Unveiling human cytomegalovirus as a causal factor for glioblastoma.

Published in Cancer

Unveiling human cytomegalovirus as a causal factor for glioblastoma.
Like

Share this post

Choose a social network to share with, or copy the URL to share elsewhere

This is a representation of how your post may appear on social media. The actual post will vary between social networks

Background

Glioblastoma multiforme (GBM) is a central nervous system neoplasm of grade IV histological malignancy according to the WHO classification. Ninety percent of glioblastoma multiforme cases develop de novo and are considered primary glioblastoma. The remaining 10% of gliomas are secondary neoplasm cases that evolve from lower-grade astrocytoma. GBM is a fast-growing and one of the most aggressive brain malignancies; it invades the nearby brain tissue, but does not generally spread to distant organs. GBM accounts for 14.5% of all central nervous system tumors and 48.6% of malignant central nervous system tumors. Despite the aggressive multimodal therapies, it is almost impossible and extremely challenging to cure GBM patients, and this is due to the heterogeneous and detrimental nature as well as the quick progression of glioblastomas possessing a median survival of about 15 months. The mainstay of treatment for GBMs is surgery, followed by radiation and chemotherapy. Although numerous studies have investigated the risk factors for brain tumors, our knowledge of their etiology is limited. Sporadic factors, including viruses such as human cytomegalovirus (HCMV), have been suggested to play a critical role in glioma development (Ref. 1).

HCMV is a herpesvirus that infects between 40% and 95% of the population worldwide; it’s usually asymptomatic. The host immune response retains the virus in a latent stage, however, HCMV can reactivate resulting in sequential lytic/latent viral cycles during lifetime thus contributing to HCMV genomic diversity. Recent investigations have reported the potential role of HCMV infection in malignant diseases from different cancer entities where HCMV proteins and DNA were detected in glioblastoma tissues, neuroblastoma, breast, ovarian, prostate, and colon cancer underlining the role of HCMV in tumor initiation and/or progression. Knowing that HCMV establishes a persistent life-long infection, increasing evidence indicates HCMV infection can modulate signaling pathways linked to tumorigenesis. HCMV encodes proteins (IE1, US28, etc…) that activate intracellular signaling pathways involved in mutagenesis, apoptosis, inflammation and angiogenesis. In tumors, HCMV could favor the progression and metastasis of cancer, a paradigm termed oncomodulation. However, recently, it has been increasingly implicated in carcinogenesis along with its oncomodulatory potential (Ref. 2). An oncogenic role of HCMV has been explored in our research group in which the HCMV will directly transform primary cells; such HCMV strains were named high-risk HCMV strains (Ref. 3).

 

 Study Objective

Given the heterogeneous and aggressive nature of GBM, herein, we assessed the two high-risk clinical strains HCMV-DB and HCMV-BL for their transforming potential of human astrocytes (HAs) and evaluated the molecular and cellular features of CMV-Elicited Glioblastoma Cells, CEGBCs, in addition to considering the link with viral replication/latency. The impact of temozolomide (TMZ), the antiviral drug ganciclovir (GCV), and anti-cancer agent anti-EZH2 was assessed in this GBM model. Our data support the oncogenic traits of EZH2/Myc thereby permitting the isolation of oncogenic HCMV strains from GBM tumors while identifying EZH2 as a potential target for GBM treatment, mainly upon HCMV infection. Our study indicates that the high-risk strains DB and BL as well as the HCMV-GBM strains transform human astrocytes and generate a HCMV-induced glioblastoma model of oncogenesis via EZH2-Myc activation, which might be highly relevant in brain tumors’ pathophysiology and could respond to anti-HCMV and anti-EZH2 treatment.

Key findings

Under the leadership of Professor Georges Herbein, Ranim El Baba et al. highlighted the link between HCMV infection and carcinogenesis, especially in GBM (Ref. 4). While several research groups have previously given evidence for the oncomodulatory potential of some HCMV strains, hereby, we deliver an important and basic information covering the link between HCMV-induced Myc-EZH2 activation and the potential oncogenic role of HCMV in glioblastoma multiforme.

Three major findings were reported.

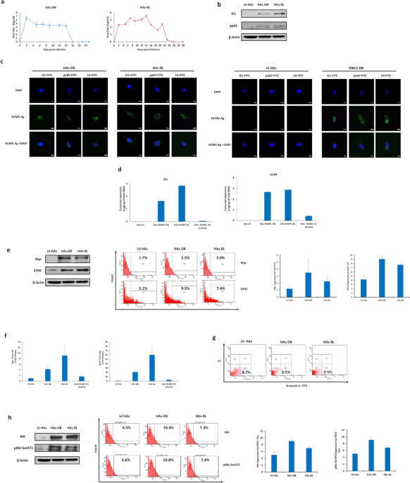
First, primary human astrocytes infected with high-risk HCMV strains (DB and BL strains) were transformed with colonies formation in soft agar, and displayed stemness phenotype as confirmed by the formation of tumor spheres (spheroids). HCMV-DB and BL strains were previously identified in our group, and were associated with breast cancer. In addition to spheroid formation, the transformed astrocytes termed CEGBCs gave rise to invasive cells. At the molecular level, the expression of Myc, EZH2, stemness markers (SOX2, OCT4, etc) and epithelial-mesenchymal transition (EMT) markers (vimentin, CD44) was upregulated in CEGBCs. In addition, viral genes, transcripts, and proteins of HCMV were detected in the chronically infected CEGBC cultures.

Second, all HCMV strains isolated from patient GBM biopsies gave raise to transformed CEGBCs in vitro after HCMV infections of primary human astrocytes.

Third, a strong reduction of CEGBCs growth in vitro was reported under triple therapy including TMZ, ganciclovir and EZH2 inhibitor.

 

Closing thoughts

Our data clarify the notion of how HCMV is associated with GBM. HCMV might not only have oncomodulatory properties in GBM. Our results indicated a direct link between HCMV infection and the appearance of GBM in patients. In future studies, sequencing of the HCMV strains that were isolated from GBM tumors is required. “This is important as there may be a large variability in HCMV strains isolated from tumors. To definitively prove that HCMV is an oncovirus, it will be critical to isolate the viral gene(s) involved in the transformation process” Herbein said.  “Moreover, a better understanding of the potential association between HCMV and GBM will pave the way for developing effective therapeutic approaches with an improved outcome for patients thus increasing the overall survival rates”.

References:

1. Cobbs C. Cytomegalovirus is a tumor-associated virus: armed and dangerous. Curr Opin Virol 2019, 39:49-59.

2. Herbein, G. The human cytomegalovirus, from oncomodulation to oncogenesis. Viruses 2018, 10:408.

3. Nehme Z, Pasquereau S, Haidar Ahmad S, El Baba R, Herbein G. Polyploid giant cancer cells, EZH2 and Myc upregulation in mammary epithelial cells infected with high-risk human cytomegalovirus. eBioMedicine 2022, 80: 104056. 

4. El Baba R, Pasquereau S*, Haidar Ahmad S*, Monnien F, Abad M, Bibeau F, Herbein G. EZH2-Myc driven glioblastoma elicited by cytomegalovirus infection of human astrocytes. Oncogene 2023, https://doi.org/10.1038/s41388-023-02709-3

Please sign in or register for FREE

If you are a registered user on Research Communities by Springer Nature, please sign in

Follow the Topic

Cancer Biology
Life Sciences > Biological Sciences > Cancer Biology