SIMPLI: Single-cell Identification from MultiPLexed Images
Published in Cancer
SIMPLI: Single-cell Identification from MultiPLexed Images
Highly multiplexed image analysis

Highly-multiplexed imaging allows the investigation of biological tissues at single-cell resolution while preserving spatial information at the sub-cellular level. However, current tools for the analysis of high dimensional images are technology-specific or require the user to switch between several software tools. This hinders the scalability and reproducibility of biological images analysis and constitutes a significant entry barrier for users with limited computational expertise.
To address these issues we developed SIMPLI (Single-cell Identification from MultiPlexed Images), a highly customizable technology-agnostic pipeline covering all steps of multiplexed imaging data analysis. SIMPLI performs raw image processing, cell segmentation, cell phenotyping and spatial analysis as well as a cell-independent quantifications of areas positive for user specified combinations of markers at the pixel level. All steps of the analysis are optional and highly customizable and at each step SIMPLI produces multiple tabular and graphical outputs.
Image analysis made simple
SIMPLI is a highly customizable tool, easy to configure through simple metadata file easily editable with any plain text or spreadsheet editor. SIMPLI is a highly scalable tool which can run on desktop computers as well as high-performance computing environments. SIMPLI takes full advantage of the available computing resources by automatically managing workflow parallelization. This is achieved through the implementation of SIMPLI as a nextflow (https://www.nextflow.io/) pipeline containerized with Singularity (https://sylabs.io/). This implementation not only makes SIMPLI easily scalable to large datasets but also makes its workflow highly portable and reproducible thanks to its automatic workflow management.
Use cases
In our study (https://doi.org/10.1038/s41467-022-28470-x) we tested SIMPLI in four use cases:
-
Imaging mass cytometry quantification of secreted and cell-associated IgA in human colon
-
Localisation of T follicular helper cells in imaging mass cytometry images of a germinal center
-
Multiplex Immunofluorescence analysis of spatially resolved cell-cell interactions in rectal cance
-
Comparison of cell distances in CODEX images of colorectal cancer subtypes
In this post we present a further use case covering the example dataset provided with SIMPLI.
Example Workflow
which consists of two Imaging Mass Cytometry derived images of normal colon mucosa. The images are derived from the ablation of two ROIs from two different FFPE blocks from two individuals who underwent surgery for the removal of colorectal cancers. For more details on the example dataset and the associated analysis workflow see the example-workflow page (https://github.com/ciccalab/SIMPLI/wiki/Example-Workflow).
Cell Type Identification
In this step SIMPLI identifies cells belonging to different populations or tissue compartments according to user defined masks. In this use case SIMPLI identified T Cells (Magenta), B Cells (violet), Macrophages (blu), Dendritic cells (green) and epithelial cells (white), shown as outlines to allow an easy examination of their position in the tissue.
Cell Phenotyping
SIMPLI can then perform a more in depth phenotyping of cells using both unsupervised clustering and expression thresholding. In our example we showcase the unsupervised clustering of T cells, here represented as a UMAP projection coulured by cluster and according to CD45RA expression.
Spatial Analysis
After cell type identification and phenotyping SIMPLI can perform two types of spatial analysis.
- Homotypic spatial analysis: the identification of high density clusters of cells of a given phenotypes.
- Heterotypic spatial analysis: meadistribution between different cell phenotypes.
In our example we showcase first the identification of high density clusters of proliferating epithelial cells which as expected are located at the bottom of the epithelial crypts.

We then calculated the distribution of minimum distances between the proliferating epithelial cells and macrophages, showing that most of these cells are located within a 50μm distance of each other.
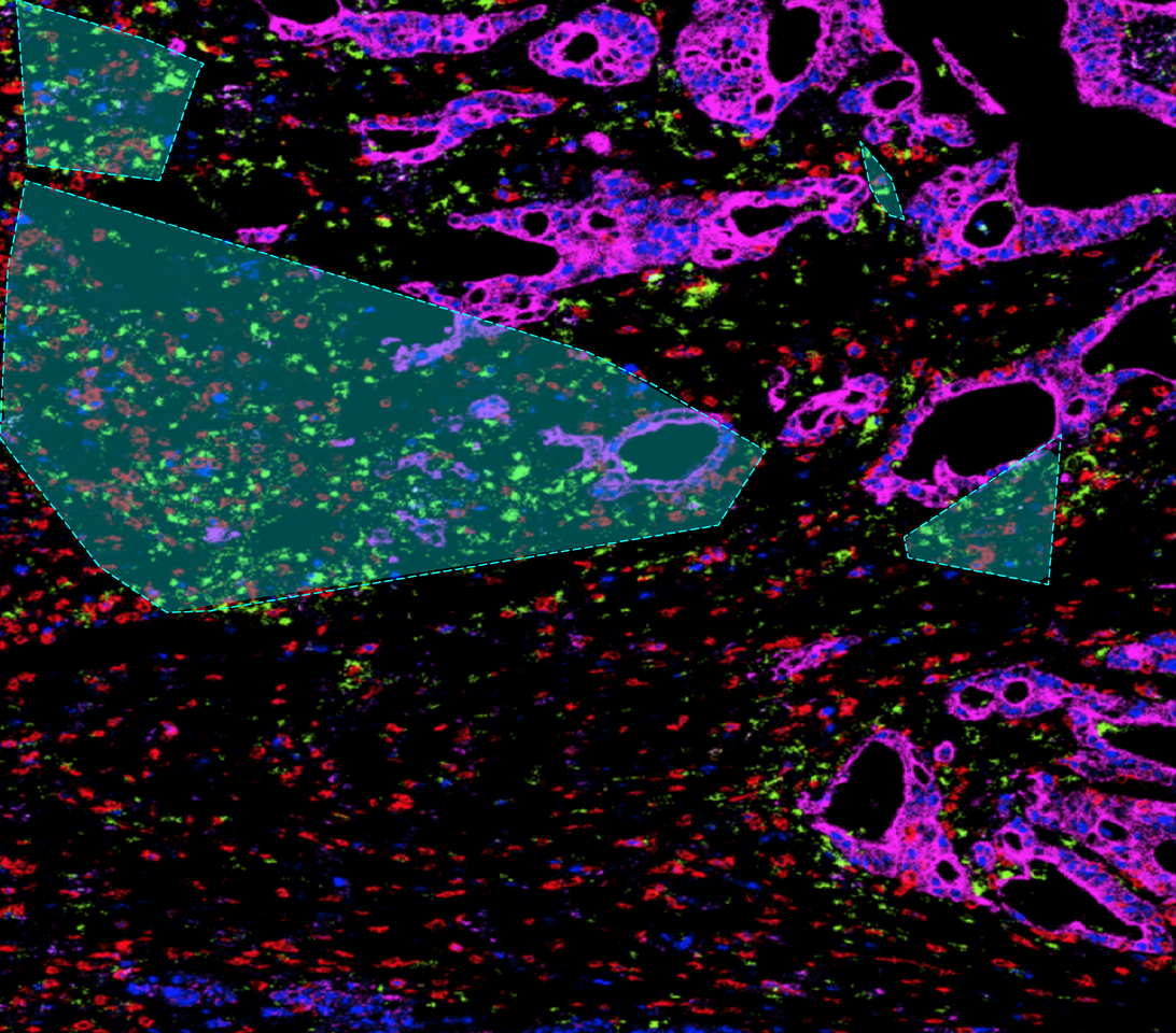
Pixel-based analysis
The pixel-based approach implemented in SIMPLI enables the quantification of pixels which are positive for a specific marker or combination of markers. These marker-positive areas can be normalized over the area of the whole image, or the areas of an image mask defined by a the combination of any of the input images with logical operators.
Quick start
SIMPLI is an open-source software available at: https://github.com/ciccalab/SIMPLI with a dedicated wiki containing an extensive documentation: https://github.com/ciccalab/SIMPLI/wiki.
To try SIMPLI:
- Install Singularity
- Install Nextflow
- Run:
nextflow run ciccalab/SIMPLI -profile test
This will run SIMPLI on minimal example dataset distributed in this repository.
For more details on the example dataset and the associated analysis workflow see the example-workflow page.
Follow the Topic
-
Nature Communications
An open access, multidisciplinary journal dedicated to publishing high-quality research in all areas of the biological, health, physical, chemical and Earth sciences.
Related Collections
With Collections, you can get published faster and increase your visibility.
Women's Health
Publishing Model: Hybrid
Deadline: Ongoing
Advances in neurodegenerative diseases
Publishing Model: Hybrid
Deadline: Mar 24, 2026


