Expanding the Spectrum of Autoimmune Encephalitis — A Rare Anti-Recoverin Case

Autoimmune encephalitis (AE) continues to evolve as a diagnostic category, with emerging antibodies expanding both its clinical and mechanistic boundaries. This case report highlights a particularly rare and instructive entity: anti-recoverin antibody–associated autoimmune encephalitis.
Like

Share this post

Choose a social network to share with, or copy the URL to share elsewhere

This is a representation of how your post may appear on social media. The actual post will vary between social networks

Explore the Research

BioMed Central
BioMed Central BioMed Central

Autoimmune encephalitis associated with anti-recoverin antibodies - Journal of Medical Case Reports

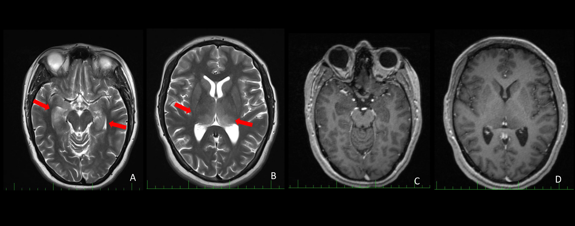
Introduction Autoimmune encephalitis (AE) is a spectrum of autoimmune disorders manifesting by epilepsy, loss of consciousness, and neuropsychiatric symptoms. Anti-recoverin antibodies are intracellular antibodies and a well-known marker of paraneoplastic retinopathy. However, they have rarely been associated with neurological and psychiatric diseases with or without cancer. To date, there have been only a few identified cases of anti-recoverin antibody-associated limbic AE. Case presentation A 33-year-old North-African female with a family history of cancer and no relevant medical history presented to the neurology department of the Military Hospital of Tunis, Tunisia, with a 3-month history of temporal epilepsy, insomnia, and mild cognitive impairment. The episodes lasted 3–4 minutes. Scalp electroencephalogram showed bilateral epileptiform spikes and spike waves in the temporal regions. Brain magnetic resonance imaging showed bilateral hippocampal and thalamic hyperintense lesions on T2-weighted imaging with hypointensities in the same regions on T1-weighted imaging and no contrast enhancement. Anti-recoverin antibodies were strongly positive (3+) in blood and cerebrospinal fluid (CSF). The patient met the criteria for definite limbic AE after exclusion of alternative etiologies. The extended cancer work-up was unremarkable. The patient received 1 g daily of intravenous methylprednisolone for 5 days, along with 1000 mg/day of oral levetiracetam followed by 0.4 g/kg/day of intravenous immunoglobulin (IVIG) for 5 days. Levetiracetam was replaced by lamotrigine (100 mg/day) orally. During the 2-year follow-up, the patient’s condition improved clinically and radiologically. Anti-recoverin antibody positivity persisted (1+) to date with minimal symptoms. Conclusion Our case illustrated the value of testing anti-recoverin antibodies in CSF and provides insights into management and prognosis through a longitudinal 2-year follow-up. Anti-recoverin antibody-related AE is a rare but treatable cause of adult subacute encephalopathy and epilepsy. Prompt and optimized management associating appropriate anti-epileptic drugs and immunotherapies is essential to alleviate sequelae.

Clinical Presentation and Diagnostic Features

The report describes a 33-year-old woman presenting with a subacute syndrome characterized by temporal lobe seizures, progressive cognitive dysfunction, and insomnia. Neuroimaging demonstrated bilateral hippocampal and thalamic signal abnormalities, while EEG confirmed bilateral temporal epileptiform activity.

Importantly, both serum and cerebrospinal fluid were strongly positive for anti-recoverin antibodies—classically associated with cancer-associated retinopathy but rarely implicated in central nervous system autoimmunity.

After excluding malignancy and alternative etiologies, the patient fulfilled criteria for definite autoimmune limbic encephalitis

Therapeutic Course and Outcome

The patient was treated with high-dose corticosteroids and intravenous immunoglobulin, alongside antiseizure therapy. Over a two-year follow-up period, she demonstrated sustained clinical and radiologic improvement, with partial persistence of antibody titers.

Broader Implications

This case offers several important contributions to the literature:

  • It expands the phenotypic spectrum of anti-recoverin–associated disease beyond retinopathy
  • It reinforces the need to consider intracellular neuronal antibodies in atypical or seronegative AE presentations
  • It highlights the potential reversibility of rare autoimmune syndromes with timely immunotherapy
  • It underscores the enduring value of carefully documented case reports in identifying novel or underrecognized disease associations

 


Knowledge Check

Which statement best reflects the clinical significance of anti-recoverin antibodies in this context?

A. They are exclusively associated with retinal disease

B. They are common markers of anti-NMDA receptor encephalitis

C. They may rarely be associated with autoimmune encephalitis, even in the absence of malignancy

D. They are surface antibodies directly targeting synaptic receptors


 

Correct answer: C

Closing Perspective

As the landscape of autoimmune neurology continues to expand, recognition of rare antibody-mediated syndromes remains essential. This case exemplifies how individual observations—carefully reported—can meaningfully shape clinical understanding and patient care.

Journal of Medical Case Reports is the world’s first international, PubMed-listed, medical journal devoted to publishing case reports from all medical disciplines and will consider any original case report that expands the field of general medical knowledge, and original research relating to case reports.

 

Please sign in or register for FREE

If you are a registered user on Research Communities by Springer Nature, please sign in