How it started?
When I joined Prof. Thierry Levade’s group in 2012, I started working with Dr. Nathalie Andrieu on the role Sphingosine Kinase 1 (SK1) plays in anticancer immune responses. We first demonstrated that melanoma SK1 plays a key role in the phenotypic shift of the tumor macrophages in M2 (1). Then, we investigated the role of SK1 in immune checkpoint inhibitor (ICI) resistance.
Hypothesis and Challenges
Cutaneous Melanoma represents the main cause of death among malignant skin neoplasms. ICI, such as anti-PD-1 and anti-CTLA-4, are successful only in a subset of metastatic melanoma patients due to primary or adaptive resistance mechanisms. Abnormal lipid profiles are often associated with an altered metabolic phenotype in tumor cells, which is a hallmark of cancer. The objective of our team is to investigate how dysregulation of ceramide metabolism (also known as sphingolipid metabolism) contributes to melanoma. Our ultimate goal is to reprogram this metabolism to improve therapeutic approach and outcome.
Main results
For the first time, we demonstrated that:
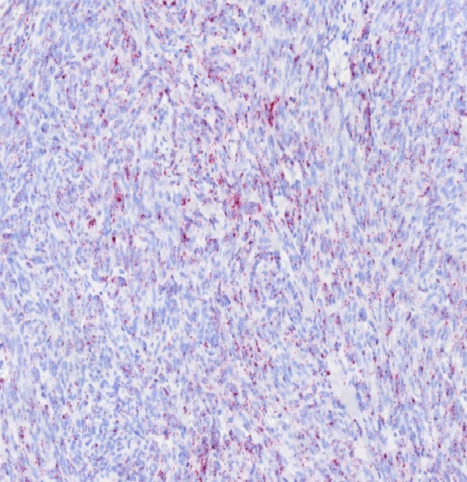
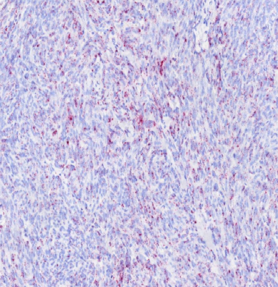
- Increased expression of SK1 in tumor cells is significantly associated with shorter survival in metastatic melanoma patients treated with anti-PD-1.
- SK1 expression is associated with an immunosuppressive signature in tumors from patients with metastatic melanoma.
- Targeting SK1 markedly enhances responses to anti-CTLA-4 and anti-PD-1 in murine models of melanoma, breast and colon cancer (epigenetic and pharmacological approaches).
- Targeting SK1 decreases the expression of multiple immunosuppressive factors (PGE2, IL-10, TGF-β, CCL17 and CCL22) in mice with melanoma.
- Targeting SK1 substantially limits regulatory T cell (Treg) accumulation and enhanced CD8 T cell infiltration in murine tumors.
In conclusion, this study provides the first evidence that tumor SK1 behaves as an immune escape lipid kinase, leading to an increased expression of immunosuppressive factors in the tumor microenvironment and impairing the response to ICI treatment. Hence, the relative abundance of SK1 within tumors could be highly predictive of the response to ICI therapy.

Future research
The present study has formed a strong scientific rationale to carry out a prospective clinical study, IMMUSPHINX (NCT03627026), assessing predictive biomarkers of resistance to Nivolumab +/- Ipilimumab in advanced melanoma patients (see https://clinicaltrials.gov/).
We believe our study provides key and original findings in the field of cancer immunotherapy. The present work offers innovative mechanistic insights into the role of a lipid kinase in the modulation of ICI resistance.
References
1. Mrad M, et al. Downregulation of sphingosine kinase-1 induces protective tumor immunity by promoting M1 macrophage response in melanoma. Oncotarget 7, 71873-71886 (2016).
Follow the Topic
-
Nature Communications
An open access, multidisciplinary journal dedicated to publishing high-quality research in all areas of the biological, health, physical, chemical and Earth sciences.
Related Collections
With Collections, you can get published faster and increase your visibility.
Women's Health
Publishing Model: Hybrid
Deadline: Ongoing
Advances in neurodegenerative diseases
Publishing Model: Hybrid
Deadline: Mar 24, 2026
Please sign in or register for FREE
If you are a registered user on Research Communities by Springer Nature, please sign in