AACR II sneak-peek
Published in Protocols & Methods
Part I of the annual meeting of the American Association for Cancer Research—it was all virtual—had 61,000 attendees. Part II is underway.
Here’s are some general comments about the meeting, its hundreds of talks and thousands of posters. Virtual conferences mean less of a carbon footprint, maybe a broader reach and a chance for attendees who cannot typically travel to AACR to attend virtually.
Commenting on AACR II and about virtual conferences more generally:
Dr. Elaine Mardis: the current president of the American Association for Cancer Research. She is co-Executive Director of the Institute for Genomic Medicine at Nationwide Children’s Hospital and the Nationwide Foundation Endowed Chair in Genomic Medicine.
And Dr. Antoni Ribas the incoming AACR president. He is at the University of California Los Angeles. He directs the Tumor Immunology Program at the Jonsson Comprehensive Cancer Center and is director of the Parker Institute for Cancer Immunotherapy Center at UCLA.

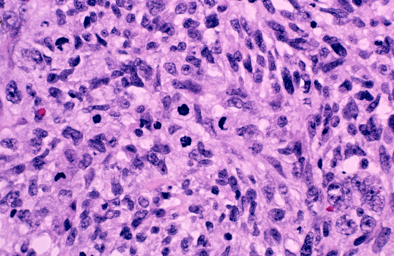
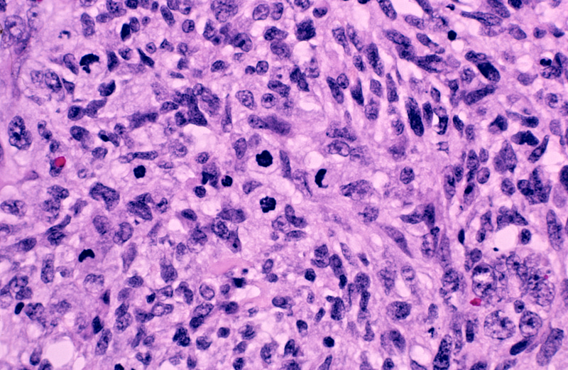
Human brain tissue with malignant cells.
(Credit: Frederick C. Skvara, MD/Visuals Unlimited/Corbis)
Follow the Topic
-
Nature Methods
This journal is a forum for the publication of novel methods and significant improvements to tried-and-tested basic research techniques in the life sciences.
Related Collections
With Collections, you can get published faster and increase your visibility.
Methods development in Cryo-ET and in situ structural determination
Publishing Model: Hybrid
Deadline: Jul 28, 2026
Please sign in or register for FREE
If you are a registered user on Research Communities by Springer Nature, please sign in