Don’t let sickle cell steal your sight – shedding light on sickle cell retinopathy

Sickle cell retinopathy (SCR) and diabetic retinopathy (DR) both threaten sight. But while DR dominates research and awareness, SCR remains overlooked. Our paper explores this disparity and its real-world impact, especially in low- and middle-income regions where action is urgently needed.
Don’t let sickle cell steal your sight – shedding light on sickle cell retinopathy
Like

Share this post

Choose a social network to share with, or copy the URL to share elsewhere

This is a representation of how your post may appear on social media. The actual post will vary between social networks

Sickle cell retinopathy (SCR), and diabetic retinopathy (DR) are both sight-threatening complications of sickle-cell and diabetes respectively. But how often do you hear about each of these conditions? While DR receives widespread attention and generates hundreds of publications each year, SCR continues to linger in the shadows. This disparity is more than the numbers of published papers as it has real world consequences for understanding, diagnosing, and preventing vision loss from SCR, particularly in low- and middle-income regions.

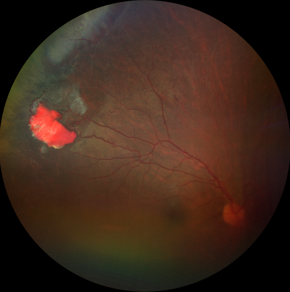
Bleeding sea fan
Bleeding sea fan in sickle cell retinopathy

Our Motivation: Shining a Light on Neglected Conditions

The Sickle Cell Retinopathy network  (SCR.net), a global network comprising multidisciplinary teams from countries where sickle cell disease (SCD) is prevalent, is investigating disparities in the research landscape that reflect broader patterns of global health inequity. Many of our researcher group members are based in low- and middle-income regions, and we are acutely aware of the health challenges that disproportionately affect these communities.

SCD is a genetic disease that affects particular populations. It is highly prevalent in sub-Saharan Africa, Caribbean, parts of the Middle East and India. Its complications, including SCR, are a significant cause of preventable blindness. In contrast, DR which is common across the world (i.e. in both low- and high-income countries), is highlighted in high-income countries, and receives far greater attention in scientific literature. This sparked a crucial question: Are some eye diseases receiving less attention simply because they predominantly affect populations in less privileged parts of the world?

Our motivation for investigating this publication disparity stems from a deep commitment to equitable healthcare and a desire to elevate the research landscape for conditions like SCR. We believe that high-quality research is the foundation for better diagnosis, treatment, and ultimately, improved quality of life for individuals living with sickle cell. By exploring the extent of this disparity and the root causes, we hope to advocate for more focused research efforts and resources directed towards SCR.

Fibrosed sea fan
Fibrosed sea fan in sickle cell retinopathy

Unveiling the Disparity: SCR vs. DR in the World of Publications

While both SCR and DR can lead to significant vision impairment if left untreated, the volume of published research dedicated to each condition tells a very different story. Our study reveals a stark contrast, with a significantly higher number of publications focusing on DR compared to SCR.

Why does this gap in published evidence exist? 

Several interconnected factors contribute to this disparity:

  • Geographical Prevalence: Diabetic Retinopathy is a well-recognised complication of diabetes, a global health issue with a significant presence in high-income countries where substantial research infrastructure and funding are often concentrated. SCD, and consequently SCR, is most prevalent in sub-Saharan Africa and the Caribbean, as well as parts of the Middle East and India. Historically, research agendas have often been skewed towards diseases with a greater impact in wealthier nations.
  • Economic Capacity and Research Funding: High-income countries generally possess greater economic resources to invest in scientific research, including funding for large-scale studies, advanced equipment, and researcher salaries. This often translates to a larger output of publications. In contrast, research institutions in regions where sickle cell is most common may face resource limitations, hindering their capacity to conduct and publish extensive research on SCR.
  • Industry Interest: Pharmaceutical and medical device companies often drive significant research efforts, particularly for conditions with large markets in economically developed regions. The market for treatments primarily targeting SCR, a condition concentrated in lower-income countries, may be perceived as less commercially viable, leading to less industry-sponsored research.
  • Awareness and Advocacy: Greater awareness of DR and stronger advocacy groups in regions with higher prevalence and economic power can lead to increased research funding and attention from policymakers and research institutions. SCR, despite its significant impact on affected communities, may have historically lacked the same level of widespread awareness and advocacy on a global scale.

The Ripple Effect: Implications for Global Health

The disparity in publications between SCR and DR has significant implications for global health equity:

  • Limited Understanding of SCR: Fewer publications mean a potentially slower advancement in our understanding of the specific mechanisms of SCR development and progression. This can hinder the development of tailored diagnostic tools, treatment strategies, and preventative measures that are most effective for this condition.
  • Inadequate Clinical Guidelines and Training: Evidence-based clinical guidelines for screening, diagnosis, and management of SCR rely on a strong foundation of research findings. Fewer publications result in less comprehensive and potentially outdated guidelines, which can impact the quality of care provided to patients. Similarly, healthcare professionals in regions with high SCR prevalence may have limited access to the latest research and training opportunities.
  • Health Disparities and Inequity: Ultimately, the publication disparity contributes to health inequity. Individuals with SCR, predominantly living in lower-income countries, may face a higher risk of vision loss simply because their condition has not received the same level of research attention as a disease more prevalent in wealthier nations.

Addressing the Imbalance

Recognising this critical gap, the findings of our study serve as a crucial call to action to raise awareness among researchers, funding agencies, policymakers, and the global health community about the urgent need for increased research on SCR.

Recommendations for a More Equitable Research Landscape

Bridging the publication gap between SCR and DR, and more broadly addressing research disparities in neglected tropical diseases, requires a multi-pronged approach and could involve:

  • Increased Funding for SCR Research: Funding bodies, both national and international, should prioritise allocating more resources to research focused on SCR, particularly in regions where the disease is prevalent.
  • Capacity Building in Endemic Regions: Investing in research infrastructure, training programs for local researchers, and fostering collaborations between institutions in high- and low-income countries are crucial for building sustainable research capacity in regions most affected by SCR.
  • Promoting Collaborative Research: Encouraging and supporting collaborative research projects that bring together expertise and resources from different parts of the world can accelerate progress in understanding and addressing SCR.
  • Raising Awareness and Advocacy: Increased awareness among healthcare professionals, policymakers, and the public about the burden of SCR is essential to drive research interest and funding. Advocacy efforts from patient groups and professional organisations can play a vital role.
  • Incentivising Research on Neglected Diseases: Governments and research institutions can implement policies and incentives to encourage researchers and industry to focus on neglected diseases like SCR.

Conclusion: The Path Towards Vision Equity

The striking disparity in publications between SCR and DR highlights a critical imbalance in global health research priorities. Recognising this, organisations like the SCRnet are actively working to bridge this gap. Through global, multidisciplinary collaboration in affected populations, SCRnet aims to conduct robust multicenter research to determine diagnosis and risk factors for visual loss and develop evidence-based screening and management protocols. This crucial work is designed to reduce preventable blindness in people with any sickle cell genotype. By increasing focused research and fostering such collaborations, we can ultimately pave the way for better understanding, effective treatments, and a future where vision equity is a reality for all living with sickle cell worldwide.

How can you find out more?

If you have any enquiries or would like to learn more about our mission to advance research in sickle cell retinopathy, please visit our website at www.sicklecellretinopathy.net

Please sign in or register for FREE

If you are a registered user on Research Communities by Springer Nature, please sign in

Follow the Topic

Ophthalmology
Life Sciences > Health Sciences > Clinical Medicine > Ophthalmology
Sickle cell disease
Life Sciences > Health Sciences > Clinical Medicine > Diseases > Haematological Diseases > Sickle cell disease
Diabetes
Life Sciences > Health Sciences > Clinical Medicine > Diseases > Diabetes
Retinal diseases
Life Sciences > Health Sciences > Clinical Medicine > Diseases > Eye Diseases > Retinal diseases
Diabetes Complications
Life Sciences > Health Sciences > Clinical Medicine > Diseases > Diabetes > Diabetes Complications
  • Eye Eye

    Eye

    The official journal of The Royal College of Ophthalmologists. Eye seeks to advance the science and practice of ophthalmology with the latest clinical and scientific research for clinicians, optometrists, orthoptists, other health care professionals and researchers interested in the visual sciences.

Your space to connect: The Macular degeneration Hub

A new Communities’ space to connect, collaborate, and explore research on Ophthalmology and Eye Diseases!

Continue reading announcement

Related Collections

With Collections, you can get published faster and increase your visibility.

Sustainability in Ophthalmology

The global climate crisis demands that all sectors of healthcare, including ophthalmology, examine their environmental footprint and explore more sustainable ways of working. This collection brings together articles that highlight both the challenges and opportunities in making ophthalmology more sustainable. From the environmental impact of single-use instruments and surgical procedures, to the role of policy, procurement, and education in driving change, these articles reflect a shared commitment across the community to deliver high-quality patient care while protecting the environment. Further resources: https://www.rcophth.ac.uk/our-work/sustainability/

Publishing Model: Hybrid

Deadline: Ongoing