Pathological features of 11337 patients with primary ductal carcinoma in situ (DCIS) and subsequent events – results from the UK Sloane project
Published in Cancer
There are many unanswered questions about ductal carcinoma in situ (DCIS) of the breast including consistency in diagnosis, natural history, optimal management and length of follow up. One of the challenges in answering those important questions is the collection of comprehensive diagnostic and patient outcome data.
The Sloane project is a UK national collection of screen detected DCIS and atypia representing a third of all screen detected DCIS diagnosed between 2003 and 2012 with comprehensive pathology, imaging, surgical, radiology and outcome data (www.gov.uk/phe/sloane-project). All contributing units followed the strict criteria of the UK National Health Service Breast Screening Programme (NHSBSP) Guidelines (1).
The project is named after Prof John Sloane, a pioneer UK breast pathologist who died suddenly at his office in 2000. Joining Sarah, Alastair and the excellent multidisciplinary Sloane Steering Group was of sentimental value to me as Prof Sloane was my PhD supervisor who initiated my work and interest in breast pathology and markers of progression to breast cancer.

Professor John Sloane
Management of DCIS is moving to “less is more” with several ongoing trials to reduce/omit surgical intervention in low risk DCIS (2). Those strategies rely on accurate classification of DCIS into low vs high risk by the reporting pathologists. Furthermore, the handling and reporting of specimens to assess the DCIS size and adequacy of surgical excision inform further management and follow up of those patients, hence the importance of understanding the pathological trends of DCIS and their correlation with patient outcome.
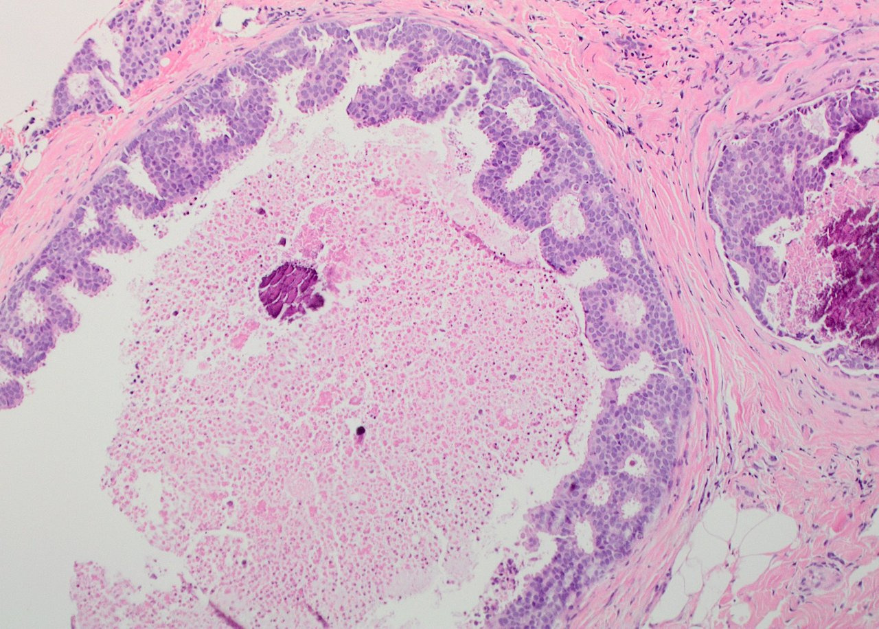
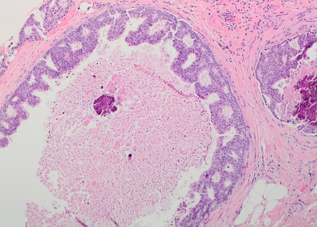
In the Sloane project patients with screen detected DCIS, trends in pathology features (cytonuclear grade, necrosis, size …etc) over a decade were examined and compared with each other and with outcome data (up to December 2016) for subsequent events developing 6 months or more following a DCIS diagnosis for patients in England.
Key findings:

-The Largest proportion of DCIS (64%) was of high nuclear grade.
-An increase in high grade DCIS (60-65%) and a decrease in low grade DCIS (10% to 6%) were noted. This is important on recruiting low grade lesions into active surveillance trials.
-Most frequent size (54%) was less than 20mm with a steady increase in mean size from 21.4mm to 24.1mm over the study period. This is likely a reflection of the advanced in imaging and through pathology sampling following the updated pathology guidelines.
-Consistent with other studies worldwide, some histological parameters; such as grading (3,4), comedo necrosis and microinvasion suffer from low consistency among pathologists.
-Despite the changes in guidelines of adequate excision margin status (5), reassuringly only 6% of lesions had a margin of less than 1mm.
-the rate of subsequent events was generally low. Of 9,191 women, 1098 (12%) re-presented with DCIS or invasive malignancy in the ipsilateral (7%) or contralateral breast (5%) and 46 (0.5%) patients developed distant recurrence.
-Rather unexpectedly, the proportion of patients with high grade DCIS who experienced ipsilateral recurrence (6.6%) was lower than for intermediate (8.2%) and low grade DCIS (8.4%). Patients with high grade DCIS are more likely to undergo mastectomy and radiotherapy thus reducing subsequent events.
- The protective effect of radiotherapy is confirmed on all DCIS grades but is particularly important in high grade disease.
- DCIS recurrences occurred in the first 5 years following DCIS diagnosis. Invasive carcinoma continued to develop after 10 years supporting the need for a long patient follow up following DCIS diagnosis.
References
- NHS Cancer Screening Programmes and the Royal College of Pathologists. Pathology reporting of breast disease in surgical excision specimens incorporating the dataset for histological reporting of breast cancer, (2016).
- Toss M, Miligy I, Thompson AM, Khout H, Green AR, Ellis IO et al. Current trials to reduce surgical intervention in ductal carcinoma in situ of the breast: Critical review. Breast 35: 151-156 (2017).
- van Dooijeweert C, van Diest PJ, Willems SM, Kuijpers C, Overbeek LIH, Deckers IAG. Significant inter- and intra-laboratory variation in grading of ductal carcinoma in situ of the breast: a nationwide study of 4901 patients in the Netherlands. Breast cancer research and treatment 174(2): 479-488 (2019).
- Dano H, Altinay S, Arnould L, Bletard N, Colpaert C, Dedeurwaerdere F et al. Interobserver variability in upfront dichotomous histopathological assessment of ductal carcinoma in situ of the breast: the DCISion study. Mod Pathol 33(3): 354-366 (2019).
- National Institute for Health and Care Excellence. Early and locally advanced breast cancer: diagnosis and management. (NICE guideline [NG101] 2018)
Follow the Topic
-
British Journal of Cancer
This journal is devoted to publishing cutting edge discovery, translational and clinical cancer research across the broad spectrum of oncology.
Please sign in or register for FREE
If you are a registered user on Research Communities by Springer Nature, please sign in