Cancer Screening and Density (CaScaDe): Understanding the ability of breast density to predict breast cancer in pursuit of personalized screening
Published in Cancer
Many countries provide a population screening programme, offering regular mammography to all eligible women on a ‘one size fits all’ strategy, although protocols vary (screening ages, intervals, number of views, etc.) (2). Breast cancer screening reduces mortality, but not without human costs. Mammography does not detect all breast cancers early, and inevitably, as a consequence of mammography screening, some women are recalled for further investigations, including biopsy, but do not have cancer. Some women are diagnosed and treated for cancer but may never have died of their disease and some women die despite treatment for their screen detected breast cancer. There are balances to be struck between early diagnosis and these human costs, and this challenge is particularly important in the context of breast density.
One approach to changing this balance is to increase the level of screening for women at higher risk of developing and dying of breast cancer, while safely reducing screening for women identified to be at low risk. In the UK, women who self-identify with a family history or have had breast cancer may be offered additional tests and more frequent screening because of their higher risk. A very small number of women at very high risk are offered this through a structured programme, but for the most part, additional screening is locally delivered without centralised audit. If we wish to change from a relatively straightforward unified population screening strategy to one where women are screened according to their risk of getting breast cancer (risk stratification), it is critical that risk assessment is reliable and reproducible.
Mammographic breast density has traditionally been considered the proportion of fibroglandular tissue in the breast, as determined from the mammogram. It has long been recognised that the risk of developing breast cancer increases relative to mammographic density. However, when postmenopausal women put on weight, their breast density decreases but their risk of developing breast cancer increases. Furthermore, the risk of breast cancer being missed on mammography increases with breast density (masking), whereas abnormalities are usually visible at an earlier stage on a mammogram of a breast with low density, leading to earlier diagnosis in women with low density breasts.
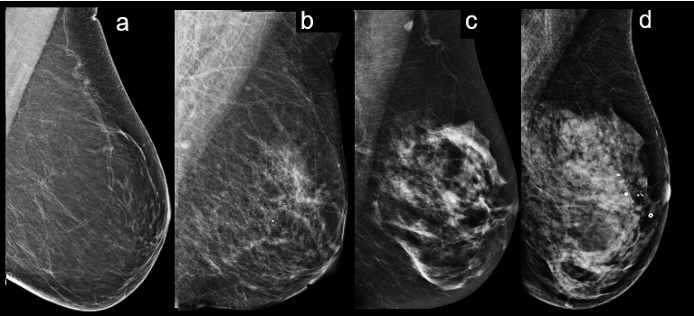
Historically, breast density was measured by estimating the area of parenchymal or fibroglandular tissue (lighter shade of grey on mammography) to the total area of the breast including fatty tissue (darker grey) on a 2 dimensional mammogram. A radiologist can describe their visual assessment of breast density quantitatively as a percentage (0-100%) or as a quartile ranking using a standard reporting system called the Breast Imaging Reporting and Data System (BI-RADS) encoded as “a” to “d” (3). A verbal, or semi-quantitative description with terms such as fatty, mixed and dense breasts is sometimes included in mammography reports.

We are interested in how breast density is measured and what are the best parameters to use to assess risk. Which is the more useful measure to assess breast density – percent density or absolute fibroglandular volume? Is there a way to separately identify the risk of developing breast cancer from the risk of breast cancer being missed because it is masked by the background tissue?
The introduction of digital mammography permits estimation of fibroglandular volume (FGV) compared to total breast volume, usually calculated in cubic centimetres (cc). This can be expressed as a continuous measure of absolute FGV and percentage volumetric breast density (VBD) which ranges from 0% to around 30% in very dense breasts, or can be related to the BI-RADS 5th edition descriptors (2). We are also interested in observational rating of density by a radiologist as percentage on a visual analogue scale (VAS) which, although subjective, correlates with breast cancer risk and therefore appears to include qualitative information that is not captured by the volumetric analysis (4).
The CASCADE study was designed to demonstrate which measures of breast density are best for predicting more serious cancers occurring in women who attend for routine 3 yearly screening in the UK. We defined the more serious cancers as those that were diagnosed in the interval between screening mammograms or were node positive at diagnosis. These cancer cases were compared with age matched controls for each screening or interval case.
The data were obtained from the OPTIMAM database (5), which is comprised of mammography images from screen detected cancers, interval cancers and normal screening episodes and includes data on tumour phenotype, grade and size. Controls were identified as mammograms taken in women of a similar age attending at the same time and location as the selected cases.
We used a variety of breast density measures to compare the outcomes of cases with controls including categorical measures (FGV quartile, VAS quartile and density grade (DG) “A” to “D”) and continuous measures (FGV, VBD, VAS). We used a proprietary breast density assessment tool (Volpara TM) (6) to analyse the raw mammogram data and an experienced breast Radiologist to score the percentage density on VAS.
Our data set included 599 cancer cases (302 screen-detected, 297 interval; 239 node-positive, 360 node-negative) and 605 controls, and we used logistic regression and other statistical techniques to determine whether breast density could discriminate cancers from controls as well as mode of detection (screen-detected or interval); node-negative cancers; node-positive cancers, and all cancers vs. controls.
We found that all measures discriminated interval cancers from controls but only FGV-quartile discriminated screen-detected cancers. Using additional statistical analysis we found that FGV discriminated all cancer types better than VBD or VAS. VBD and VAS were better at discriminating interval cancers than screen detected cancers.

We concluded that the risk of being diagnosed with a breast cancer is best discriminated by the volume of fibroglandular tissue in the breast (FGV) rather than breast density. Hence, a more intense screening schedule with mammography may be appropriate in women with high FGV. The risk of a breast cancer being masked, which is associated with presentation as an interval cancer, increases with volumetric and visual breast density measurements as well as FGV. Screening in women with dense breasts may be more effective if supplemented by an alternative screening modality such as ultrasound or MRI.
As we consider the introduction of individual risk assessment and stratified screening strategies, it is important to fully understand the impact of the breast density metrics we use. Our work investigating the relative effectiveness of different types of breast density assessment is an important contribution to the information needed to determine the optimal introduction of personalised screening.

- https://gco.iarc.fr/today/data/factsheets/cancers/20-Breast-fact-sheet.pdf
- IARC Working Group on the Evaluation of Cancer-Preventive Strategies. Breast cancer screening, Volume 15. Lyon: IARC Press, 2016.
- https://www.acr.org/-/media/ACR/Files/RADS/BI-RADS/Mammography-Reporting.pdf
- https://pubmed.ncbi.nlm.nih.gov/29402289/
- https://medphys.royalsurrey.nhs.uk/omidb/
- https://www.volparahealth.com/breast-health-platform/products/scorecard/
Follow the Topic
-
British Journal of Cancer
This journal is devoted to publishing cutting edge discovery, translational and clinical cancer research across the broad spectrum of oncology.
Please sign in or register for FREE
If you are a registered user on Research Communities by Springer Nature, please sign in