Antitumor activity of an engineered decoy receptor targeting CLCF1-CNTFR signaling in lung adenocarcinoma.

In the November issue of Nature Medicine we describe the development of a first-in-class inhibitor of CLCF1 signaling and its effectiveness in several precllinical models of lung adenocarcinoma

Published in Cancer

Like

Share this post

Choose a social network to share with, or copy the URL to share elsewhere

This is a representation of how your post may appear on social media. The actual post will vary between social networks

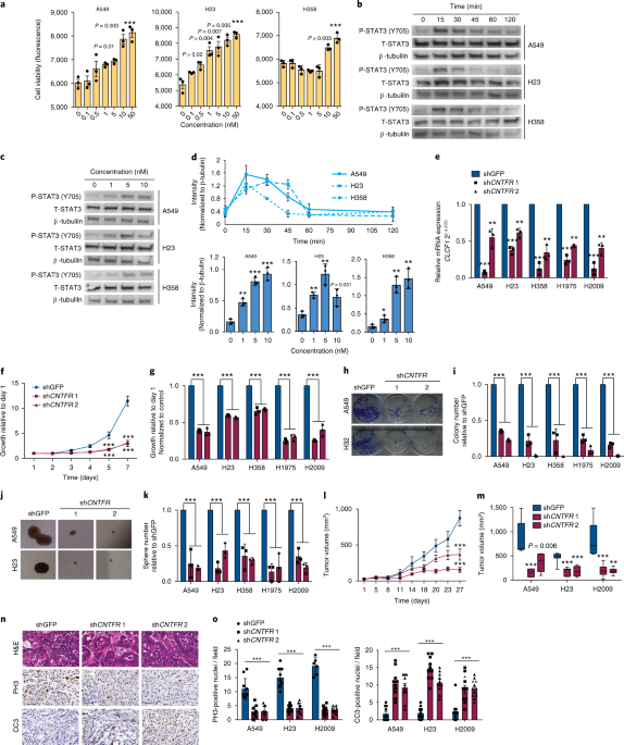
It has long been known that a major component of the tumor microenvironment in many cancers are cells known as cancer associated fibroblasts (CAFs) and that these cells can contribute to tumor development through secretion of cytokines.  However, this knowledge has not yet translated into new therapeutic approaches. Our new study published in Nature Medicine identifies a novel approach for treatment of lung cancer based on inhibiting the CLCF1-CNTFR signaling axis.  CLCF1 (cardiotrophin-like cytokine factor 1) is a cytokine which was shown previously to be produced at high levels by lung cancer CAFs. 

The work began over 8 years ago when Silve Vicent, who was then a post-doctoral fellow in the Sweet-Cordero laboratory at Stanford University, began a series of experiments to determine how CAFs promote tumor growth. Pioneering studies done in the 1990’s by Gerald Cunha at UCSF and followed by many others had shown that co-implanting CAFs with tumor cells significantly increases the ability of tumors to grow in mice, yet how CAFs achieve this tumor-promoting function was unclear. Dr. Vicent used microarray analysis of cultured lung CAFs from a genetically engineered mouse model of lung cancer, with normal lung fibroblasts as a comparison, to identify secreted factors that could potentially contribute to tumor growth. CLCF1 was found to be one of the most upregulated cytokines in these studies and thus a candidate tumor-promoting factor.  Dr. Vicent and his advisor Alejandro Sweet-Cordero were intrigued by this finding because very little published work had tied CLCF1 to cancer-promoting pathways.  They then went on to do  further functional studies that demonstrated that the CLCF1-CNTFR axis could promote tumor growth in mouse tumor cells. This work was published in Cancer Research in 2012.  

Dr. Vicent left Stanford to start his own lab at the University of Navarra.  A few months after his departure Dr. Sweet-Cordero was serving on a thesis committee where he heard a presentation regarding another extracellular factor and efforts to block its signaling to cancer cells using an engineered ‘decoy receptor’. In this approach, a soluble receptor fragment is generated that tightly binds to the factor and sequesters it from activating its native cell surface receptor. This work was being done at Stanford by Dr. Jennifer Cochran in the bioengineering department.  Dr. Sweet-Cordero  approached Dr. Cochran to ask if she would be interested to work together to develop a CNTFR decoy receptor to block CLCF1 signaling. Dr. Cochran and her then-graduate student Jun Kim were ready and enthusiastic to collaborate.  That began a fruitful partnership to develop a new approach for cancer treatment based on the inhibition of CLCF1-CNTFR signaling.  

The collaboration was further strengthened when Cesar Marquez joined the Sweet-Cordero laboratory to do his thesis work as part of the medical scientists training program (MSTP).  Cesar and Jun began working together to do further studies to validate the role of CLCF1-CNTFR in human lung cancer.  Jun also worked with his advisor Dr. Cochran to develop an elegant strategy for engineering the soluble CNTFR decoy.  The general approach first involved using a combinatorial protein engineering method known as yeast surface display to identify CNTFR receptor mutations that increase binding to CLCF1. As an added complexity, CNTFR is part of a tripartite receptor complex; soluble CNTFR can thus bind to the two other cell surface co-receptor components of the complex (LIFR and gp130) to serve as an agonist. To function as an inhibitor, the engineered receptor decoy therefore needed to be engineered to have high affinity for CLCF1 but lack binding to LIFR and gp130.  Ultimately this required introduction of eight mutations to generate the final engineered CNTFR decoy (eCNTFR) described in the manuscript published in Nature Medicine.  The researchers also showed that eCNTFR does not bind to an alternative CNTFR ligand, CNTF, which is important for neuronal signaling and thus could potentially lead to significant side effects. Lastly, to facilitate studies in mice, the group also confirmed that eCNTFR bound with high affinity not only to human CLCF1 but also to mouse CLCF1.

The collaboration continued after the Sweet-Cordero laboratory moved to UCSF at the end of 2016. Jun and Cesar continued to work together on key experiments, using human non-small cell lung cancer cell lines and patient-derived xenograft models to demonstrate that eCNTFR has strong anti-proliferative effects in lung cancer. They further cemented the potential therapeutic value of eCNTFR in a genetically engineered mouse model of lung cancer.  In models tested, eCNTFR showed significant inhibition of tumor progression, decreased proliferation and cell signaling, and increased apoptosis. Importantly, eCNTFR treatment showed no evidence of toxic side effects in mice.

Ongoing pursuits are directed at identifying how eCNTFR alters the tumor microenvironment. An interesting aspect of this published work is that mechanistic studies to identify the key downstream effectors of CNTFR suggest that this signaling axis may be particularly important for non-small cell lung cancers that carry certain KRAS mutations. Oncogenic KRAS mutations vary in the degree to which they make KRAS independent of upstream signaling input. The team found that KRAS mutations that maintain dependence on upstream signals are the most sensitive to eCNTFR treatment. Further efforts to identify combination therapies that include eCNTFR may be a tractable and novel approach for treatment of KRAS mutant lung cancer, a subtype of lung cancer that has proven to be particularly difficult to treat. In addition, KRAS mutational status could potentially be used as a biomarker to determine which patients might be mostly likely to respond to treatment.

In summary, this study identified a novel therapeutic candidate for treating KRAS mutant non-small cell lung cancer based on inhibition of the CLCF1-CNTFR signaling axis. Moreover, the work highlights the value of cross-disciplinary collaboration and would not have been possible without the expertise of both Drs. Cochran and Sweet-Cordero and the close teamwork of the students in both laboratories.

Please sign in or register for FREE

If you are a registered user on Research Communities by Springer Nature, please sign in

Follow the Topic

Cancer Biology
Life Sciences > Biological Sciences > Cancer Biology
  • Nature Medicine Nature Medicine

    This journal encompasses original research ranging from new concepts in human biology and disease pathogenesis to new therapeutic modalities and drug development, to all phases of clinical work, as well as innovative technologies aimed at improving human health.

Related Collections

With Collections, you can get published faster and increase your visibility.

Stem cell-derived therapies

This cross-journal Collection welcomes submissions that explore stem cell biology, their therapeutic potential, and the use of stem cells and stem cell-derived products to treat human disease.

Publishing Model: Hybrid

Deadline: Mar 26, 2026