Ultra-high field for fast imaging of the human brain at mesoscale resolution
Published in Bioengineering & Biotechnology, Chemistry, and Neuroscience
Understanding the human brain, whether normal or pathological, is one of the most important scientific challenges of the 21st century in academic, medical, social and economic terms. In this context, magnetic resonance imaging (MRI) is an essential approach for non-invasively mapping the anatomy, function and structural connectivity of the human brain in situ. Considering that it is in the spatial and temporal arrangement that assemblies of a few thousand neurons form on a mesoscopic scale, as well as in their dynamic connections in the whole brain connectome that we must look for the structural-functional specificity that makes the brain, we aimed in 2001 at building the first MRI magnet operating at a magnetic field of 11.7 teslas to study the human brain with mesoscopic-scale resolution (~1/10 mm). Indeed, in order to reach this scale physics tells us that the magnetic field provided by the magnet must be increased in order to boost the magnetization produced on the hydrogen nuclei of water molecules.
Shaping up the project and designing the magnet
In 2001 there was only one MRI scanner in the world operating at 7 T, in Minneapolis, Minnesota, USA. The choice of 11.7 T was motivated on the one hand by the very promising results already observed at this field strength in the brain in animals and on the other hand by the physical field limit of the niobium-titanium alloy conventionally used to make MRI magnets. Although some considered this goal unrealistic (we had an inconclusive call for tenders from the industrials at the time), thanks to the expertise of the team at the Commissariat à l'Energie Atomique (CEA) who developed the high-energy physics magnets at CERN (European Organization for Nuclear Research), we produced a technical report demonstrating its feasibility. The project was funded in 2004 through a French-German flagship, bringing together industrials (Siemens and Bruker in Germany, Guerbet and Alstom in France) and public research institutions (the CEA in France and the University of Freiburg in Germany). The objective was not only to design and manufacture a magnet, but to establish the feasibility of molecular imaging by MRI using a magnetic field as high as possible to increase its sensitivity, hence its acronym INUMAC (Imaging of Neuro disease Using high field MRI and Contrastophores). Molecular imaging aims at making images that provides information on the molecular composition (or functioning) of tissues using dedicated tracers or contrast agents, aiming at Alzheimer’s disease and brain tumors. The code name for the project was set to Iseult (Isolde), in connection with its French-German character, the legend having a French origin, but having been set to music by composers Wagner and Debussy.
Building, delivering and operating the 11.7T MRI scanner
The first step was to design and build a large-scale 11.7 T magnet (90 cm internal diameter) capable of maintaining the highly homogeneous and stable magnetic field required for MRI. In an original design borrowed from some CERN magnets, our MRI magnet features superconducting coils in the shape of 170 double stacked pancakes, winding the wire with a precision of the order of a few tens of thousandths of a millimeter to reach the field homogeneity which must be better than 0.5 parts per million over the volume of a human head, and immersed in a bath of superfluid helium cooled to 1.8 kelvin (Fig.1).

Figure 1: Model of the Iseult 11.7T MRI scanner
The magnet is made of a stack of 170 double pancakes immersed into a superfluid helium bath and aurreouded by exernal coils activiely shielding the magnetic field. Over all the magnet and its surrounding is around 5m in diameter and in length.
This design, with a nominal current flowing in the conductor of the order of 1500 amperes, a much higher current than usual, drastically differs from standard MRI magnets featuring solenoids cooled to 4.2 K. It took years to test the concept, field homogeneity and stability, quench protection to cryogenics, using dedicated smallscale prototypes. The 132-ton magnet was built and assembled at Alstom-GE's site in Belfort, France, using dedicated equipment, and it was an emotional moment when it was delivered after a 3 weeks trip through Northern Europe and sea, by ship and truck, to NeuroSpin on the CEA Saclay campus in 2017, before being installed on a concrete table at the center of a dedicated 10-meter cylindric arch (Fig.2). A complete cryogenics plant (in which CEA teams are also experts) to produce superfluid helium at 1.8K had to be installed in the basement of NeuroSpin, close to the arch housing the magnet. After finalization of the cryogenic system and tests of the magnet operation at various field strengths to ensure the safety of the magnet, the nominal field strength of 11.72 teslas was reached on July 18, 2019. The magnet of the unusual Iseult project was finally operational, a huge satisfaction for our joined teams, which involved about 200 people from the beginning of the project.

Figure 2: Delivery and installation of the magnet to NeuroSpin in June 2017
After a trip by ship from Alstom-GE facility in Belfort through the North sea the magnet was loaded onto a trailer coupled to two cabins, one for pulling and the other for pushing, the whole unit having 150 wheels. The magnet was later rotated and moved to a concrete table at the center of a dedicated 10-meter cylindric arch. The other arches house 3T and 7T clinical systems, as well as 7T, 11.7T and 17.2T preclinical MRI systems.
In addition, in such a high magnetic field, the radiofrequency (RF) waves used for MRI become non-uniform due to their shorter wavelength, shorter to the brain size, resulting in severe signal variations of artifacts in the images (see Figure below). To solve this problem, dedicated RF coils, parallel RF transmission hardware and software, and original MRI pulse design algorithms had to be introduced. Such advanced imaging methods and hardware enabling MRI physics to be used at high fields were developed and tested previously with a 7 T MRI system, located also at NeuroSpin. The first ex vivo images of the brain were obtained in 2021, making the magnet an operational MRI scanner (Fig.3).

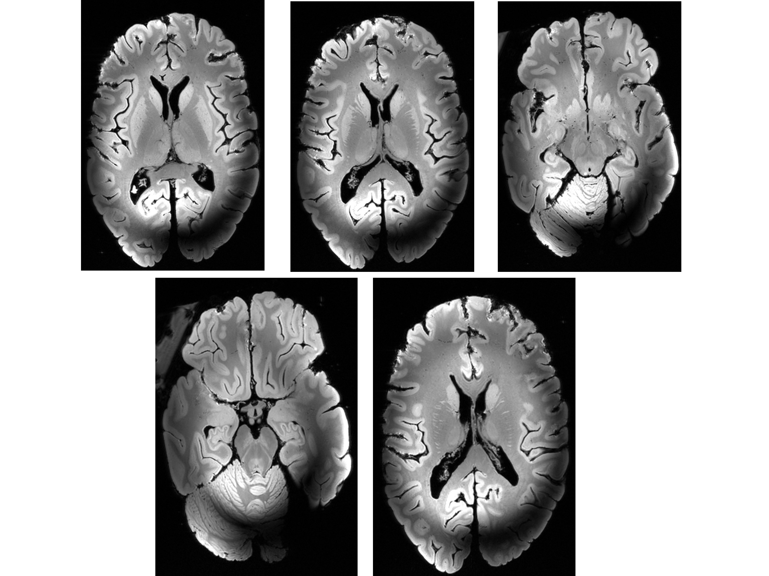
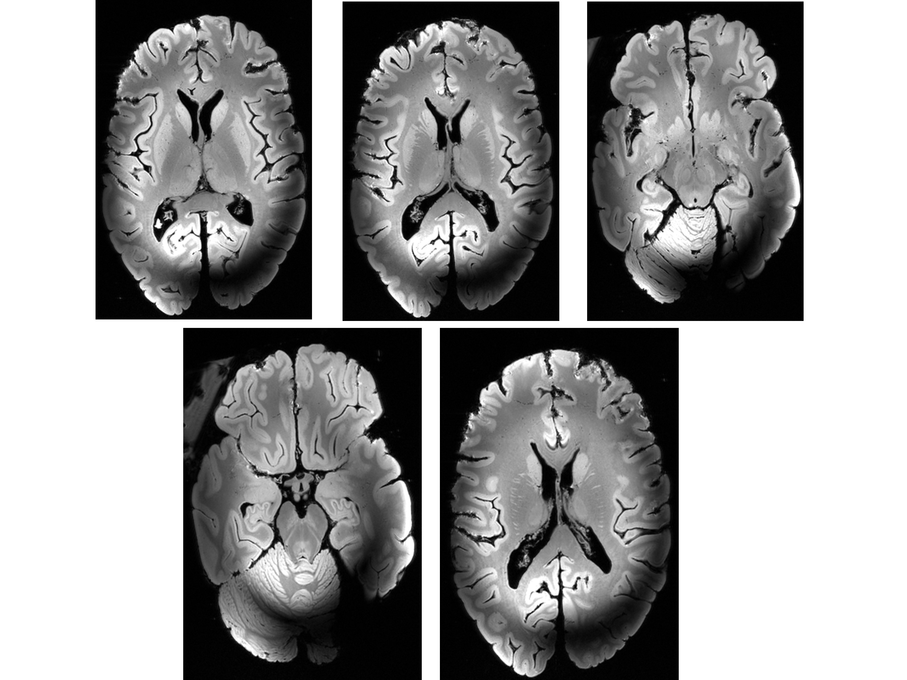
Figure 3: Ex vivo images of the human brain obtained with the Iseult 11.7T MRI scanner
Images show exquisite details, but also artifacts resulting from the inhomogeneity of the 500MHz RF field due to its shortwave length compared to the brain size (brain sample courtesy of the Museum d’Histoire Naturelle, Paris).
Safely scanning the brain of the first participants
Aside from the design of magnets and RF tools enabling MRI to be performed at such high fields, it was also unknown whether humans could tolerate scans at 11.7 T. The study was therefore carefully conducted to gather evidence of the absence of adverse effects. Prior to the first in vivo study, dedicated tests were performed with human blood samples and on animals in vivo to assess the innocuousness of such high magnetic field. Once authorization was granted to conduct the first scans on human subjects, in parallel, protocols involving physiological, cognitive and genotoxicity tests were carried out to verify the safety of large magnetic fields for humans. The first in vivo exploratory study was thus carried out in 2023, testing 20 people scanned at 11.7 T and another cohort of 20 people with the magnetic field switched off, to disentangle any effect from a possible psychological bias (all participants were told that the magnet field was ON, although it was OFF for half of them). No significant differences linked to exposure to the magnetic field were observed in any of the biological tests carried out as part of this protocol, confirming the safety of the method. The quality of the images acquired on the first volunteers exceeded our most optimistic expectations. After appropriate adjustment of the tools for each individual, structural images were successfully acquired, providing in vivo images of the human brain with a high resolution down to 0.19 x 0.19 x 1 mm3 in around 5 minutes and revealing good signal uniformity without serious artifacts of RF field inhomogeneity. Comparison with images obtained at lower field strengths revealed an improvement in signal-to-noise ratio for the same spatial resolution (Fig.4).

Figure.4: Comparison of 7T (left) versus 11.7T (right) images acquired in vivo, centered around the visual cortex.
Acquisitions were performed with resolution = 0.2 × 0.2 × 1 mm3, FA=27°, TE=20 ms, TR=0.6 s, bandwidth = 40 Hz/pixel, acquisition time = 4 min 20 s. Details within the cortical ribbon become clearly visible at 11.7T and not at 7T due to poorer signal and contrast to noise ratios.
Next steps
The safety and imaging data collected in this first study have confirmed that human beings can safely withstand such powerful magnetic fields, while still being able to obtain brain images of mesoscale resolution within a reasonable timeframe. This achievement provides the neuroscientific and medical communities with an incredible tool to explore the brain in detail, offering a unique perspective on understanding aging and neurocognitive disorders, and new opportunities to better understand specific neurological and psychiatric disorders, as well as helping to develop new disease biomarkers and therapeutic tools. Identified targets include focal epilepsy, multiple sclerosis and neurodegenerative diseases affecting the hippocampus and basal ganglia of the brain (e.g. Alzheimer's and Parkinson's disease). Imaging of neurotransmitters and markers of energy metabolism will also be facilitated through ultra-high field MR spectroscopy.
Nevertheless, as this study was exploratory, it was not possible at that stage to examine multiple types of MRI image contrast, in particular fMRI and DTI. In addition, some scans were corrupted by motion. Therefore, next steps will focus on the development and implementation of motion compensation tools, as well as highly accelerated image acquisition sequences. The deployment of more-efficient RF coils and more-powerful gradients is also underway to further increase performance notably for high-resolution functional MRI and diffusion tensor imaging to map brain connectivity and study the structural-functional relationships that make up the human brain, which could lead to a better understanding of mental disorders and consciousness.
For more information:
Boulant, N., Mauconduit, F., Gras, V. et al. In vivo imaging of the human brain with the Iseult 11.7-T MRI scanner. Nat Methods (2024). https://www.nature.com/articles/s41592-024-02473-6
Le Bihan D. Science without experimentation is but the ruin of the soul. In: Le Bihan D. Einstein’s Error. Odile Jacob publishing, Paris-New York (2022). https://www.odilejacob.com/catalogue/sciences/neurosciences/einstein-s-error_9782415001650.php
Follow the Topic
-
Nature Methods
This journal is a forum for the publication of novel methods and significant improvements to tried-and-tested basic research techniques in the life sciences.
Related Collections
With Collections, you can get published faster and increase your visibility.
Methods development in Cryo-ET and in situ structural determination
Publishing Model: Hybrid
Deadline: Jul 28, 2026
Please sign in or register for FREE
If you are a registered user on Research Communities by Springer Nature, please sign in