Filamins in type 2 inflammation in asthma, a matter of balance

In this study, we reveal ASB2α-mediated degradation of filamins A and B as an unexpected mechanism sustaining T helper 2 (Th2) lymphocyte functions and highlight the ASB2α-filamin A/B axis as a novel therapeutic opportunity to rewire Th2 lymphocyte mediated responses in asthma.
Filamins in type 2 inflammation in asthma, a matter of balance
Like

Share this post

Choose a social network to share with, or copy the URL to share elsewhere

This is a representation of how your post may appear on social media. The actual post will vary between social networks

The overall objective of the Ubiquitin Enzymes in Immunity & Disease (Ubi-ID) lab at the Toulouse Institute for Infectious and Inflammatory Diseases (Infinity) is to expoit ubiquitin enzymes as new pharmacologic targets / tools for immune diseases. It is estimated that 20-30% of the current world’s population suffers from one or more allergic disorders representing a rising socioeconomic burden. Asthma is a chronic inflammatory disease of the lower airways that affects near 400 million people worldwide. Despite high diversity of endotypes characteristic of this pathology, half of asthmatic patients present a high Type-2 inflammation. It is well-established that Th2 lymphocytes represent a major source of Type 2 cytokines and are key drivers of asthma pathogenesis because of their myriad effects on both structural and inflammatory cells in the airways. Many of the therapeutic antibodies are targeting Type 2 cytokines and Type 2 cytokine receptors. Because Type 2 immunity helps to maintain immune homeostasis, it will be important to fine tune these therapies to avoid unwanted side effects. A precise understanding of the pathobiology of Type 2 diseases and of the underlying immunological mechanisms is therefore required to pave the way for effective drug development.

We have previously shown that the ASB2α E3 ubiquitin ligase in Th2 lymphocytes negatively regulates anti-tumor immunity in colorectal cancer and that loss of ASB2α in Th2 lymphocytes favors a Type 1 anti-tumor immune response (Spinner et al., Cancer Immunology Research 2019), but the molecular and cellular mechanisms whereby ASB2α exerts its effects to positively regulate Th2 lymphocyte function remained under investigated. In addition, whether ASB2α and its substrates represent prominent targets to mitigate type 2 responses in allergic diseases was unknown. Using unbiased large-scale approaches, we now show that filamins A and B are the only substrates of ASB2α in Th2 lymphocytes and that low levels of filamins A and B confer a specific elongated cell shape conducive to an αVβ3 integrin-dependent dynamic migration.

 

ASB2α-proficient (cyan) and ASB2α-deficient (red) Th2 lymphocytes seeded onto vitronectin-coated slides were imaged by time-lapse microscopy.

Remarkably, genes encoding the αV and β3 integrin subunits and ASB2α harbor cis-regulatory regions that are specifically active in Th2 lymphocytes and belong to the core of Th2-specific genes, indicating a coordinated regulation of ASB2α and αVβ3 integrin expression in Th2 lymphocytes to build an efficient Type 2 response. Accordingly, loss of ASB2α in Th2 lymphocytes reduces their recruitment in inflamed lungs and attenuates airway inflammation.

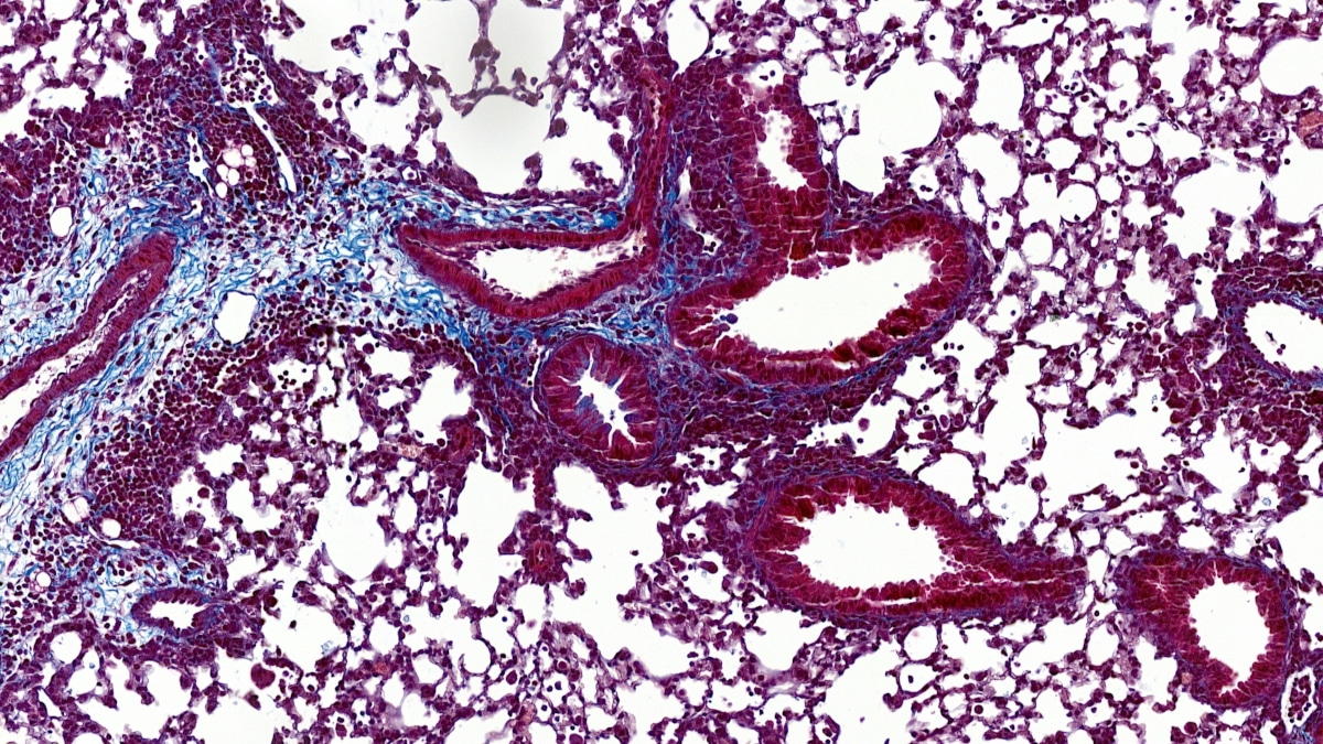
Deletion of ASB2 attenuates airway inflammation in mice. Control and ASB2 knockout mice were submitted to airway inflammation or treated with PBS (-). Compared to control mice, induction of airway inflammation in ASB2 knockout mice resulted in decreased immune cell infiltration determined by hematoxylin-eosin staining of lung sections, decreased remodeling of the airways evaluated by collagen deposits after Masson’s trichrome (MT) staining of lung sections, and decreased mucus secretion assessed after Periodic Acid Schiff’s staining of lung sections.

The innovative aspect of this work is not only to unravel a novel mechanism, the control of Th2 lymphocyte functions by the ASB2α-filamins A/B axis, but also to highlight an original target to mitigate Type 2 responses in asthma. In this context, it is worth mentioning that the ubiquitin system is amenable to pharmacological manipulation with small molecules. Because of their selectivity, E3 ubiquitin ligases are considered as therapeutic targets. Although biologics have recently made exciting strides in healthcare development, small molecules are still in the picture of innovative drug development. In contrast to the costly biologics, small molecules are more economically sustainable and more accessible to patients. Our results could potentially be important for therapeutics and companies interested in developing small compounds to modulate Type 2 immune responses.

Please sign in or register for FREE

If you are a registered user on Research Communities by Springer Nature, please sign in

Follow the Topic

Inflammation
Life Sciences > Biological Sciences > Immunology > Inflammation
Asthma
Life Sciences > Biological Sciences > Immunology > Immunological Disorders > Inflammatory diseases > Asthma
Ubiquitin Ligases
Life Sciences > Biological Sciences > Chemical Biology > Biochemistry > Protein Biochemistry > Proteolysis > Ubiquitin Ligases
Integrin Signalling
Life Sciences > Biological Sciences > Cell Biology > Cell Migration > Integrin Signalling
Cell Migration
Life Sciences > Biological Sciences > Cell Biology > Cell Migration
Adaptive Immunity
Life Sciences > Biological Sciences > Immunology > Adaptive Immunity

Ask the Editor - Immunology, Pathogenesis, Inflammation and Innate Immunity

Got a question for the editor about the complement system in health and disease? Ask it here!

Continue reading announcement

Related Collections

With Collections, you can get published faster and increase your visibility.

Healthy Aging

This collection welcomes submissions based on studying preclinical models, as well as population-wide and clinical studies. Studies that advance our understanding of mechanisms behind healthy aging are also welcomed. Clinical research of interest will include epidemiological studies, observational studies, longitudinal cohort studies, systematic reviews and clinical trials.

Publishing Model: Open Access

Deadline: Jun 01, 2026

Women's Health

A selection of recent articles that highlight issues relevant to the treatment of neurological and psychiatric disorders in women.

Publishing Model: Hybrid

Deadline: Ongoing