Physiological role of circulating extracellular vesicles in the splenomegaly of Plasmodium vivax malaria
Published in Microbiology
Splenomegaly, albeit variably, is a landmark of human malaria infections and yet due to ethical and technical restrictions the role of the spleen in human malaria infections remains mostly limited to postmortem analysis. Implementation of in vivo imaging of the spleen in the BALB/c – P. yoelii reticulocyte-prone malaria parasite, thus resembling P. vivax, demonstrated that infected reticulocytes cytoadhere to barrier cells of fibroblastic origin. These results indicated that in addition to removal of infected red blood cells, the spleen could also serve as a shelter for reticulocyte-prone malaria parasites.
Unlike the mouse spleen, the human spleen is sinusoidal and under normal conditions is not involved in erythropoiesis; thus, casting reasonable doubts on the findings obtained in rodent models. However, evidence suggesting that cytoadherence of P. vivax-infected reticulocytes could occur in the human spleen came from a clinical case of spontaneous spleen rupture in a 19 years old adult two days prior to the diagnosis and treatment of the malarial infection. This unfortunate situation allowed the first immune-histopathological study of a P. vivax-untreated infected human spleen. Remarkably, large numbers of intact P. vivax–infected reticulocytes where observed in the cords. More recent evidence came by demonstrating that a variant VIR protein of P. vivax whose expression is dependent on the spleen, was able to mediate cytoadherence to human spleen fibroblasts.
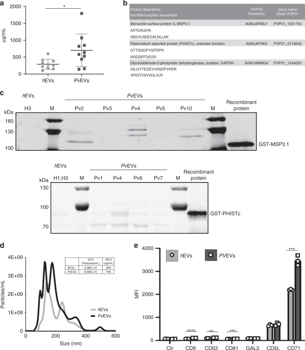
To understand the molecular mechanisms responsible for this adhesion process, we turned our attention to something we have been working on for the last few years: extracellular vesicles (EVs). These membrane-bound nanoparticles are naturally released by most cells and play a role in intercellular communication. Evidence is developing on the role of EVs in a wide range of pathologies, including parasitic diseases such as malaria. Thus, in collaboration with several national and international partners, we isolated EVs from the blood of patients with acute P. vivax infections and from healthy human volunteers and showed a marked spleen tropism and a significantly higher uptake by human spleen fibroblasts of EVs from infections. Furthermore, this uptake induced the expression of a molecule (ICAM-1) linked to nuclear translocation of the NF-kB transcription factor on the surface of the fibroblast which in turn serves as an “anchor” for the adherence of P. vivax-infected red blood cells.

Extracellular vesicles (EVs) from Plasmodium vivax natural infections interact with human spleen fibroblasts inducing nuclear translocation of NF-kB concomitant with the surface expression of ICAM-1; thus, facilitating binding of P. vivax-infected reticulocytes. Illustration made by Carmen Fernandez-Becerra with BioRender.
Taken together, our findings provide insights into the physiological role of extracellular vesicles in vivax malaria and support the existence of parasite populations adhering to particular cells of the spleen, where they can multiply while not circulating in the blood” says Carmen Fernandez-Becerra, co-corresponding author of the study. Importantly, these hidden infections could represent an additional challenge to disease diagnosis and elimination efforts as they might be the source of asymptomatic infections; thus, prompting a paradigm shift in P. vivax biology towards deeper studies of the spleen during infections and on the physiological contribution of EVs to malaria pathogenesis, says Hernando A del Portillo, senior author of the study.


Haruka Toda, first author, Hernando A del Portillo and Carmen Fernandez-Becerra,
Follow the Topic
-
Nature Communications
An open access, multidisciplinary journal dedicated to publishing high-quality research in all areas of the biological, health, physical, chemical and Earth sciences.
Related Collections
With Collections, you can get published faster and increase your visibility.
Women's Health
Publishing Model: Hybrid
Deadline: Ongoing
Advances in neurodegenerative diseases
Publishing Model: Hybrid
Deadline: Mar 24, 2026
Please sign in or register for FREE
If you are a registered user on Research Communities by Springer Nature, please sign in