Molecular and functional profiling identifies therapeutically targetable vulnerabilities in plasmablastic lymphoma

Published in Cancer

Molecular and functional profiling identifies therapeutically targetable vulnerabilities in plasmablastic lymphoma
Like

Share this post

Choose a social network to share with, or copy the URL to share elsewhere

This is a representation of how your post may appear on social media. The actual post will vary between social networks

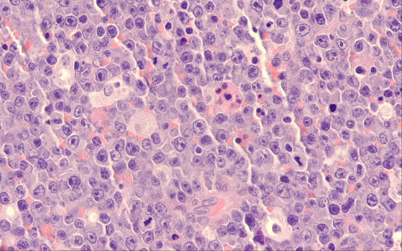
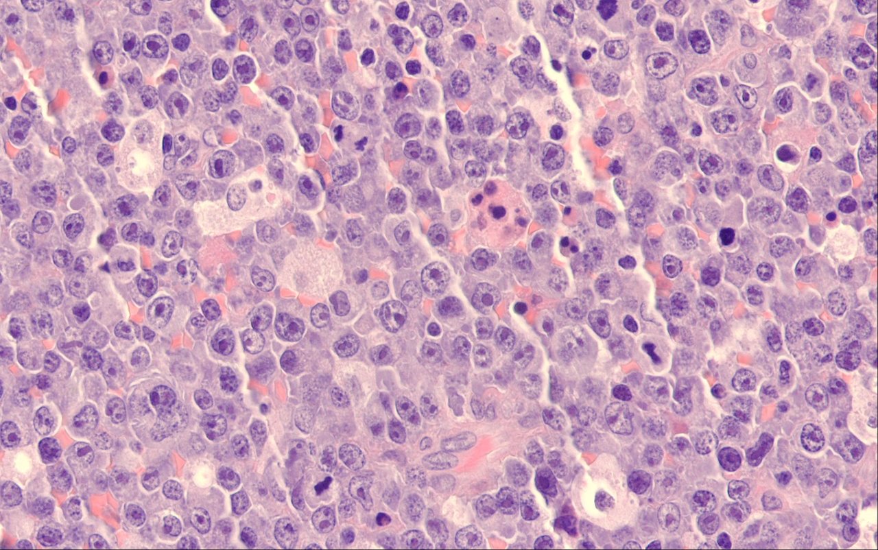
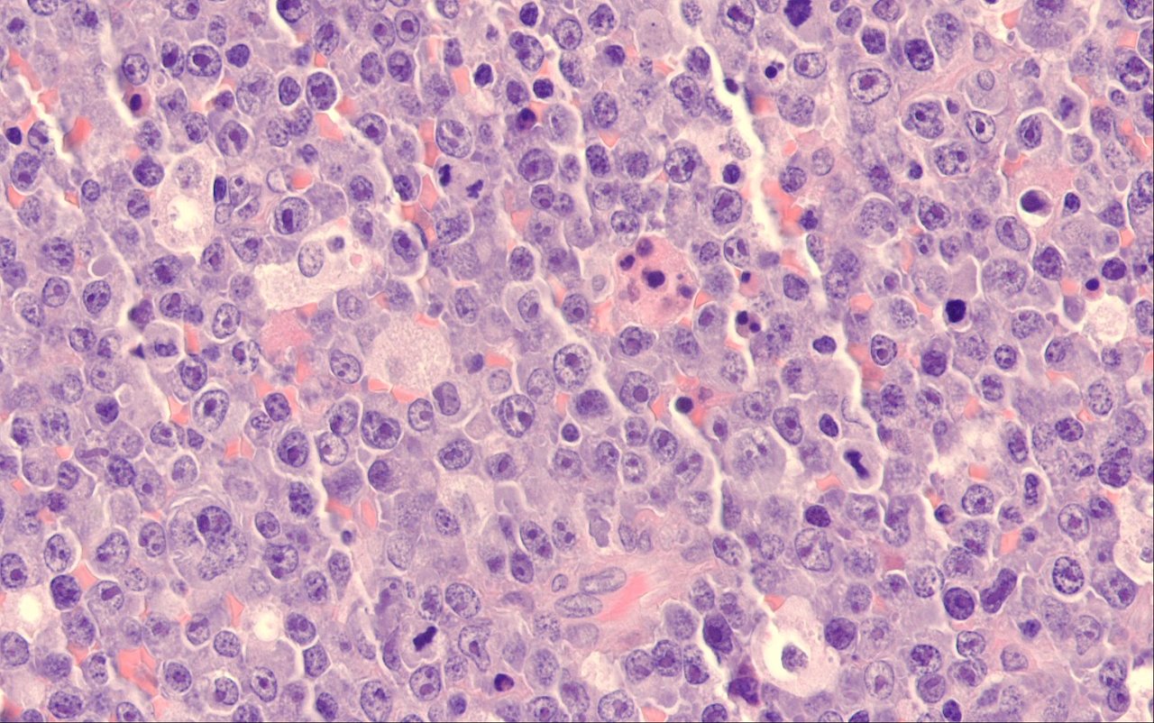
In 2017 as medical doctor in training I met my first patient with the diagnosis of a plasmablastic lymphoma (PBL). PBL represents a rare and very aggressive lymphoma subtype with plasmablastic morphology and a plasmacytically differentiated immunophenotype which belongs to the group of CD20 negative B-cell lymphomas (1, 2). This lymphoma subtype is so rare that only 1-2 PBL patients per year are treated in our lymphoma center at the University Hospital Münster which is one of the main lymphoma centers in Germany.

Our PBL patient did not suffer from any kind of immunosuppression and showed initially an exclusively nodal involvement. I emphasize this since the typical PBL patient is often immunodeficient, e.g. due to HIV infection, and extranodal involvement is frequent with predominant involvement of the oral cavity and the gastrointestinal tract (3-5). According to international guidelines, we initiated an intensified chemotherapy with DA-EPOCH (dose adjusted etoposide, prednisone, vincristine, cyclophosphamide, doxorubicin) and achieved a first complete remission. However, our patient suffered an early relapse and finally succumbed to her disease. Unfortunately, such a lethal course does not represent an exception in clinical practice. A substantial fraction of PBL patients is refractory to initial treatment or show symptoms of relapse after initial response. These patients are characterized by an extremely poor outcome and thus therapy of PBL represents an unmet medical need without any innovative treatment options available so far (5).

Having a closer look at the biology of PBL, it quickly became evident that insights into the molecular pathogenesis of this lymphoma subtype is scarce (6). It has previously been shown that roughly half of PBL cases harbor an MYC translocation and that in two thirds of all cases, the lymphoma cells are latently infected by the Epstein-Barr virus (EBV) (3, 7). Since the plasmablast, a B-cell that has passed the germinal-center reaction on the way to differentiate into a plasma cell, represents the cell-of-origin of PBL, we assumed a close molecular relationship to diffuse large B-cell lymphoma (DLBCL) of the activated B-cell (ABC) subtype and multiple myeloma. However, the precise place of PBL within the landscape of lymphoid malignancies as well as distinct molecular alterations that might be exploited for novel therapeutic strategies were largely unknown.

In the last couple of years, several comprehensive genomic analyses of large DLBCL patient sample cohorts revealed distinct genomic clusters and subgroups that are addicted to different signaling pathways and molecular alterations (8, 9). These analyses provide a precise roadmap for personalized therapeutic strategies based on the molecular addictions. Although this has not led to change of standard therapeutic strategies so far, we are convinced that improvements of therapy of patients with DLBCL will more and more rely on a better understanding of the biology of this disease. To this end, we embarked to perform a comparable, comprehensive molecular characterization of PBL with the aim to obtain a significantly better understanding of the biology and to unravel novel therapeutic targets for more specific and less toxic treatment approaches.

The rareness of PBL represented the first major challenge and only in an international effort with colleagues from 13 European lymphoma centers collaborating, a collection of more than 100 cases with initial diagnosis of PBL could be obtained. In summer 2018, we held a first meeting in Münster during which all collected primary PBL specimens were centrally reviewed by a panel of expert hematopathologists. For 96 primary cases the diagnosis of PBL could be finally confirmed in a central review according to the criteria of the WHO classification 2017 and represented the basis of all following analyses. To our knowledge this is the largest series of primary PBL cases worldwide. Next to morphological, FISH and immunohistochemical analyses, we initiated a genome-wide characterization determining the mutational landscape of PBL by whole exome sequencing and copy number alterations applying the OncoScan platform in more than 80 primary PBL specimens. Notably, our study cohort comprised EBV+ and EBV- PBLs as well as HIV+ and HIV- patients reflecting the heterogeneity of this disease and allowing comparisons of clinically important subgroups.

As main findings, we identified recurrent, actionable genetic alterations affecting the key oncogenic RAS-RAF and JAK-STAT signaling pathways. Overall, roughly half of analyzed PBL cases showed alterations affecting members of the RAS-RAF pathway and 35% of cases harbored mutations of genes encoding components of the JAK-STAT pathway. Our copy number analyses identified amongst others recurrent focal amplification of 6p25.3 containing IRF4 as putative cancer candidate gene in roughly 30% of analyzed PBL cases. Further functional validation confirmed the therapeutic potential of targeting the JAK-STAT network and IRF4 signaling in a model of PBL.

Our project represents a successful example of an international and interdisciplinary effort to obtain sufficient primary cases of a rare disease to significantly improve the understanding of its molecular pathogenesis. We here identify previously unknown molecular dependencies that might guide targeted therapeutic approaches of affected patients in the near future. However, only the first step has been made and much work remains to be done until new therapeutic strategies change current clinical practice. Now we need to test our novel hypothesis in clinical trials. However, recruitment of sufficient PBL patients will be extremely challenging and again only realizable in a major international effort.

References:

  1. Delecluse HJ, Anagnostopoulos I, Dallenbach F, Hummel M, Marafioti T, Schneider U, et al. Plasmablastic lymphomas of the oral cavity: a new entity associated with the human immunodeficiency virus infection. Blood. 1997;89(4):1413-20.
  2. Swerdlow SC, E; Harris NL; Jaffe ES; Pileri SA; Stein H; Thiele J. WHO Classification of Tumours of Haematopoietic and Lymphoid Tissues. Revised Fourth Edition. 2017.
  3. Morscio J, Dierickx D, Nijs J, Verhoef G, Bittoun E, Vanoeteren X, et al. Clinicopathologic comparison of plasmablastic lymphoma in HIV-positive, immunocompetent, and posttransplant patients: single-center series of 25 cases and meta-analysis of 277 reported cases. The American journal of surgical pathology. 2014;38(7):875-86.
  4. Castillo JJ, Furman M, Beltran BE, Bibas M, Bower M, Chen W, et al. Human immunodeficiency virus-associated plasmablastic lymphoma: poor prognosis in the era of highly active antiretroviral therapy. Cancer. 2012;118(21):5270-7.
  5. Tchernonog E, Faurie P, Coppo P, Monjanel H, Bonnet A, Algarte Genin M, et al. Clinical characteristics and prognostic factors of plasmablastic lymphoma patients: analysis of 135 patients from the LYSA group. Annals of oncology : official journal of the European Society for Medical Oncology. 2017;28(4):843-8.
  6. Castillo JJ, Bibas M, Miranda RN. The biology and treatment of plasmablastic lymphoma. Blood. 2015;125(15):2323-30.
  7. Valera A, Balague O, Colomo L, Martinez A, Delabie J, Taddesse-Heath L, et al. IG/MYC rearrangements are the main cytogenetic alteration in plasmablastic lymphomas. The American journal of surgical pathology. 2010;34(11):1686-94.
  8. Chapuy B, Stewart C, Dunford AJ, Kim J, Kamburov A, Redd RA, et al. Molecular subtypes of diffuse large B cell lymphoma are associated with distinct pathogenic mechanisms and outcomes. Nature medicine. 2018;24(5):679-90.
  9. Schmitz R, Wright GW, Huang DW, Johnson CA, Phelan JD, Wang JQ, et al. Genetics and Pathogenesis of Diffuse Large B-Cell Lymphoma. The New England journal of medicine. 2018;378(15):1396-407.

 

Please sign in or register for FREE

If you are a registered user on Research Communities by Springer Nature, please sign in

Follow the Topic

Cancer Biology
Life Sciences > Biological Sciences > Cancer Biology

Related Collections

With Collections, you can get published faster and increase your visibility.

Women's Health

A selection of recent articles that highlight issues relevant to the treatment of neurological and psychiatric disorders in women.

Publishing Model: Hybrid

Deadline: Ongoing

Biosensing

With this cross-journal Collection, the editors of Communications Biology, Nature Biomedical Engineering, Nature Sensors, Nature Communications, and Scientific Reports welcome the submission of primary research Articles focusing on the development of engineered biosensing devices with the potential to be applied in biomedical research and in the management of disease conditions.

Publishing Model: Hybrid

Deadline: Jun 30, 2026