Novel therapy for cancer using an IgE antibody
Published in Cancer
The biology of IgE supports its development as an oncology drug.
Monoclonal antibody drugs for cancer were first approved nearly three decades ago, and more than two dozen such drugs are in use today. These are all members of the IgG immunoglobulin subclass, but the biology of IgE suggests its potential for enhancing the efficacy of antibody therapies in treating solid tumours.
Circulating levels of IgE are much lower than those of IgG, because IgE evolved to provide host defence against multicellular parasitic infestation in tissues, by binding with very high avidity to specific receptors on the surface of effector cell populations that are tissue-resident [2]. These effector cells (including monocytes/macrophages, mast cells, basophils and dendritic cells) have the capacity to kill cancer cells by mechanisms including cytotoxicity and phagocytosis, and to activate immune responses via secreted factors including TNFα, MCP-1 and IL-10 (Figure 1).

Figure 1. Mechanism of cytotoxicity mediated by MOv18 IgE. (1) IgE bound to Fc receptors on macrophages is crosslinked by antigen expressed on tumour cells, leading to target cell cytotoxicity, release of proinflammatory mediators (e.g., TNFα) and macrophage repolarization. (2) TNFα upregulation in turn triggers MCP-1 production by monocytes and tumour cells, followed by (3) recruitment of further macrophages, mediated by MCP-1.
IgE monoclonal antibodies may be more effective than IgG therapies
Preclinical data directly comparing an IgE with an IgG specific for the same tumour antigen supports the rationale of superior anti-tumour activity for IgE antibodies (Figure 2).

Figure 2. Superior anti-cancer activity of IgE compared to IgG in an animal model. Pulmonary metastases from a syngeneic tumour expressing folate receptor-alpha in immunocompetent rats are visualised with India ink staining. The effects of treatment with rodent IgG or IgE monoclonal antibodies specific for the receptor, compared with vehicle, are shown [3].
A first-in-class trial of IgE therapy
MOv18 IgE is specific for folate receptor-alpha and patients were selected for this Phase 1 trial based on the expression of this antigen by their tumour. Folate receptor-alpha was chosen as the target for this first IgE therapy to be tested in the clinic because this tumour-associated antigen is present at very low levels in normal tissues. The receptor is expressed in a range of solid tumours and has been effectively targeted by IgG monoclonal antibody drugs.
Because IgE is implicated in the pathophysiology of allergy [4], patients in the trial underwent skin prick and basophil activation tests (BAT) to select those at lowest risk of allergic toxicity. The BAT assay determines whether basophils in patient blood can be activated by addition of stimuli including the MOv18 IgE antibody itself. After the observation of one anaphylaxis episode, subsequent patients were included in the trial only after a negative baseline BAT, and no further major toxicity was observed. This anaphylaxis episode is likely to be explained by the presence at baseline of basophils in the patient’s blood that could be activated by MOv18 IgE.
The starting flat dose was very low (70μg), based on the low endogenous levels of circulating IgE and on its very high affinity for Fce receptors. Dose was safely escalated to 12mg. Urticaria was the commonest toxicity, and this was transient and well tolerated. The overall safety profile was tolerable and maximum tolerated dose was not reached, with evidence of anti-tumour activity observed in a patient with ovarian cancer.

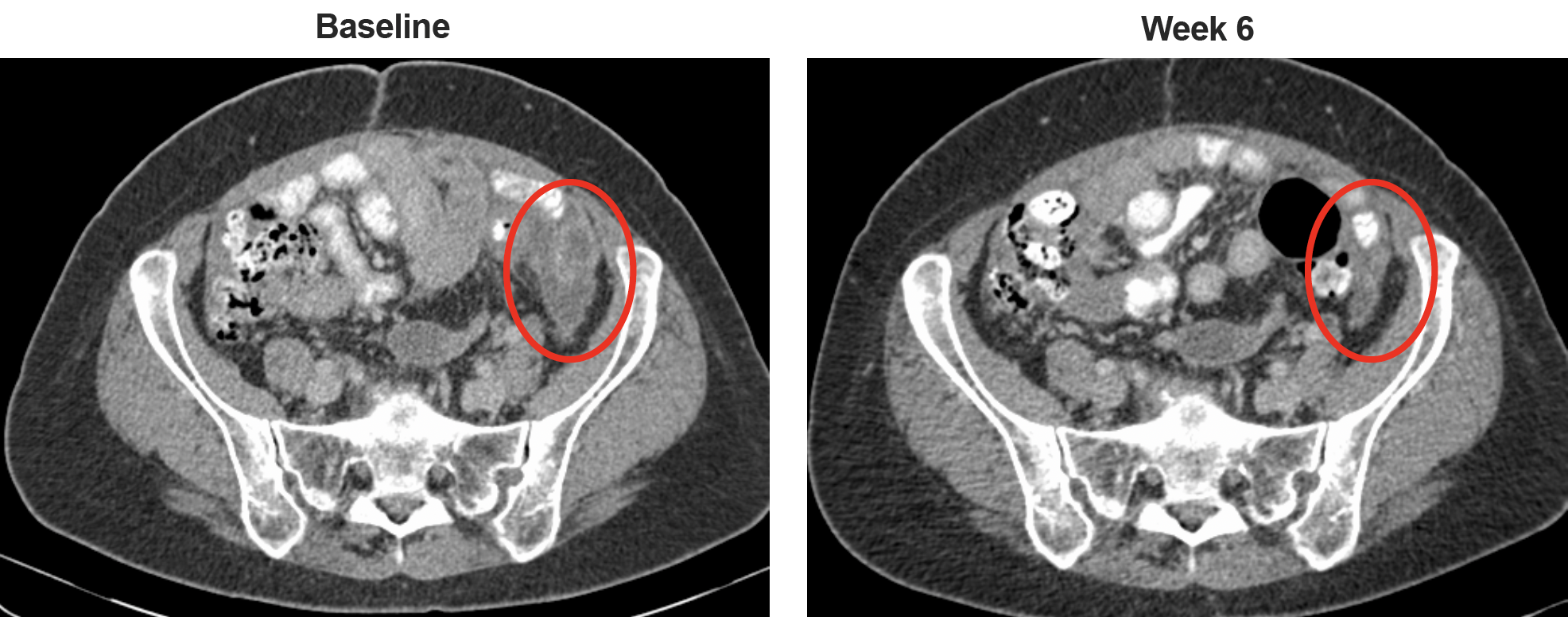
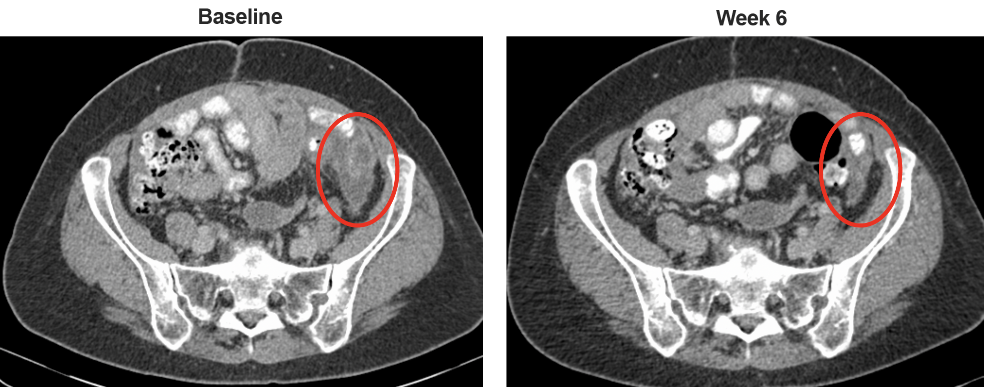
Figure 3. Anti-tumour activity of MOv18 IgE. CT images for a patient with ovarian cancer at baseline and week 6 of treatment showing reduction of a peritoneal tumour deposit.
Future prospects
These results demonstrate the potential of IgE therapy for cancer and provide reassurance that IgE’s role in allergic mechanisms does not present a safety concern [4]. This Phase 1 trial opens the way to further clinical development of MOv18 IgE (led by Epsilogen Ltd, a spin out of King’s College London [5]), but also to testing of further novel IgE therapies, including others recognising antigens already validated as targets for IgG drugs.
References
- Spicer, J., et al. Safety and anti-tumour activity of the IgE antibody MOv18 in patients with advanced solid tumours expressing folate receptor-alpha: a phase 1 trial. Nat Commun doi: 10.1038/s41467-023-39679-9 (2023).
- Mukai, K., Tsai, M., Starkl, P., Marichal, T. & Galli, S.J. IgE and mast cells in host defence against parasites and venoms. Semin Immunopathol 38, 581-603 (2016).
- Josephs, D.H., et al. Anti-Folate Receptor-alpha IgE but not IgG recruits macrophages to attack tumors via TNFalpha/MCP-1 aignaling. Cancer Res 77, 1127-1141 (2017).
- Gould, H.J., et al. The biology of IgE and the basis of allergic disease. Annu Rev Immunol 21, 579-628 (2003).
- https://epsilogen.com/pipeline
Follow the Topic
-
Nature Communications
An open access, multidisciplinary journal dedicated to publishing high-quality research in all areas of the biological, health, physical, chemical and Earth sciences.
Related Collections
With Collections, you can get published faster and increase your visibility.
Women's Health
Publishing Model: Hybrid
Deadline: Ongoing
Advances in neurodegenerative diseases
Publishing Model: Hybrid
Deadline: Mar 24, 2026
Please sign in or register for FREE
If you are a registered user on Research Communities by Springer Nature, please sign in