Novel poorly differentiated endometrial cancer mouse model

Published in Cancer

Novel poorly differentiated endometrial cancer mouse model
Like

Share this post

Choose a social network to share with, or copy the URL to share elsewhere

This is a representation of how your post may appear on social media. The actual post will vary between social networks

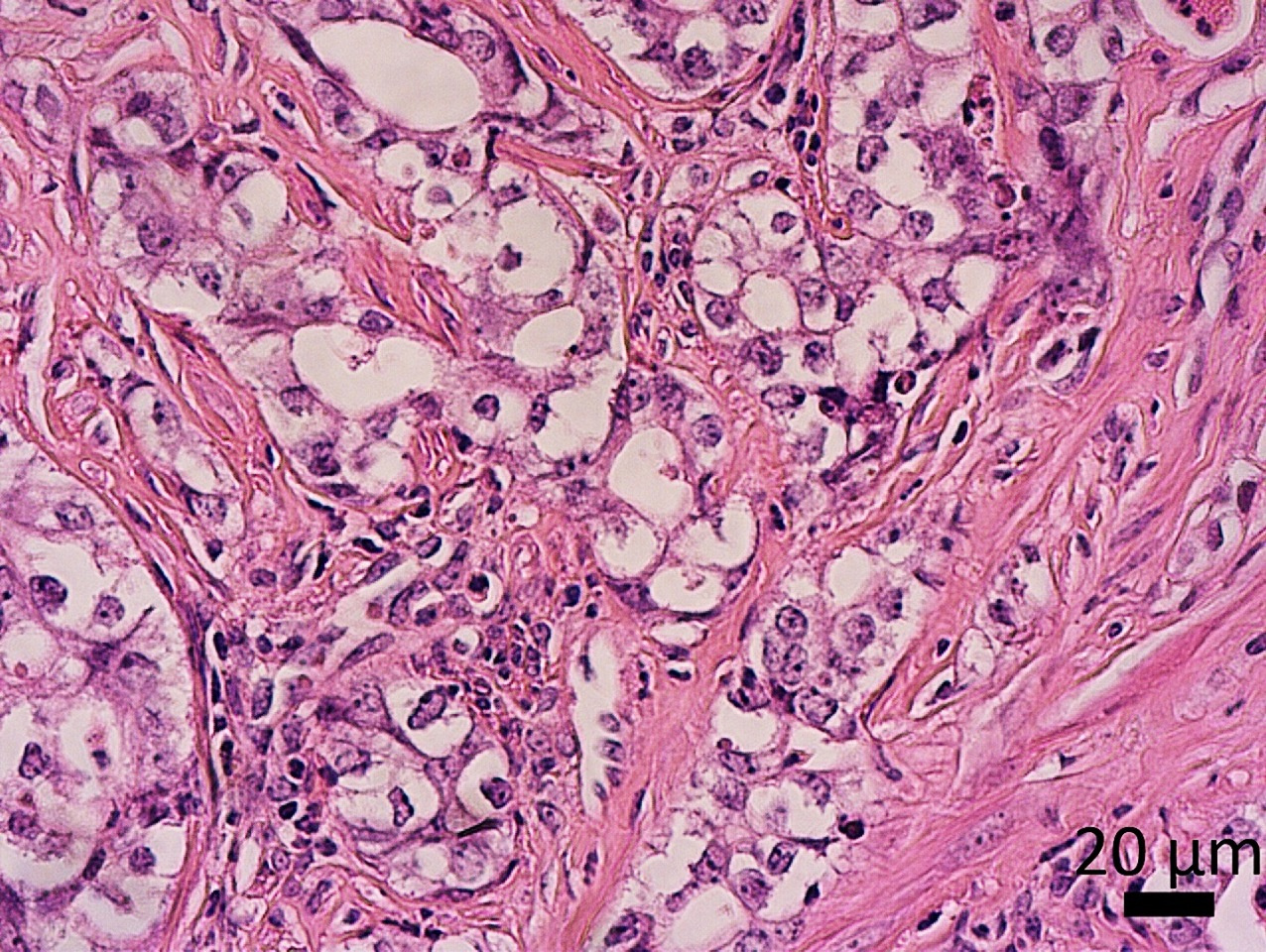
Endometrial cancer is a common malignancy that affects 1 out of every 38 women in the United States. Fortunately, most women with endometrial cancer have a low-grade (well-differentiated) disease and are typically cured with a simple hysterectomy. Unfortunately, the prognosis for women with aggressive forms of the disease is dismal. Although high-risk histologic endometrial cancers such as poorly differentiated endometrioid, serous, or clear cell carcinoma account for 15% of cases, they account for nearly 50% of deaths. High tumor grade is the most significant risk factor for subsequent death from the disease. A significant challenge is the lack of high-fidelity preclinical models.

Mouse models with uterine loss of the tumor suppressor Pten, exhibit well-differentiated endometrial cancer. Mutations in DICER1, a ribonuclease III required for miRNA synthesis, are enriched in endometrial cancers from women over other cancers. Further, DICER1 expression was decreased in poor prognosis tumors, including high-grade, recurrent, or invasive endometrial cancers. Thus, we hypothesized that deletion of Dicer with deletion of Pten in the mouse uterus would lead to high-risk histologic endometrial carcinomas.

To investigate the hypothesis, we created both in vivo (mouse) and in vitro (human endometrial cancer cell line) model systems.

dcKO [uterine specific deletion of Pten and Dicer1 (Pgrcre; Ptenflox/flox; Dicer1flox/flox, dcKO] mice exhibited:

  • Bulky endometrial tumors
  • Poorly differentiated adenocarcinoma
  • Invasive disease with metastasis
  • Malignant cells with clear-cell features
  • Expression of clear-cell adenocarcinoma markers (Napsin A and HNF1B)
  • Steroid hormone-independent growth
  • Progesterone resistant phenotype
  • Upregulation of ephrin receptor signaling pathways, hedgehog signaling, and prostaglandin synthesis
  • Downregulation of miRNA molecules including let-7 and miR-16 family members
  • Upregulation of let-7 and miR-16-target genes, similar to TCGA data from human DICER1-mutant endometrial tumors 

DICER1-/- Ishikawa cells exhibited:

  • Loss of DICER1 protein
  • A decline in CDH1 expression, consistent with the more poorly differentiated phenotype
  • Increased expression of clear-cell adenocarcinoma markers (Napsin A and HNF1B)
  • Upregulation of ephrin receptor signaling pathways
  • Downregulation of miRNA molecules including let-7 and miR-16 family members
  • Upregulation of let-7 and miR-16-target genes, similar to TCGA data from human DICER1-mutant endometrial tumors

This mouse model represents a first-of-its-kind model of poorly differentiated endometrial adenocarcinoma that develops from an atrophic endometrium caused by loss of Dicer1. This model recapitulates important steroid hormone and molecular features of human disease. We hope that these novel models will allow future studies into the rarer forms of endometrial cancer but also the development of novel therapies.

Please sign in or register for FREE

If you are a registered user on Research Communities by Springer Nature, please sign in

Go to the profile of Trent W Nichols MD
about 5 years ago

An interesting animal (mouse) model of endometrial carcinosarcoma poorly differentiated which has a poor prognosis in those diagnosed with it, which needs novel therapy! We at Sharon-Ann Nichols Foundation for Endometrial Cancer.org  plan to do that!
Trent W Nichols MD