Finding the glucagon receptor using antibodies - not a good idea

The glucagon receptor is an essential mediator of metabolic homeostasis. Glucagon receptor antibodies have not been evaluated. By systematically evaluting all glucagon receptor antibodies we belive that accurate expression must be done by both antibody and antibody independent approaches.

Published in Healthcare & Nursing

Finding the glucagon receptor using antibodies - not a good idea
Like

Share this post

Choose a social network to share with, or copy the URL to share elsewhere

This is a representation of how your post may appear on social media. The actual post will vary between social networks

Glucagon is a peptide hormone secreted from pancreatic alpha cells in response to a variety of metabolic signals including glucose, amino acids and lipids. Glucagon agonism and antagonism are pursued as drug agents for metabolic diseases including obesity, fatty liver disease and diabetes. These compounds appear to provide beneficial effects on some clinical important parameters but also induced unwarranted side effects. These side effects may however simply reflect the biology of glucagon. To understand how the biological role of glucagon localization of its cognate receptor, the glucagon receptor (GCGR) is warranted. In the litterature there is a major discrepancies on where the GCGR is expressed which may partly be due to species differences, differences in methodologies and so on. 

GCGR antibodies have been used in numerous articles. The GCGR is a G-protein coupled receptor and antibodies against such receptor are notoriusly known to be unspecific. 

To provide the community with an evaluation of the currently avaliable GCGR antibodies we carefully performed a varity of experiments using transfection studies of the mouse and human GCGR, using tissue from GCGR KO animals etc. 

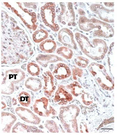
To our disapointment we found that the majority of the currently avaliable GCGR antibodies are unreiable and may provide false positive or false negativ findings. To extend our findings we also sought to use antibody independent methods including single rna-sequencing and autoradiography. By these means we could identify the GCGR in the liver, kidney (tubuli) and pancreatic islets. 

This study confirms that glucagon likely has multiple extra-hepatic effects that we know little about and secondly that GCGR expression should carefully be estimated using both antibody-dependent and independent manners. 

Know your reagents must be the motto!  

Please sign in or register for FREE

If you are a registered user on Research Communities by Springer Nature, please sign in

Follow the Topic

Health Care
Life Sciences > Health Sciences > Health Care

Related Collections

With Collections, you can get published faster and increase your visibility.

From RNA Detection to Molecular Mechanisms

With this cross-journal Collection, the editors at Nature Communications, Communications Biology and Scientific Reports invite manuscripts that highlight innovative methods for visualising and detecting RNA molecules and modifications in vivo, and studies that use these tools to uncover RNA-based regulatory mechanisms.

Publishing Model: Open Access

Deadline: May 05, 2026

Advances in neurodegenerative diseases

This Collection aims to bring together research from various domains related to neurodegenerative conditions, encompassing novel insights into disease pathophysiology, diagnostics, therapeutic developments, and care strategies. We welcome the submission of all papers relevant to advances in neurodegenerative disease.

Publishing Model: Hybrid

Deadline: Jun 30, 2026