When Sjögren’s Mimics Infection: Meningoencephalitis with Acute Motor Axonal Neuropathy

Primary Sjögren’s syndrome is classically defined by sicca symptoms, yet its neurological manifestations are diverse and often underrecognized. While peripheral neuropathy is relatively common, central nervous system involvement is rare and diagnostically challenging.
When Sjögren’s Mimics Infection: Meningoencephalitis with Acute Motor Axonal Neuropathy
Like

Share this post

Choose a social network to share with, or copy the URL to share elsewhere

This is a representation of how your post may appear on social media. The actual post will vary between social networks

Explore the Research

BioMed Central
BioMed Central BioMed Central

Meningoencephalitis as a presentation of primary Sjögren’s syndrome: a case report - Journal of Medical Case Reports

Background Sjögren’s syndrome is an autoimmune, chronic inflammatory disease characterized by its impact on salivary and lacrimal glands, along with potential involvement of internal organs. Sicca symptoms, such as dry eyes and mouth, are typical features. Case presentation We present the case of a 30-year-old Iraqi woman who presented with meningoencephalitis and acute motor axonal neuropathy, which were unusual as initial manifestations of Sjögren’s syndrome. Initial investigations included a complete blood count, erythrocyte sedimentation rate, C-reactive protein, renal and liver function tests, and cerebrospinal fluid analysis. Brain magnetic resonance imaging showed hyperintense lesions in the brainstem and periventricular regions, and magnetic resonance venography was performed to rule out venous thrombosis. An aquaporin 4 antibody screening test was sent for suspected neuromyelitis optica and returned positive. However, subsequent magnetic resonance imaging scans of the spinal cord and optic nerve found no abnormalities. Serological tests confirmed the presence of antinuclear antibodies, rheumatoid factor, and antibodies against SS-A and SS-B, consistent with Sjögren’s syndrome. The patient was treated with methylprednisolone and intravenous immunoglobulin. Given the suspected diagnosis of Bickerstaff encephalitis, intravenous immunoglobulin was included in the regimen, although it was later ruled out. After 4 weeks of treatment, the patient showed significant improvement, regaining consciousness and partial motor function. Several months after symptom onset, the patient achieved independent mobility despite experiencing mild weakness in the right lower limb, and plans were made to initiate either cyclophosphamide or rituximab therapy. Conclusions This case underscores the diverse clinical presentations of Sjögren’s syndrome, highlighting the importance of considering autoimmune etiologies in patients presenting with neurological manifestations such as meningoencephalitis and acute motor axonal neuropathy. Early recognition and management of such atypical presentations are crucial for improving patient outcomes.

Case Overview

Karim et al. present a compelling case of a 30-year-old woman who developed acute meningoencephalitis with rapid neurological decline, followed by acute motor axonal neuropathy (AMAN), a Guillain–Barré syndrome variant.

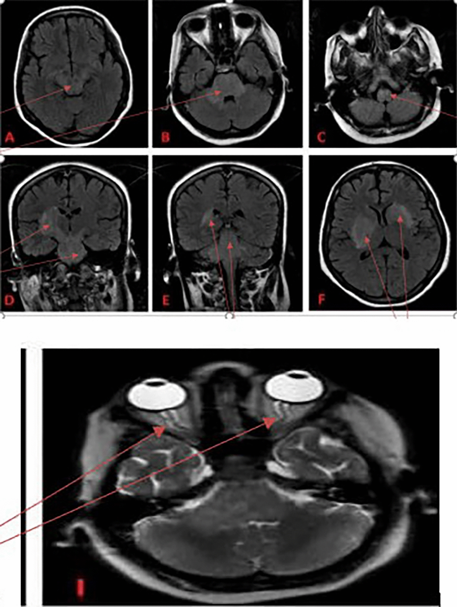
Initial presentation included fever, headache, altered consciousness, and progressive quadriparesis. Cerebrospinal fluid analysis showed lymphocytic predominance and elevated protein, while MRI demonstrated extensive brainstem and deep gray matter hyperintensities on FLAIR and diffusion-weighted imaging, as illustrated in the imaging panels on page 3, involving the midbrain, pons, cerebellar peduncles, basal ganglia, and thalami.

Despite initial treatment for presumed infectious meningoencephalitis, the lack of clinical improvement and negative infectious workup prompted evaluation for autoimmune etiologies. Serologic testing revealed positive ANA, rheumatoid factor, and anti-SSA/SSB antibodies, confirming primary Sjögren’s syndrome. Concurrent nerve conduction studies demonstrated a pure motor axonal neuropathy consistent with AMAN.

The patient was treated with high-dose corticosteroids and intravenous immunoglobulin (IVIG), resulting in substantial neurological recovery. Follow-up imaging (page 5) demonstrated near-complete resolution of prior lesions, paralleling clinical improvement.

Why This Case Matters

This case highlights several important clinical lessons:

Atypical presentation: Sjögren’s syndrome may initially present with CNS inflammation rather than sicca symptoms
Dual pathology: Simultaneous central (meningoencephalitis) and peripheral (AMAN) involvement is rare but possible
Diagnostic pitfall: Early features may closely mimic infectious meningoencephalitis or neuromyelitis optica
Imaging clues: Brainstem and deep gray matter involvement with inflammatory characteristics should raise suspicion for autoimmune etiologies
Therapeutic implications: Prompt immunotherapy can lead to meaningful neurological recovery

Notably, neurological manifestations may precede classic sicca symptoms in up to a substantial proportion of cases, further complicating early diagnosis.

Clinical Take-Home Message

In patients with unexplained meningoencephalitis and concurrent motor neuropathy, particularly when infectious studies are negative, primary Sjögren’s syndrome should be strongly considered, as early immunotherapy can significantly improve outcomes.

Question

Which feature most strongly supports Sjögren’s syndrome as the underlying cause of this patient’s neurological presentation?

A. Brainstem hyperintensities on MRI
B. Lymphocytic cerebrospinal fluid profile
C. Positive anti-SSA and anti-SSB antibodies
D. Acute motor axonal neuropathy

Correct Answer:

C. Positive anti-SSA and anti-SSB antibodies

While MRI findings and CSF abnormalities suggest an inflammatory process, they are nonspecific and can be seen in infectious or other autoimmune conditions. The presence of anti-SSA (Ro) and anti-SSB (La) antibodies provides disease-specific serologic evidence supporting the diagnosis of primary Sjögren’s syndrome, particularly when integrated with the clinical presentation.

Final Thoughts

This case reinforces the protean nature of Sjögren’s syndrome and the importance of maintaining a broad autoimmune differential in atypical neurological presentations. Early recognition is critical—what initially appears to be infection may instead represent a treatable inflammatory disorder with favorable outcomes when appropriately managed.

Journal of Medical Case Reports is the world’s first international, PubMed-listed, medical journal devoted to publishing case reports from all medical disciplines and will consider any original case report that expands the field of general medical knowledge, and original research relating to case reports.

Please sign in or register for FREE

If you are a registered user on Research Communities by Springer Nature, please sign in