Managing Fluid Balance and Nutritional Status in a Short Bowel Syndrome Patient awaiting Intestinal Transplant: A Case Report.

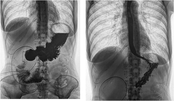
In this report, we present a case of an SBS patient with only 5 cm of remaining small bowel and a high-output duodenal stoma, who was treated with teduglutide resulting in a reduction of stoma output, improvement in the patient's nutritional status and regulation of fluid balance.
Managing Fluid Balance and Nutritional Status in a Short Bowel Syndrome Patient awaiting Intestinal Transplant: A Case Report.
Like

Share this post

Choose a social network to share with, or copy the URL to share elsewhere

This is a representation of how your post may appear on social media. The actual post will vary between social networks

Short bowel syndrome (SBS) poses significant challenges, particularly when surgical resection leaves patients with less than 200 cm of small bowel. In such cases, the initiation of teduglutide injections, a synthetic analogue of glucagon-like peptide-2, has emerged as a promising therapy. Teduglutide regulates gastrointestinal tract growth, enhances nutrient absorption, and reduces the need for parenteral support.

In a compelling case report, a 53-year-old female with severe malnutrition and a high-output duodenal stoma experienced a remarkable transformation with teduglutide treatment. Despite having only 5 cm of remaining small bowel, the patient's stoma output reduced from 6-12 L/day to 2.5-3 L/day within two months of teduglutide initiation. This not only stabilized electrolyte balance but also led to a notable 3-4 kg increase in body weight.

The case sheds light on teduglutide's effectiveness in managing high output stomas, even in patients with minimal small bowel. Notably, the therapy provided a breakthrough, allowing the patient to achieve energy and protein targets without compromising fluid balance. While the report acknowledges the need for further studies and consistent dosing, it underscores teduglutide's potential as a long-term treatment for SBS patients dependent on parenteral nutrition.

In conclusion, teduglutide represents a beacon of hope for individuals facing the challenges of SBS, offering a path to improved nutritional status and a reduced reliance on parenteral support. Further research is warranted to solidify its standing as a groundbreaking therapy for high output stomas in SBS patients.

Please sign in or register for FREE

If you are a registered user on Research Communities by Springer Nature, please sign in

Follow the Topic

Nutrition Therapy
Life Sciences > Health Sciences > Clinical Medicine > Therapeutics > Nutrition Therapy
Malnutrition
Life Sciences > Health Sciences > Clinical Medicine > Diseases > Nutrition Disorder > Malnutrition
Nutrition
Life Sciences > Health Sciences > Health Care > Nutrition
Colorectal Surgery
Life Sciences > Health Sciences > Surgery > Colorectal Surgery
Pharmacotherapy
Life Sciences > Health Sciences > Clinical Medicine > Therapeutics > Pharmacotherapy
Colorectal Cancer
Life Sciences > Biological Sciences > Cancer Biology > Cancers > Gastrointestinal Cancer > Colorectal Cancer