From Lab Hurdles to Hope: Pistacia vera L. Extract Tackles Oxidative Stress & Inflammation in Diabetic Rats
Published in Biomedical Research

🔬 What We Found
-
Oral administration of the ethanolic fruit extract (PEE, 100 mg/kg/day) for 6 weeks in diabetic rats restored antioxidant defenses—including CAT, GPx, GSH, and SOD—nearly to normal levels. SpringerLink
-
At the same time, the extract significantly lowered markers of oxidative stress and inflammation: MDA, NO, TNF-α, IL-1β, IL-4, IL-6, and IL-10, and reduced hyperglycemia. SpringerLink
-
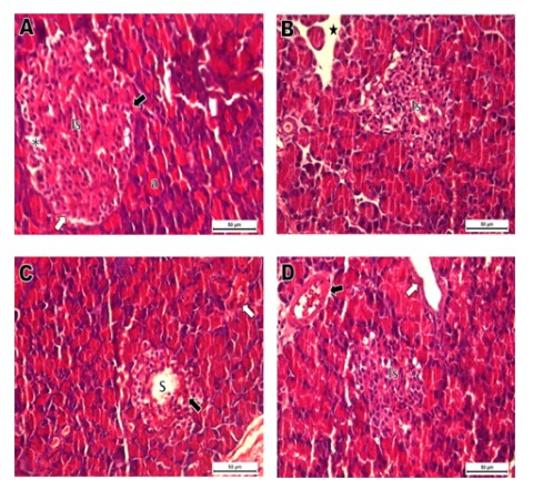
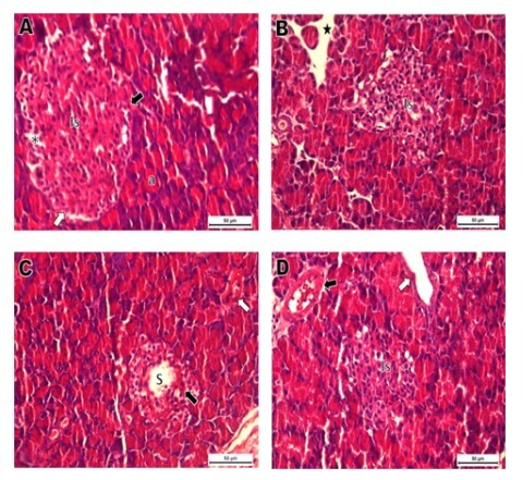
Histological evaluation of pancreatic β-cells revealed improved insulin secretion capacity after treatment—indicating real functional recovery, not just biochemical shifts. SpringerLink
These results support the potential of Pistacia vera as a natural therapeutic agent to mitigate oxidative stress and inflammation in diabetic conditions—and perhaps, with more research, pave the way toward supportive dietary or phytotherapeutic interventions.
The Struggle Behind the Scenes
But arriving at these clean results was anything but smooth.
-
Diet preparation & dosing: Formulating the right ethanolic extract dose, ensuring stability and reproducibility, took many pilot experiments before we settled on 100 mg/kg/day.
-
Animal model challenges: Working with streptozotocin (STZ)-induced diabetic rats meant battling high mortality, variable glycemic responses, and physiological stress—we had to manage many trials with animals lost or excluded.
-
Biochemical and histological work: Running antioxidant assays (CAT, SOD, GPx, GSH), oxidative-stress markers (MDA, NO), and inflammatory cytokines—with tight controls, repeated measures, and long hours in the wet lab—tested both our technical skills and patience.
-
Uncertain data, many dead ends: Some early batches gave noisy or inconsistent data; some histology slides were unusable; we repeated whole experiments more than once. At times it felt endless.
But every failure taught us something—about extraction purity, animal handling, sampling timing, and even ambient lab temperature. And gradually, step by step, we refined the protocol.
Why It Matters
This study shows how a common natural product—Pistacia vera—may offer antioxidant and anti-inflammatory benefits in diabetic pathology. For researchers like us, it reaffirms the value of exploring natural products: the work is hard, but the potential payoff—safe, accessible therapies—is worth the effort.
Reference
Ashry M., Khairallah F., Gadelmawla M. H. A., Atwa A., Darkazanl M., Gadel-Rab A. G., El-nwihy M. E., Zaghloul B. A., Salem A. M., El-Dahlan A. A., Abu Razza K. M., Saad A. M., Abd Elmogith H. E., Askar H. (2025). Efficacy of Pistacia vera L. ethanolic extract in modulating oxidative stress and inflammatory markers in streptozotocin-induced diabetic rats. Comparative Clinical Pathology.
Follow the Topic
-
Comparative Clinical Pathology
This journal provides a source for the publication of reviews, research reports, technical notes and case histories covering all aspects of haematology and clinical chemistry in mammalian species.
Related Collections
With Collections, you can get published faster and increase your visibility.
Methods
Publishing Model: Hybrid
Deadline: Ongoing
Reviews
Publishing Model: Hybrid
Deadline: Ongoing
Please sign in or register for FREE
If you are a registered user on Research Communities by Springer Nature, please sign in