From measuring cells to making cytology more transparent

This work began with an urgent request from clinicians concerned about how cytology could be sustained in the future. What followed was a long collaboration in which we learned that the hardest part was not just building better devices or AI, but learning how experts truly see cells.
From measuring cells to making cytology more transparent
Like

Share this post

Choose a social network to share with, or copy the URL to share elsewhere

This is a representation of how your post may appear on social media. The actual post will vary between social networks

I have long thought of myself as a scientist whose central theme is measuring cells. That idea goes back to my first days in graduate school. At the time, I was fascinated by the way some physicists had left such a deep mark on science that their names became units—Newton, Watt, Joule. Naive as it may have been, I wondered what it would mean to leave behind a new way of measuring something important. Physics already seemed full of quantities that had been carefully defined and measured, whereas biology still contained many things that were described more than quantified. I wanted to work on one of the most fundamental units of life, and I chose the cell.

That aspiration stayed with me over the years and eventually led me to join Prof. Goda’s research team at the University of Tokyo. There, in 2018, we published our Cell paper on Intelligent Image-Activated Cell Sorting. By combining microscopy, AI, and cell sorting, that technology made it possible to analyze microscopic images in real time and physically separate cells according to what the AI saw. What excited me most was the possibility that it could connect two worlds of cell research that had long been separate: microscope-based observation and flow-based cell isolation.

From measuring cells to cytology

Although I had spent many years thinking about how to measure cells, cytology itself was not a field I knew well. I had heard the name, but only vaguely understood what it involved in practice. It was only when Dr. Sugiyama at the Cancer Institute Hospital of JFCR approached us that I began to seriously learn what cytology really was. As I came to understand the field, I also came to see how challenging it was—deeply reliant on expert visual judgment, rich in tacit knowledge, and not easily translated into digital form. Precisely because of that, I felt it was a field where our technology might make a meaningful contribution.

Once the collaboration began, we moved quickly. Dr. Sugimura and I took the lead in building the first prototype of the digital imaging system. Within that same year, we installed it in the hospital and acquired images from thousands of cytology slides. At the time, we thought we understood the central obstacle to digitizing cytology. Cytology specimens have real three-dimensional structure, and diagnostically important cells can lie at different depths. We therefore assumed that the key challenge was to image a wide area quickly in 3D and at high resolution.

Learning to see what experts see

We designed the first system with what now seems like an overly conventional assumption about image quality. We thought that image quality similar to that of a standard digital pathology scanner would be sufficient, as long as we increased the number of Z-stacks to capture the specimen’s three-dimensional structure. In other words, we focused on adding depth information while keeping the basic image quality at roughly the level of an ordinary digital microscope system. Because our clinical collaborators did not initially complain, we assumed this would be adequate and proceeded to build AI models using the collected data.

The turning point came when the annotation work reached HSIL cases. The pace slowed dramatically. At first, I assumed everyone was simply busy. But when we asked, the answer was sobering: the digital images were still not good enough for diagnosis, so the cytologists were checking the cells again under a conventional microscope while annotating.

That was a shock, and we decided to redesign the system. More importantly, we realized that our problem was not just one of engineering performance. We still did not truly understand what expert cytologists were looking for when they examined cells. Seeing how little we, as developers, really understood, Mr. Furuta, a senior cytotechnologist at the Cancer Institute Hospital, kindly took the time to teach us directly at the microscope. He would show us a cell and explain, very concretely, “This is the feature we need to see here—but can you actually see it in your digital image?” That experience was transformative. It forced us to confront the gap between what we thought we had digitized and what experts actually needed in order to make a judgment.

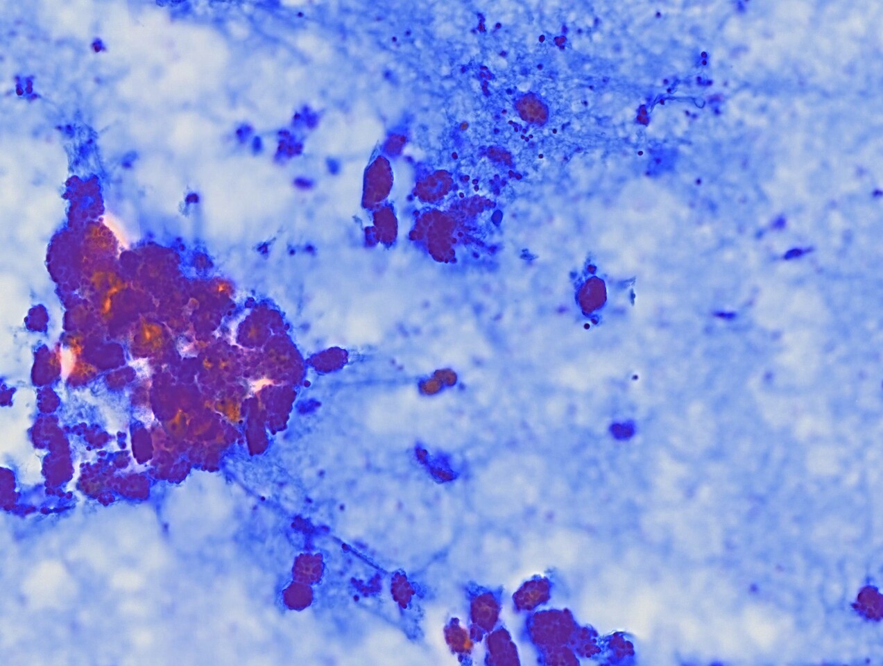
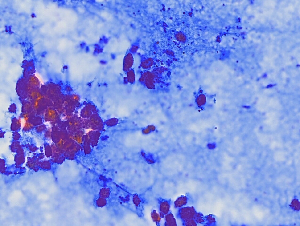
Figure 1 | Making diagnostically important morphology visible.
An example from a clustered cell region comparing an early prototype image (Before) with the improved system (After). In the earlier image, acquired at roughly the level of a conventional digital pathology scanner, the cluster appears too dark and nuclear contours are difficult to distinguish. After iterative redesign, individual nuclei became visually discernible, making the image more suitable for expert interpretation.

Teaching AI the diversity of cells

Once we improved the image quality, we encountered the next—and in some ways the greatest—barrier: AI development. In cytology, abnormal samples must be distinguished across categories such as LSIL and HSIL, so we collected large amounts of annotation data and iterated our models many times. On internal validation, the performance began to look quite strong. But when we tested the system on real specimens, the results were still disappointing.

The reason was subtle but fundamental. In validation studies, an accuracy of 99.9% can sound excellent. But a real cytology specimen may contain hundreds of thousands of cells. Even a very small error rate can therefore generate enough false-positive events to bury the true signal. In screening, a handful of suspicious cells may be sufficient to make a sample clinically positive. That meant the noise created by rare errors could easily overwhelm exactly what we wanted to detect.

Eventually, we noticed that the cells causing repeated errors tended to have recurring morphological patterns. When we asked our clinical collaborators about them, we discovered something important: within what we had been treating simply as “negative cells,” experts were actually recognizing many distinct cell types—parabasal cells, metaplastic cells, and others—as a matter of routine. That knowledge was obvious to specialists, but we had never explicitly taught it to the AI.

So we changed our approach. Instead of focusing only on abnormal cells, we began systematically teaching the AI the diversity of cells found in negative specimens. The effect was immediate. Performance improved substantially. Some expert cytotechnologists remarked that human trainees also improve by looking at large numbers of negative samples. In that sense, the AI and the human learner were not so different.

Figure 2 | Teaching AI the diversity of cells.
Representative examples of cell types that proved important for training and interpretation, including negative and abnormal categories. One of the key lessons of this project was that accurate classification required not only learning abnormal cells such as LSIL and HSIL, but also learning the diversity of cells that experts routinely recognize within negative specimens.

Even then, the story was not over. After we submitted the paper to Nature, the reviewers asked for a multi-center evaluation. We urgently sought help from additional institutions, and fortunately several agreed to collaborate. When the results came back, one site performed noticeably worse than the others. We were alarmed. At first, we wondered whether there had been a procedural issue at that institution, but careful analysis showed that this was not the case.

Instead, the AI was repeatedly classifying a yellowish cytoplasmic cell in negative samples as LSIL. When we showed these cells to experts, they identified them as navicular cells. We then incorporated this class into the training set, and performance improved across all institutions. A more detailed analysis later showed that navicular cells were more common in younger patients, and the institution that had initially shown lower performance indeed had a younger patient population than the others. Once again, the AI’s failure exposed a piece of expert knowledge that we ourselves had not yet fully understood.

CMD: bringing measurement into morphology

One aspect of this paper is especially important to me because it connects directly back to the theme that has guided my work for many years: measuring cells. In our 2018 study on Intelligent Image-Activated Cell Sorting, we had already introduced the underlying idea that morphological information extracted by AI could be treated quantitatively. In this paper, we returned to that concept, formalized it under the name cluster of morphological differentiation (CMD), and demonstrated that it could be used not only in image-activated cell sorting, but also in microscopy-based cytology. By doing so, we showed that analytical strategies long used in flow cytometry could be brought into the microscopic world of cytology. To me, this was more than a technical extension. It was a step toward making cellular morphology something that can be measured, compared, and communicated more transparently.

Figure 3 | From a cytology specimen to a quantitative morphological space.
Whole-specimen view and magnified detail of a representative cytology sample (left), together with the corresponding UMAP representation generated from the full specimen (right). Using CMD, morphological information extracted from all cells in the specimen can be organized in a quantitative space for visualization and flow-cytometry-like analysis.

I believe this matters because cytology has traditionally depended heavily on expert judgment, and much of that expertise has been difficult for outsiders to see. CMD offers a more transparent interface between AI output and human interpretation. I hope this will make cytology easier to understand for non-specialists, easier to explain for specialists, and ultimately more useful for communication in clinical settings.

Toward the future of cytology

I also hope this approach will help connect cytology with other cellular modalities. Researchers working in single-cell omics, organoids, and related fields have often found cytology difficult to access because its language and logic are so deeply tied to expert visual interpretation. Tools like CMD may help make that world more legible and encourage more interaction across modalities.

I am both a scientist and a company founder, and to me those are not separate identities. Scientific research needs a path to society, and building a business is one way to create that path. At the same time, meaningful innovation in business needs to be grounded in real science. I hope this technology can spread beyond our own laboratory, contribute to solving problems in clinical practice, and support new forms of research at the same time.

This work, of course, was never carried by only a few individuals. I remain deeply grateful to Dr. Sugiyama and Mr. Furuta, whose guidance shaped my understanding of cytology; to Dr. Sugimura and the  CYBO development team, who repeatedly refined the system through cycles of deployment, feedback, and redesign; and to the many co-authors and collaborators—including cytotechnologists, clinicians, and partner institutions involved in annotation, evaluation, and multi-center validation—whose efforts were essential both to the research itself and to shaping it into a polished manuscript.

What this project taught me, more than anything else, is that making a new way to measure cells is never a solitary act. It is built through collaboration across disciplines, professions, and ways of seeing.

Please sign in or register for FREE

If you are a registered user on Research Communities by Springer Nature, please sign in

Follow the Topic

Biomedical Research
Life Sciences > Health Sciences > Biomedical Research
Computational Intelligence
Technology and Engineering > Mathematical and Computational Engineering Applications > Computational Intelligence
  • Nature Nature

    A weekly international journal publishing the finest peer-reviewed research in all fields of science and technology on the basis of its originality, importance, interdisciplinary interest, timeliness, accessibility, elegance and surprising conclusions.