Behind this paper there is a story that started three years ago when I moved back to Italy to build my research group.
Before, I was working on L1CAM (L1 cell adhesion molecule) in colorectal cancer and the tumour promoting potential of the cells positive for this marker. With the knowledge, expertise and tools acquired, I decided to investigate the role of this gene/protein in another devastating disease: the pancreatic ductal adenocarcinoma (PDAC). However, unexpectedly, I faced very soon to a different scenario: all my experiments, both in vitro and in vivo, were giving me the opposite results, L1CAM was acting as a tumour suppressor.
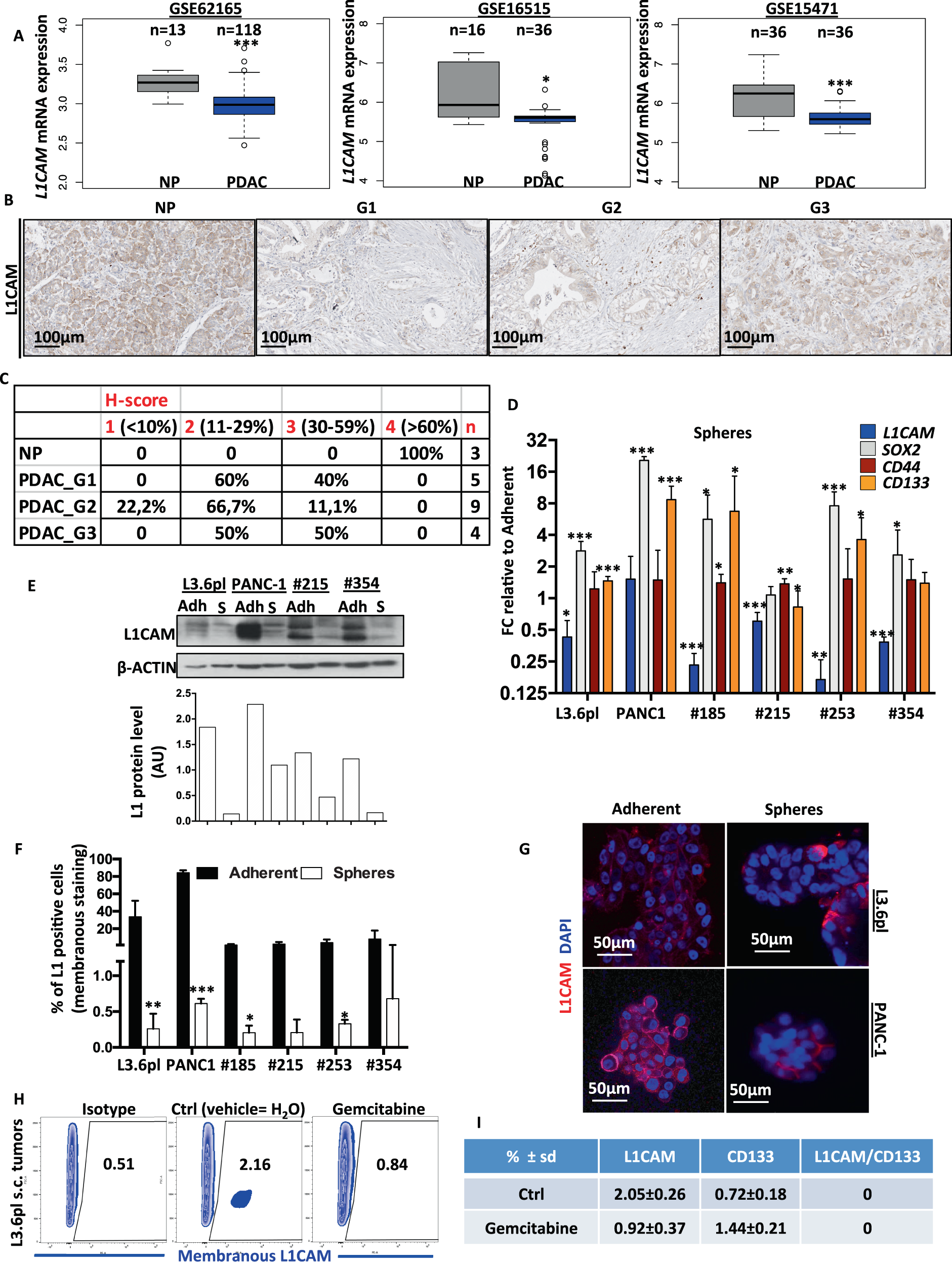
L1CAM has a well-established role in the nervous system due to its important function for axon guidance and cell migration (1). In colorectal, breast, kidney and lung cancer it has been shown to be a crucial factor for tumour cell dissemination and metastasis (2,3). Whereas, I found a controversial literature in PDAC: in patients biopsy the expression of L1CAM it has been detected only in a small percentage of patients (4,5), while in cell culture studies L1CAM was associated with perineural invasion and poor outcome (6,7). Here, we demonstrated for the first time that L1CAM acts as a tumour suppressor in PDAC by specifically targeting the highly tumorigenic subpopulation of cancer stem cells (CSCs), explaining the adverse outcome of patients with L1CAM-low tumours.
In order to understand the mechanism behind L1CAM downregulation in PDAC, we decide to investigate its main regulators; in particular we focused our attention on the TGF-β signalling. The decision to study this signalling was easy for many reasons: 1) I have a deep knowledge of TGF-β signaling pathway since I am studying it for almost ten years; 2) TGF-β1 is already known to regulate (positively) L1CAM; and 3) we previously observed that TGF-β1 is secreted by the stroma and regulates L1CAM in colorectal cancer. To my surprise, we found again an opposite result to the expected one. We discovered that TGF-β1 secreted by Pancreatic Stellate Cells (PSCs) inhibits L1CAM expression on PDAC cells, thereby counteracting the CSC suppressive activities of L1CAM and subsequently promoting a more stem-like and aggressive phenotype.

These findings suggest a potentially new strategy for targeting CSCs in order to alleviate PDAC progression and improve PDAC patient’s outcome.
I have to thank the master students that built the laboratory with me and that started the project: Martina Di Guida (co-first author) and Luigi Ferrante. I would also especially thank the postdoc Dr. Donatella Delle Cave (co-first author) that took over the project and filled the lab (and the paper) with her enthusiasm, passion and hard work. Ad maiora!

REFERENCES:
- Tang DY, Yu Y, Zhao XJ, Schachner M, Zhao WJ. Single chain fragment variable antibodies developed by using as target the 3rd fibronectin type III homologous repeat fragment of human neural cell adhesion molecule L1 promote cell migration and neuritogenesis. Exp Cell Res. 2015;330(2):336-45.
- Valiente M, Obenauf AC, Jin X, Chen Q, Zhang XH, Lee DJ, et al. Serpins promote cancer cell survival and vascular co-option in brain metastasis. Cell. 2014;156(5):1002-16.
- Er EE, Valiente M, Ganesh K, Zou Y, Agrawal S, Hu J, et al. Author Correction: Pericyte-like spreading by disseminated cancer cells activates YAP and MRTF for metastatic colonization. Nature cell biology. 2019;21(3):408.
- Kaifi JT, Heidtmann S, Schurr PG, Reichelt U, Mann O, Yekebas EF, et al. Absence of L1 in pancreatic masses distinguishes adenocarcinomas from poorly differentiated neuroendocrine carcinomas. Anticancer Res. 2006;26(2A):1167-70.
- Tsutsumi S, Morohashi S, Kudo Y, Akasaka H, Ogasawara H, Ono M, et al. L1 Cell adhesion molecule (L1CAM) expression at the cancer invasive front is a novel prognostic marker of pancreatic ductal adenocarcinoma. Journal of surgical oncology. 2011;103(7):669-73.
- Ben QW, Wang JC, Liu J, Zhu Y, Yuan F, Yao WY, et al. Positive expression of L1-CAM is associated with perineural invasion and poor outcome in pancreatic ductal adenocarcinoma. Annals of surgical oncology. 2010;17(8):2213-21.
- Na'ara S, Amit M, Gil Z. L1CAM induces perineural invasion of pancreas cancer cells by upregulation of metalloproteinase expression. Oncogene. 2018.
Follow the Topic
-
Oncogene
This journal aims to make substantial advances in our knowledge of processes that contribute to cancer by publishing outstanding research.
Please sign in or register for FREE
If you are a registered user on Research Communities by Springer Nature, please sign in