Homologous recombination DNA repair deficiency and PARP inhibition activity in primary triple negative breast cancer

Published in Cancer

Homologous recombination DNA repair deficiency and PARP inhibition activity in primary triple negative breast cancer
Like

Share this post

Choose a social network to share with, or copy the URL to share elsewhere

This is a representation of how your post may appear on social media. The actual post will vary between social networks

The diagnosis and treatment of triple negative breast cancer (TNBC) still relies on age old assessments (ER, PR and HER2), despite the advancement of whole genome sequencing (WGS) to identify mutational signatures that have the capability to transform diagnosis and treatment.  As demonstrated in BRCA1/2 germline patients, tumours with defects in homologous recombination (HR), are sensitive to PARP inhibitors and there is mounting evidence that a cohort of TNBC may benefit from the same treatment course1–6. In this era of translational medicine, clinical research is characterised by collaborations, all looking to bring the science closer to the bedside enhancing the patient cancer pathway. We designed a phase 2 translational clinical trial to assess efficacy of the PARP inhibitor rucaparib in early treatment naïve TNBC but with exciting options for exploratory science to explore methods of detecting HR deficiency and biomarkers of response.

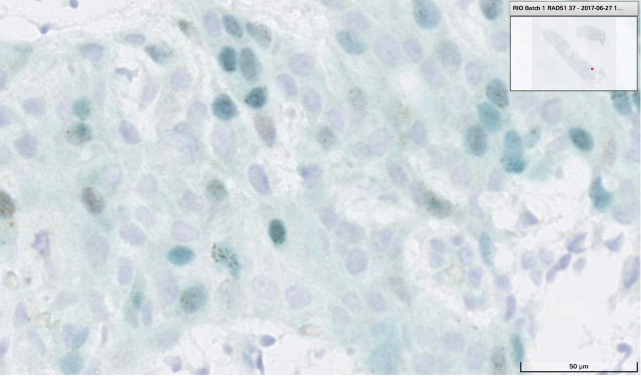
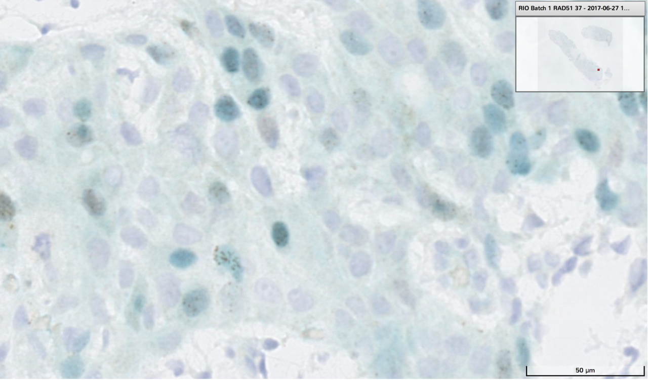
We used targeted and whole genome sequencing to detect underlying mutations of BRCA1/2PALB2 genes, and gene promoter hypermethylation of BRCA1 and RAD51C in TNBC. In collaboration with Serena Nik-Zainal’s lab at The Sanger Institute and Cambridge University, we used the HRDetect assay7, an aggregate of mutational signatures and chromosomal instabilities, to identify HR deficiency. To confirm whether HRDetect had functional implications for tumours, identifying them as susceptible to PARP inhibition, we developed a novel RAD51 immunohistochemistry assay, and found a striking correlation confirming HRDetect identifies cancers with a functional HR defect. 

In the current clinical environment, a tissue biopsy is the gold standard to obtain information on a tumour and to guide treatment. However, it can cause pain and discomfort and is resource intensive. Furthermore, Gerlinger et al published a pivotal study detailing intratumour heterogeneity and the underrepresentation of an entire tumour by a single biopsy, challenging the convention of how we monitor cancer response and identify biomarkers8. Circulating tumour DNA (ctDNA), a non-invasive tumour biomarker, is released by tumour sites into the blood and offers a more complete assessment of the patient’s disease, and allows for serial sampling throughout the course of treatment9,10. Early changes in ctDNA dynamics represents an early biomarker of drug activity11–13. In the RIO trial we identified somatic mutations and designed personalised digital PCR assays for each patient to track changes in ctDNA before and after treatment. There was a substantial proportion of patients who suppressed ctDNA after treatment with rucaparib, enriched with HR deficient tumours, assessed by lack of RAD51 foci formation, high HRDetect scores and associated genetic aberrations.

Figure 1. Identification of homologous recombination (HR) deficiency in triple negative breast cancer (TNBC) using functional (RAD51 IHC), genetic (HRDetect) and epigenetic (methylation) analyses allows treatment with targets agents such as PARP inhibitors. Assessment of treatment response can be determined by early changes in circulating tumour DNA (ctDNA) dynamics.


Despite low recruitment into the study and concerns with tissue biopsies we were still able to extract important conclusions with a translational impact for future research. This work has confirmed that identification of the HR deficient cohort of TNBCs is vital, and HRDetect can be instrumental in this process, although will need further clinical validation. Once more ctDNA has been shown to have significant potential to track response to therapy and offers significant potential for tracking early disease. With inclusion and validation in future clinical trials, ctDNA has the potential to change the clinical paradigm of cancer monitoring. Going forward we anticipate this trial will be used as a proof-of-concept to design clinical trials with stratification of HR deficient TNBC and subsequent targeted treatment. 

 

1.        Tutt, A. et al.Oral poly(ADP-ribose) polymerase inhibitor olaparib in patients with BRCA1 or BRCA2 mutations and advanced breast cancer: a proof-of-concept trial. Lancet 376, 235–244 (2010).

2.        Gelmon, K. A. et al.Olaparib in patients with recurrent high-grade serous or poorly differentiated ovarian carcinoma or triple-negative breast cancer: a phase 2, multicentre, open-label, non-randomised study. Lancet Oncol 12, 852–861 (2011).

3.        Farmer, H. et al.Targeting the DNA repair defect in BRCA mutant cells as a therapeutic strategy.Nature 434, 917–921 (2005).

4.        Bryant, H. E. et al.Specific killing of BRCA2-deficient tumours with inhibitors of poly(ADP-ribose) polymerase. Nature 434, 913–917 (2005).

5.        Bruna, A. et al.A Biobank of Breast Cancer Explants with Preserved Intra-tumor Heterogeneity to Screen Anticancer Compounds. Cell(2016). doi:10.1016/j.cell.2016.08.041

6.        Evans, K. W. et al.A population of heterogeneous breast cancer patient-derived xenografts demonstrate broad activity of PARP inhibitor in BRCA1/2 wild-type tumors. Clin. Cancer Res.(2017). doi:10.1158/1078-0432.CCR-17-0615

7.        Davies, H. et al.HRDetect is a predictor of BRCA1 and BRCA2 deficiency based on mutational signatures. Nat Med 23, 517–525 (2017).

8.        Gerlinger, M. et al.Intratumor heterogeneity and branched evolution revealed by multiregion sequencing. N Engl J Med 366, 883–892 (2012).

9.        Olsson, E. et al.  Serial monitoring of circulating tumor DNA in patients with primary breast cancer for detection of occult metastatic disease . EMBO Mol. Med.(2015). doi:10.15252/emmm.201404913

10.      Garcia-Murillas, I. et al.Mutation tracking in circulating tumor DNA predicts relapse in early breast cancer. Sci. Transl. Med.(2015). doi:10.1126/scitranslmed.aab0021

11.      Fribbens, C. et al.Tracking evolution of aromatase inhibitor resistance with circulating tumour DNA analysis in metastatic breast cancer. Ann. Oncol.(2018). doi:10.1093/annonc/mdx483

12.      O’Leary, B. et al.Early circulating tumor DNA dynamics and clonal selection with palbociclib and fulvestrant for breast cancer. Nat. Commun.(2018). doi:10.1038/s41467-018-03215-x

13.      Hrebien, S. et al.Early ctDNA dynamics as a surrogate for progression-free survival in advanced breast cancer in the BEECH trial. Ann. Oncol.(2019). doi:10.1093/annonc/mdz085

 

Please sign in or register for FREE

If you are a registered user on Research Communities by Springer Nature, please sign in

Follow the Topic

Cancer Biology
Life Sciences > Biological Sciences > Cancer Biology

Related Collections

With Collections, you can get published faster and increase your visibility.

Women's Health

A selection of recent articles that highlight issues relevant to the treatment of neurological and psychiatric disorders in women.

Publishing Model: Hybrid

Deadline: Ongoing

Advances in neurodegenerative diseases

This Collection aims to bring together research from various domains related to neurodegenerative conditions, encompassing novel insights into disease pathophysiology, diagnostics, therapeutic developments, and care strategies. We welcome the submission of all papers relevant to advances in neurodegenerative disease.

Publishing Model: Hybrid

Deadline: Mar 24, 2026