High estrogen receptor alpha activation confers resistance to estrogen deprivation and is required for therapeutic response to estrogen in breast cancer

Resistance to anti-estrogen treatments is a major problem in ER+ breast cancer. In this study, we demonstrate that ER overexpression is a mechanism of resistance to estrogen deprivation, but can be therapeutically targeted with estrogen.

Published in Cancer

High estrogen receptor alpha activation confers resistance to estrogen deprivation and is required for therapeutic response to estrogen in breast cancer
Like

Share this post

Choose a social network to share with, or copy the URL to share elsewhere

This is a representation of how your post may appear on social media. The actual post will vary between social networks

Although we typically think of estrogens as driving tumor growth in estrogen receptor positive (ER+) breast cancer, estrogens can actually induce tumor regression in a subset of patients. In fact, before the introduction of the first anti-estrogen therapies it was quite common to treat breast cancer with estrogens. Following the development of tamoxifen in the 1970s, estrogen therapy fell out of favor, and we now have a large arsenal of anti-estrogen therapies which inhibit ER activity. However, resistance to these anti-estrogen therapies remains a major problem in ER+ breast cancer. Our lab at the Dartmouth Norris Cotton Cancer Center is focused on developing strategies to therapeutically target anti-estrogen resistant disease, thus we became interested in exploring the use of estrogen as a therapeutic for advanced ER+ breast cancer.

 A major reason that estrogen therapy is not commonly used is that the mechanism through which estrogens elicit anti-cancer effects is poorly understood, and because of this there is no method to select which patients should receive treatment with estrogen. We wanted to address these problems in order to make estrogen therapy a more accessible treatment option for patients who could benefit from it.

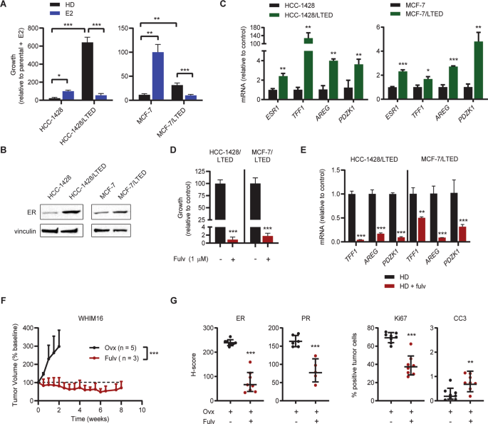
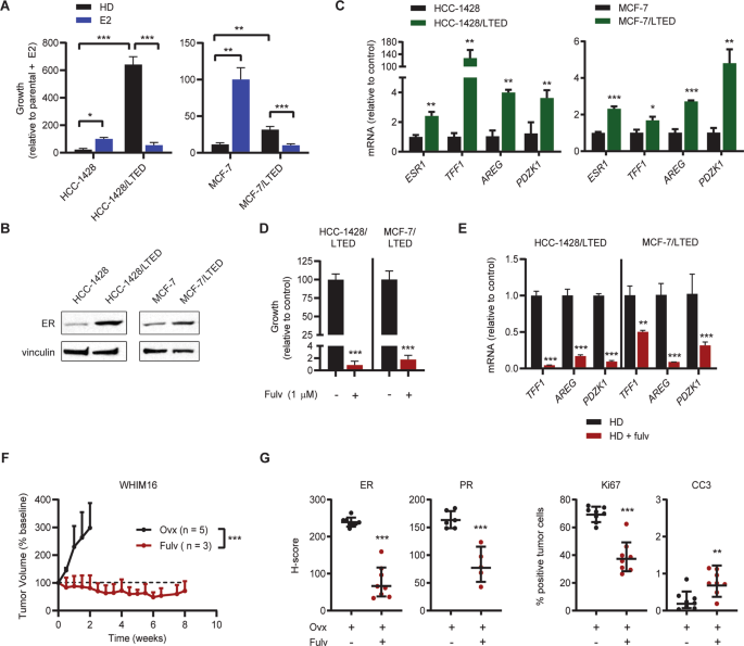
 We started by characterizing cell line and tumor models that respond to treatment with estrogen.  We found that all of the models overexpress ER, and most  also have genomic amplification of the gene encoding ER. These high levels of ER expression are required for resistance to estrogen deprivation, but are also required for therapeutic response to estrogen. We also found that in order to elicit a therapeutic effect, estrogen must stimulate very high levels of ER activity in ER-overexpressing cells. This suggests that there is an optimal window of ER activity, and either too much or too little ER activity inhibits the growth of breast cancer cells.  

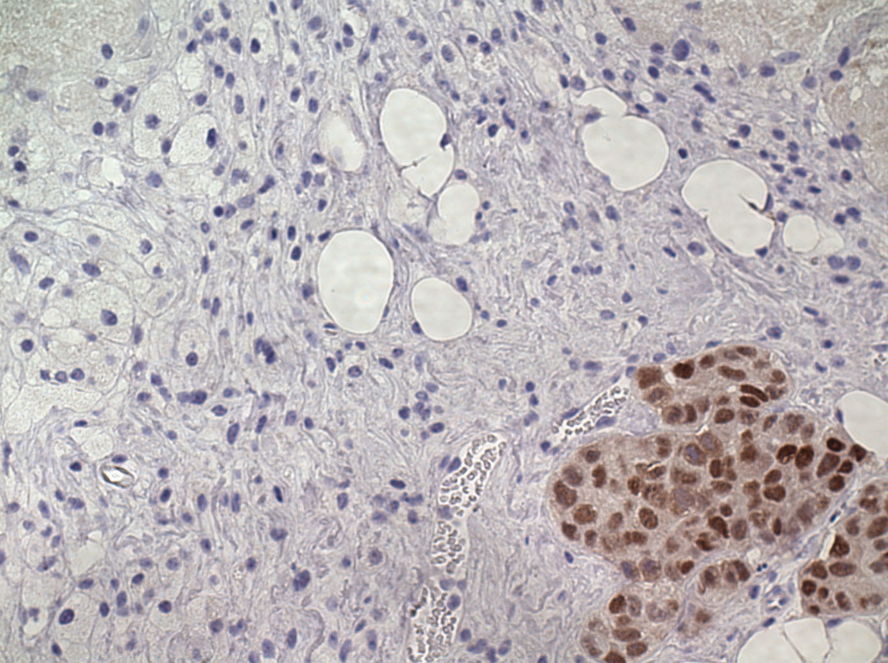
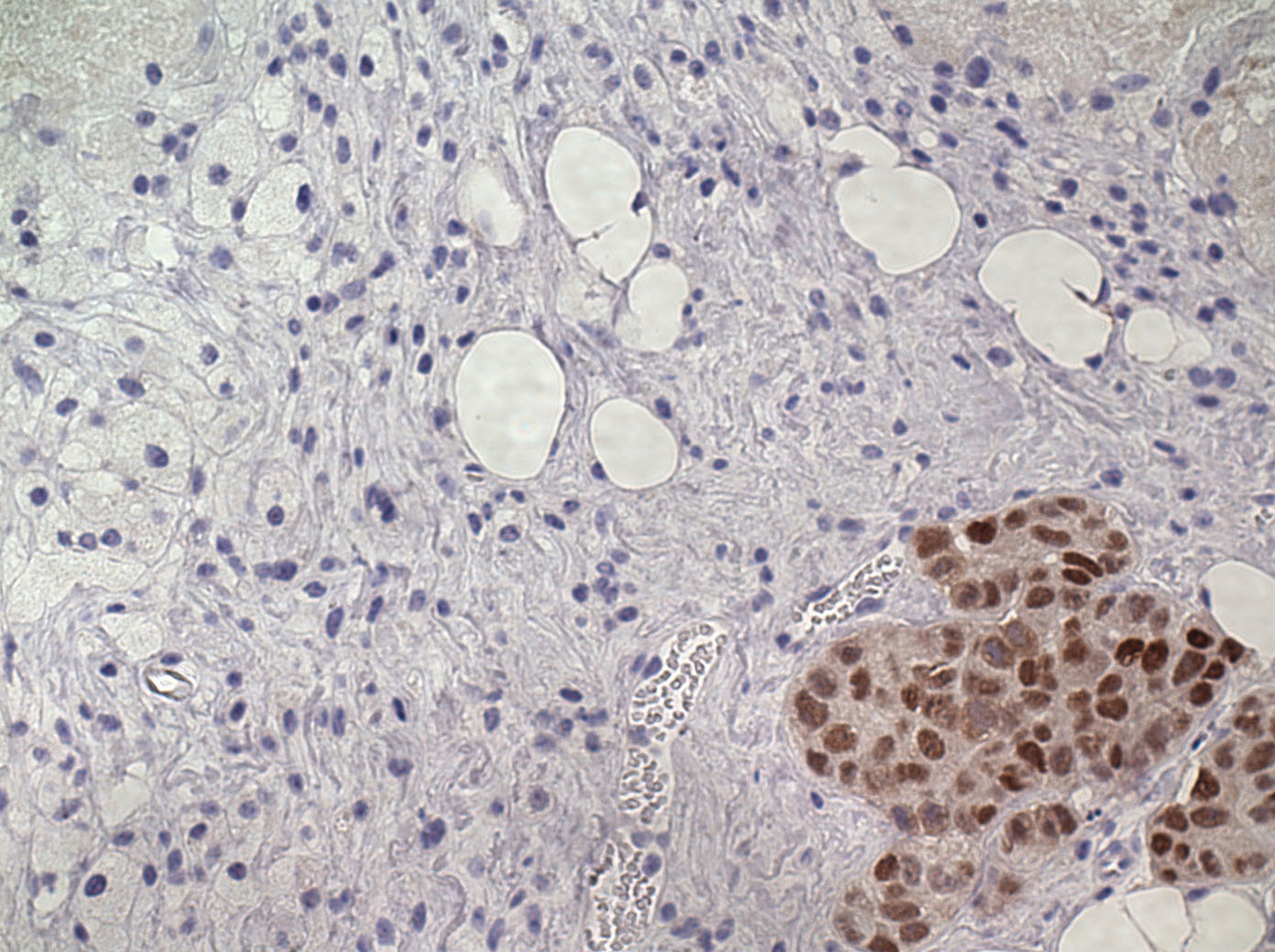
 In mouse models, we found that tumor cells acquire resistance to estrogen therapy by decreasing ER expression, which is associated with re-sensitization to estrogen deprivation. We also discovered that if we cycle between estrogen treatment and anti-estrogen treatment before the tumors have begun to resume growth on estrogen treatment, we can significantly increase the duration of tumor response. We’re now testing the efficacy cycling between estrogen therapy and anti-estrogen therapy in patients with advanced ER+ breast cancer in a Phase II clinical trial (POLLY; NCT0218875). Overall, we’re hopeful that this work will help expand the treatment options available to patients with advanced ER+ breast cancer.

From left to right: authors Nicole A. Traphagen and Todd W. Miller, PhD.  (Photo source: Norris Cotton Cancer Center)

Please sign in or register for FREE

If you are a registered user on Research Communities by Springer Nature, please sign in