Uncovering the trajectories of axonal fiber bundles to augment the diagnostic precision to detect retinal nerve fiber layer defects in glaucoma

Reliable detection of retinal nerve fiber layer (RNFL) defects is challenging in clinical practice. We developed RNFL Optical Texture Analysis (ROTA) to unveil the trajectories of individual axonal fiber bundles and discern RNFL defects in glaucoma with high sensitivity and specificity.
Uncovering the trajectories of axonal fiber bundles to augment the diagnostic precision to detect retinal nerve fiber layer defects in glaucoma
Like

Share this post

Choose a social network to share with, or copy the URL to share elsewhere

This is a representation of how your post may appear on social media. The actual post will vary between social networks

Why early diagnosis of glaucoma is important? Glaucoma, a chronic progressive optic neuropathy, is the most common neurodegenerative disease of the central nervous system. While 55 million people have dementia worldwide in which Alzheimer’s disease may contribute to 60-70% of cases,1 76 million people live with glaucoma.2,3 Characterized by chronic degeneration of retinal ganglion cells, patients with glaucoma often are not aware of progressive decline in vision until the late stages when the visual loss becomes permanent. Early diagnosis of glaucoma for therapeutic intervention is therefore critical to curb glaucoma blindness.  

Global prevalence: glaucoma vs. dementia

What is the current standard to detect glaucoma?  Although clinical evaluation of the optic disc remains relevant to the diagnostic evaluation of glaucoma, the current standard to detect optic nerve degeneration is predicated on the measurement of RNFL thickness using optical coherence tomography (OCT) – a non-contact digital imaging technology that allows optical dissection of the retina. The RNFL represents the inner layer of the retina and contains unmyelinated axons of retinal ganglion cells. With high-speed OCT, the RNFL can be imaged over a wide field of the retina, which has facilitated topographic analysis of the distribution of the RNFL.

Optical coherence tomography imaging of the retinal nerve fiber layer

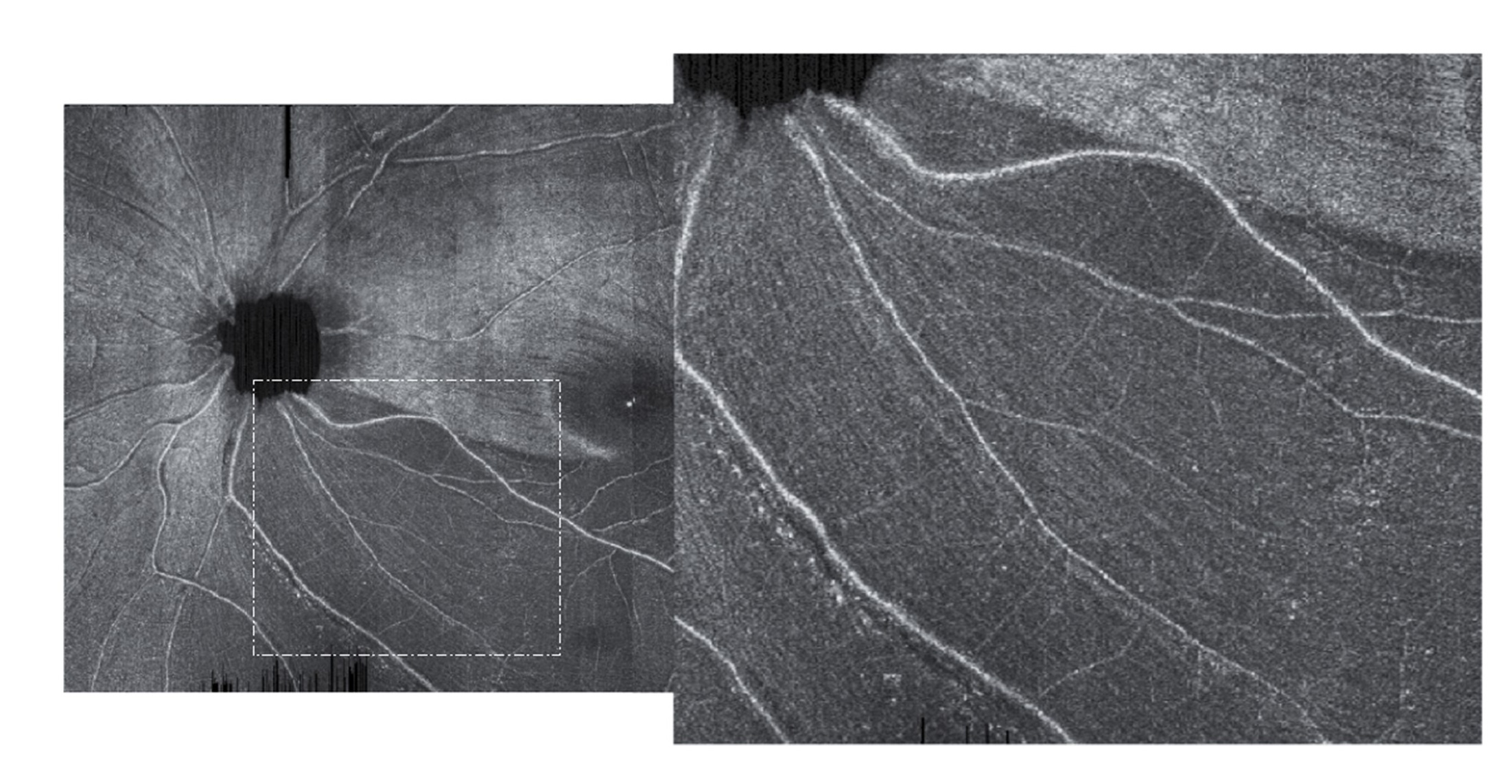
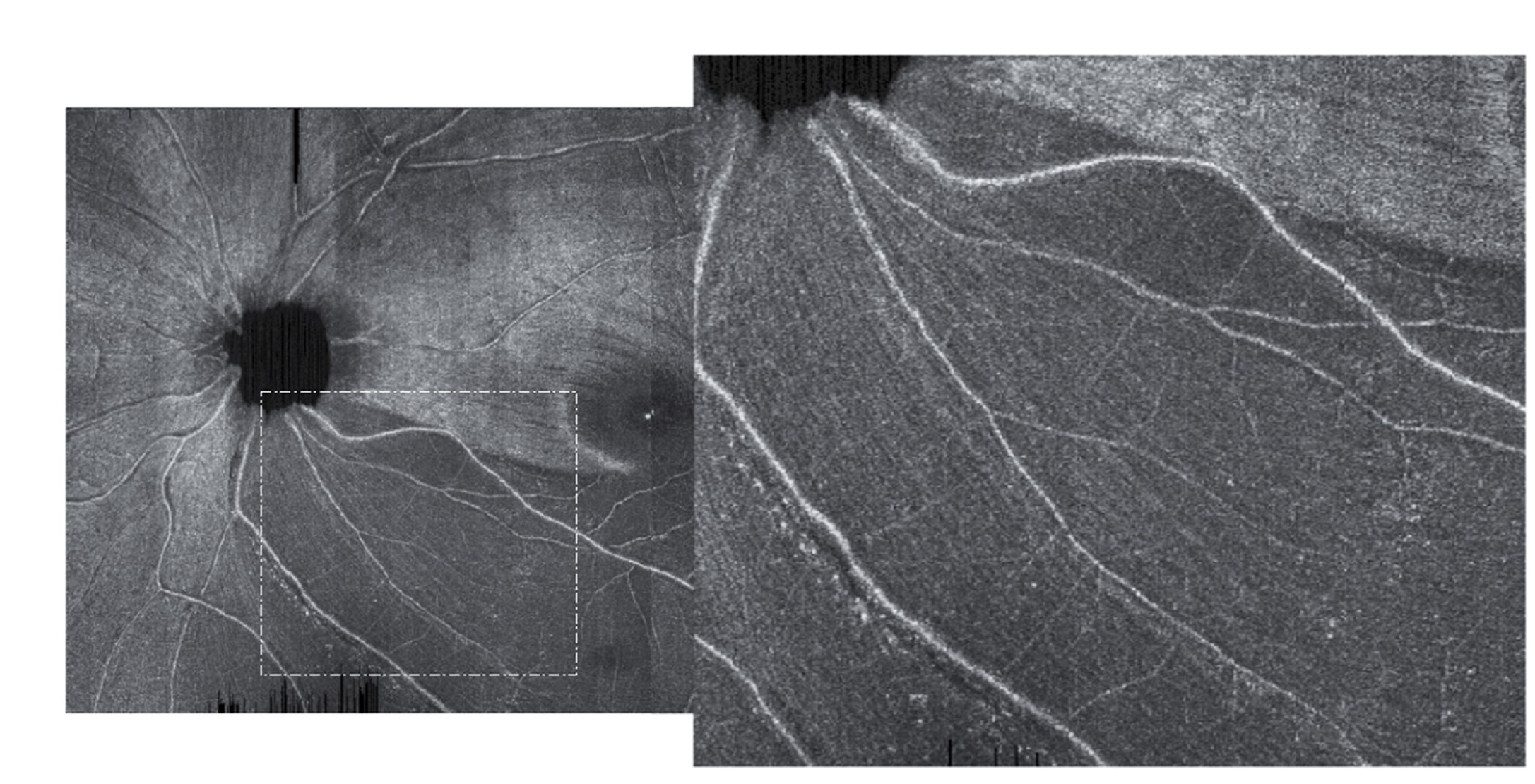
What motivated us to develop ROTA? Whereas OCT measurement of RNFL thickness has a relatively low test-retest variability, false negatives and false positives are common, which in part is attributed to the wide physiological variations in the distribution of the retinal axonal fiber bundles. The sensitivities of best-performing OCT parameters for detection of RNFL thickness abnormalities have been shown to be 65%-75% at specificities of 90%-95%.4 In eyes with high myopia, the specificity of OCT RNFL thickness analysis has been about 30%.5 The fact that individual axonal fiber bundles are not discernible from conventional RNFL thickness analysis has compromised the diagnostic performance of OCT to detect glaucoma. We have been studying the application of OCT for RNFL analysis for more than 10 years. The staggering challenges in discerning RNFL defects in early glaucoma motivated our team to engineer ROTA, or RNFL Optical Texture Analysis (ROTA). The methodology of ROTA and the clinical validation study were published in the March issue of Nature Biomedical Engineering.6 Just as the retinal capillary network embedded in the OCT scans can be visualized via OCT angiography analysis, the trajectorial details of individual axonal fiber bundles can be unveiled via extracting the axonal fiber bundles optical texture signature from standard OCT scans. The axonal fiber bundles exhibit a higher reflectance relative to the surrounding blood vessels and connective tissues because of the increased scattering of the axonal cytoskeleton. Applying a series of non-linear transformation of the normalized axonal fiber bundle reflectance signal, the trajectories of individual axonal fiber bundles can be uncovered, which enables intuitive visualization of RNFL defects that would otherwise be missed by conventional OCT analysis and red-free photography.

ROTA extracts the optical texture of axonal fiber bundles

Does ROTA make a difference in clinical care?  To validate the performance of ROTA, we examined a consecutive series of 363 patients with glaucoma and 177 healthy participants to compare the diagnostic performance of conventional OCT analysis versus ROTA for detection of glaucoma. ROTA attained significantly higher specificity and sensitivity to detect RNFL defects in early glaucoma compared with RNFL thickness and ganglion cell inner plexiform layer (GCIPL) thickness analysis. Furthermore, ROTA was able to unravel specific patterns of RNFL loss in compressive optic neuropathy, optic neuritis, and non-arteritic anterior ischemic optic neuropathy that are difficult to determine from red-free photography or RNFL/GCIPL thickness analysis. Implementing ROTA in clinical care can augment the diagnostic capacity to identify patients with early disease for treatment.

Diagnostic performance for detection of early glaucoma: ROTA vs. conventional OCT RNFL analysis

Future development  ROTA can be applied in all commercially available OCT models; we are working with a number of OCT industries to deploy ROTA in clinical care. With high-resolution, high-speed OCT scans, it is feasible to visualize the fine details of the axonal fiber bundles within and beyond the macula, as well as over the peripheral retina. We believe ROTA can reset the paradigm of glaucoma diagnostics, enabling specialists and non-specialists alike to diagnose and monitor glaucoma and non-glaucomatous optic neuropathies with high precision. 

High resolution ROTA

References

  1. World Health Organization. Dementia: A public health priority. Geneva: World Health Organization; 2021. available at https://www.who.int/news-room/fact-sheets/detail/dementia (accessed 8 March 2021).
  2. Flaxman SR, Bourne RRA, Resnikoff S, et al. Global causes of blindness and distance vision impairment 1990-2020: a systematic review and meta-analysis. Lancet Glob Health. 2017;5:e1221-e1234.
  3. Quigley HA, Broman AT. The number of people with glaucoma worldwide in 2010 and 2020. Br J Ophthalmol. 2006;90:262-7.
  4. Oddone F, Lucenteforte E, Michelessi M, Rizzo S, Donati S, Parravano M, Virgili G. Macular versus Retinal Nerve Fiber Layer Parameters for Diagnosing Manifest Glaucoma: A Systematic Review of Diagnostic Accuracy Studies. Ophthalmology. 2016;123:939-49.
  5. Biswas S, Lin C, Leung CK. Evaluation of a Myopic Normative Database for Analysis of Retinal Nerve Fiber Layer Thickness. JAMA Ophthalmol. 2016;134:1032-9.
  6. Leung CKS, Lam AKN, Weinreb RN, et al. Diagnostic assessment of glaucoma and non-glaucomatous optic neuropathies via optical texture analysis of the retinal nerve fibre layer. Nat Biomed Eng. 2022 Jan 6.

Please sign in or register for FREE

If you are a registered user on Research Communities by Springer Nature, please sign in

Follow the Topic

Biotechnology
Life Sciences > Biological Sciences > Biotechnology

Related Collections

With Collections, you can get published faster and increase your visibility.

Implantable wireless communication technologies

This collection brings together research that addresses critical engineering challenges in implantable wireless communications. It demonstrates how electromagnetic, optical, acoustic, or hybrid methods can be engineered to achieve reliable wireless communications and power delivery through biological tissues.

Publishing Model: Hybrid

Deadline: Nov 28, 2026

Microphysiological systems for advanced modeling, high-throughput evaluation, and clinical translation

This cross-journal Collection highlights engineering advances, promote high-throughput evaluation for translational applications, or enhance biological and clinical relevance of next-generation Microphysiological Systems, such as 3D culture systems, organs-on-chips, and microfluidic platforms.

Publishing Model: Hybrid

Deadline: Dec 30, 2026