides a comprehensive view of the DB's structure and connectivity. This new atlas has the potential to significantly advance our understanding of the DB and its role in various neurological and psychiatric disorders. It can be used by researchers and clinicians to study the DB's anatomy, connectivity, and function, as well as to develop new diagnostic and therapeutic approaches.
MATERIAL-METHODS
A 25-year-old right-handed male volunteered for the study, underwent several sessions without contrast injections, split into: (1) White-Matter Attenuated Inversion Recovery (WAIR) Sequence, on a Siemens 1.5 T machine in axial, coronal, and sagittal planes, with a pixel size of 0.5273 × 0.5273 mm² and slice thickness of 2 mm; (2) 3D T1 IR BRAVO HR Sequence, on a General Electric 3 T machine, in the axial plane, with a pixel size of 0.4688 × 0.4688 mm² and slice thickness of 1.4 mm; (3) Diffusion Tensor Imaging (DTI) on a General Electric 3 T machine, with 60 directions and a pixel size of 1.0938 × 1.0938 mm². The T1, WAIR, and diffusion MRI datasets were co-registered in the horizontalized ACPC system. Registration and normalization techniques included mutual information, rigid transformation, and non-linear diffeomorphism. The datasets were resampled to isotropic 0.5-mm side voxels, and DTI datasets were aligned to minimize distortions. Using the diffusion MRI datasets, symmetric second-order tensors and fiber tracking were computed. Various parameters were adjusted to optimize the fiber tracking and interpretation of DEC (Direction Encoded Color) maps.
The DB structures were issued of an extended, high-resolution (125 × 125 × 250 µm3) MRI atlas, including 119 labeled structures, the extended MRI deep brain atlas (eMDBA), which was registered to the WAIR template.
Thirteen reference slices were used to visually assess the topographic information in the DB-MA atlas These slices were selected from classical literature and oriented to show key structures. The two slices related to AC and PC served as geometrical frames of reference and enabled comparisons with current human stereotactic atlases.
Figure 1: Locations of reference slices (see manuscript for details; lateral view, midline slice merging WAIR and DCE): coro MIP, axial ACPC, coro-fw BRT, coro-bw MSV, coro ALic, coro AC, coro PC, coro RV, MB-PC axial-uw VF, axial-uw BFG, axial uncinate and the axial cow acpc; ACPC system (yellow box), y-length (ACPC length)=30 mm, z-height=60 mm; 3D views of red nucleus (red), mammillary body (green), subthalamic nucleus (yellow), ventral tegmental area (beige), nucleus ventrointermediate of thalamus (purple) and pedunculopontine nucleus (carmine).
Focused on the thalamo-subthalamic region, the analysis emphasized the nuclear-based and connectivity-based architectures, particularly landmarks like the subthalamic nucleus (STN), mammillary body (MB), red nucleus (RN), ventrointermediate nucleus of thalamus (Vim), peripeduncular nucleus (PPN), and ventral tegmental area (VTA). DEC maps identified main FT orientations, while tracing provided detailed structural insights on fascicles.
TECHNICAL VALIDATION
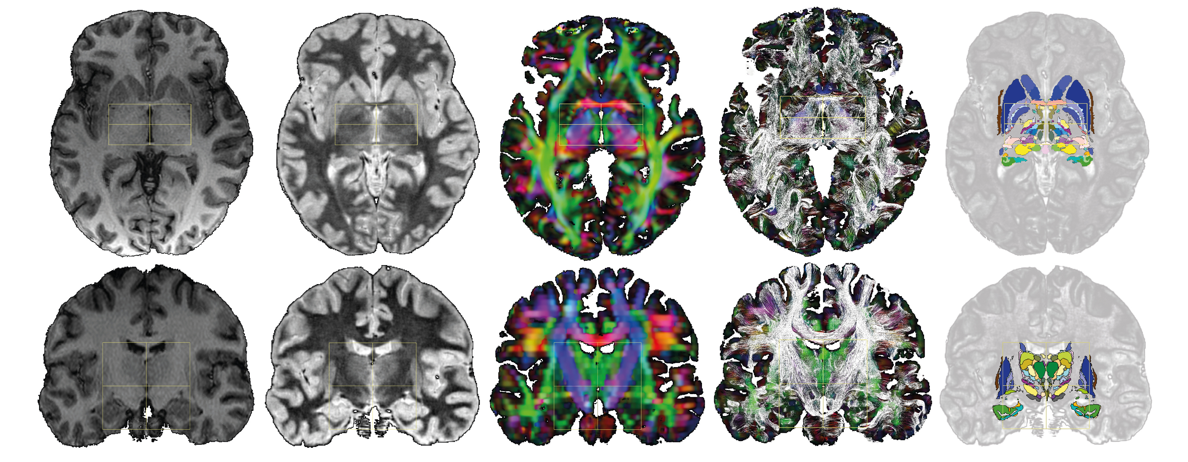
The normalized image datasets (T1, WAIR, and DEC) displayed advanced architectural information, with WAIR images providing much more detail than T1. The DB-MA atlas is designed to be fully compatible with ICBM152 and CIT168 population-based atlases, allowing for flexible atlas combinations and orientations.

Figure 2: DB-MA atlas datasets: left to right, T1, WAIR, DEC, DTI-FT and eMDBA (coloured surfaces); axial horizontal plane through ACPC (top row); coronal plane through the midpoint between AC and PC (bottom row); ACPC system (yellow box), x-width 60 mm, y-length (ACPC length) 30 mm, z-height 60 mm.
Comparison of DTI fiber architecture and microstructure data from microscopy highlighted the relevance of DEC maps for internal capsule topography.
The DB-MA atlas revealed several key features of the deep brain's structural architecture, at large-scale and small scale.
- at large-scale, in the median brain, cingulum, fronto-occipital fascicle, tapetum, corpus callosum, in the internal capsule, cortico-caudal fibers, Türck's fascicle, temporo-thalamic fascicle of Arnold, uncinate fascicle, sensorimotor fibers, inferior longitudinal fascicle, and in the temporal stem, temporo-thalamic fascicle of Arnold, inferior longitudinal fascicle, uncinate fascicle.

Figure 3: Coronal slice through the anterior limb of the internal capsule [coro Alic] (anterior view) showing the cingulum (CIN), corpus callosum FT (CC FT), fronto-occipital fascicle (FOF) and pre-commissural fornix (pCFo); DEC slice with tracing and overlay of eMDBA labels (coloured surfaces; caudate, cau; putamen, put; nucleus accumbens, acc).
- at small-scale, for the thalamo-subthalamic connectivity, e.g. cortico-thalamic and cortico-subthalamic fibers.

Figure 4: DCE (background) with eMDBA labels (A, C, colored surfaces; B, only contours), and tracing along the coro MIP slice: A and B, fascicle of Türck (FT), cortico-caudal FT (Cx FT), cortico-subthalamus FT (CST FT), cortico-thalamus FT (CT FT), cortico-intern-globus-pallidum FT (Cgpi FT), callosal FT (CC FT), fronto occipital fascicle (FOF), nucleus anterolateral of thalamus (AL), caudate (Cau), fornix (Fo), intern pallidum (gpi); nucleus intermediolateral of thalamus (IL), medial nucleus of thalamus (M); subthalamus nucleus (STN), subtantia nigra (SN), ventral tegmental area (VTA), nucleus ventrooral of thalamus (VO), zona incerta (ZI); B, selection of direct cortical connectivity of STN (*) and gpi (#).
DEC maps highlighted different diffusion fields, which didn't align with the nuclear-based architecture. E.g. the DB-MA atlas showed distinct orientations in the thalamo-subthalamic region, highlighting unique structural insights.
USAGE NOTES
Key features of the DB-MA atlas:
- Detailed anatomical labeling: 118 labeled structures, including both nuclei and fiber tracts.
- Spatial normalization: Alignment with the ICBM 152 template for compatibility with other brain atlases.
- Advanced visualization: Visualization of both nuclear and fiber-based architectures.
- DTI-based fiber tracking: Detailed mapping of fiber connections within the DB.
- Open-source access: Freely available for researchers and clinicians: T1, WAIR, DEC image datasets, eMDBA (with dictionary and color coding) and fiber tracing dataset; https://osf.io/6m3jv/).
Potential applications of the DB-MA atlas:
- Neurological research: Understanding the neural basis of brain disorders and developing new treatments.
- Neurosurgery: Improving the accuracy of surgical procedures, such as deep brain stimulation.
- Neuroimaging: Analyzing brain connectivity and function.
Limitations of the DB-MA atlas:
- Single-subject data: The atlas is based on a single healthy subject, limiting its ability to capture interindividual variability.
- DTI limitations: The DTI technique has limitations in resolving complex fiber crossings and capturing subtle variations in fiber orientation.
- Unsettled terminology: The terminology of deep brain structures and fiber tracts is not fully standardized, which can hinder interpretation.

Figure 5: Drawing of thalamo-subthalamic connectivity according to the whole brain FT: Lenticulo-thalamic and lenticulo-subthalamic fibers (LT/ST f), fascicle of Türck (TF), thalamic fascicle of Arnold (ArF), strio-Luysian radiations (sLR), basal forebrain FT (BF FT), frontal FT (F FT), lenticular fascicle (Lf), rubro-subthalamic FT (RSFT within the radiations of the “calotte”, RC), pre lemniscal radiations (Plr), anterior thalamic radiations (ATR), superior thalamic radiations (STR), hyper direct cortico-subthalamic pathway (hdp), cortico-intern-globus-pallidum FT (Cgpi FT), cortico-reticular fibers (CRtf), cortico-caudal FT (Cx FT); hypothalamus (hyp), thalamus (tha), lenticular nucleus (Ln), red nucleus (RN), subthalamic nucleus (STN), ventrointermediate nucleus of thalamus (Vim), olfactive tubercle (Ot), ventral tegmental area (VTA).
Follow the Topic
-
Scientific Data
A peer-reviewed, open-access journal for descriptions of datasets, and research that advances the sharing and reuse of scientific data.
Related Collections
With Collections, you can get published faster and increase your visibility.
Genomics in freshwater and marine science
Publishing Model: Open Access
Deadline: Jul 23, 2026
Genomes of endangered species
Publishing Model: Open Access
Deadline: Jul 01, 2026
Please sign in or register for FREE
If you are a registered user on Research Communities by Springer Nature, please sign in